ARG59035
anti-TCPTP antibody
anti-TCPTP antibody for IHC-Formalin-fixed paraffin-embedded sections,Western blot and Human,Rat
Overview
| Product Description | Rabbit Polyclonal antibody recognizes TCPTP |
|---|---|
| Tested Reactivity | Hu, Rat |
| Tested Application | IHC-P, WB |
| Host | Rabbit |
| Clonality | Polyclonal |
| Isotype | IgG |
| Target Name | TCPTP |
| Antigen Species | Human |
| Immunogen | Recombinant protein corresponding to M1-C330 of Human TCPTP. |
| Conjugation | Un-conjugated |
| Alternate Names | PTPT; TC-PTP; TCPTP; PTN2; TCELLPTP; Tyrosine-protein phosphatase non-receptor type 2; EC 3.1.3.48; T-cell protein-tyrosine phosphatase |
Application Instructions
| Application Suggestion |
|
||||||
|---|---|---|---|---|---|---|---|
| Application Note | IHC-P: Antigen Retrieval: By heat mediation. * The dilutions indicate recommended starting dilutions and the optimal dilutions or concentrations should be determined by the scientist. |
Properties
| Form | Liquid |
|---|---|
| Purification | Affinity purification with immunogen. |
| Buffer | 0.2% Na2HPO4, 0.9% NaCl, 0.05% Sodium azide and 5% BSA. |
| Preservative | 0.05% Sodium azide |
| Stabilizer | 5% BSA |
| Concentration | 0.5 mg/ml |
| Storage Instruction | For continuous use, store undiluted antibody at 2-8°C for up to a week. For long-term storage, aliquot and store at -20°C or below. Storage in frost free freezers is not recommended. Avoid repeated freeze/thaw cycles. Suggest spin the vial prior to opening. The antibody solution should be gently mixed before use. |
| Note | For laboratory research only, not for drug, diagnostic or other use. |
Bioinformation
| Database Links |
Swiss-port # P17706 Human Tyrosine-protein phosphatase non-receptor type 2 Swiss-port # P35233 Rat Tyrosine-protein phosphatase non-receptor type 2 |
|---|---|
| Gene Symbol | PTPN2 |
| Gene Full Name | protein tyrosine phosphatase, non-receptor type 2 |
| Background | The protein encoded by this gene is a member of the protein tyrosine phosphatase (PTP) family. Members of the PTP family share a highly conserved catalytic motif, which is essential for the catalytic activity. PTPs are known to be signaling molecules that regulate a variety of cellular processes including cell growth, differentiation, mitotic cycle, and oncogenic transformation. Epidermal growth factor receptor and the adaptor protein Shc were reported to be substrates of this PTP, which suggested the roles in growth factor mediated cell signaling. Multiple alternatively spliced transcript variants encoding different isoforms have been found. Two highly related but distinctly processed pseudogenes that localize to chromosomes 1 and 13, respectively, have been reported. [provided by RefSeq, May 2011] |
| Function | Non-receptor type tyrosine-specific phosphatase that dephosphorylates receptor protein tyrosine kinases including INSR, EGFR, CSF1R, PDGFR. Also dephosphorylates non-receptor protein tyrosine kinases like JAK1, JAK2, JAK3, Src family kinases, STAT1, STAT3, STAT5A, STAT5B and STAT6 either in the nucleus or the cytoplasm. Negatively regulates numerous signaling pathways and biological processes like hematopoiesis, inflammatory response, cell proliferation and differentiation, and glucose homeostasis. Plays a multifaceted and important role in the development of the immune system. Functions in T-cell receptor signaling through dephosphorylation of FYN and LCK to control T-cells differentiation and activation. Dephosphorylates CSF1R, negatively regulating its downstream signaling and macrophage differentiation. Negatively regulates cytokine (IL2/interleukin-2 and interferon)-mediated signaling through dephosphorylation of the cytoplasmic kinases JAK1, JAK3 and their substrate STAT1, that propagate signaling downstream of the cytokine receptors. Also regulates the IL6/interleukin-6 and IL4/interleukin-4 cytokine signaling through dephosphorylation of STAT3 and STAT6 respectively. In addition to the immune system, it is involved in anchorage-dependent, negative regulation of EGF-stimulated cell growth. Activated by the integrin ITGA1/ITGB1, it dephosphorylates EGFR and negatively regulates EGF signaling. Dephosphorylates PDGFRB and negatively regulates platelet-derived growth factor receptor-beta signaling pathway and therefore cell proliferation. Negatively regulates tumor necrosis factor-mediated signaling downstream via MAPK through SRC dephosphorylation. May also regulate the hepatocyte growth factor receptor signaling pathway through dephosphorylation of the hepatocyte growth factor receptor MET. Plays also an important role in glucose homeostasis. For instance, negatively regulates the insulin receptor signaling pathway through the dephosphorylation of INSR and control gluconeogenesis and liver glucose production through negative regulation of the IL6 signaling pathways. Finally, it negatively regulates prolactin-mediated signaling pathway through dephosphorylation of STAT5A and STAT5B. May also bind DNA. [UniProt] |
| Cellular Localization | Isoform 1: Endoplasmic reticulum. Endoplasmic reticulum-Golgi intermediate compartment. Targeted to the endoplasmic reticulum by its C-terminal hydrophobic region. [UniProt] |
| Calculated MW | 48 kDa |
| PTM | Isoform 2: Specifically phosphorylated in a cell cycle-dependent manner by cyclin-dependent kinases CDK1 and CDK2. Probably activated through phosphorylation by PKR. [UniProt] |
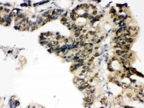
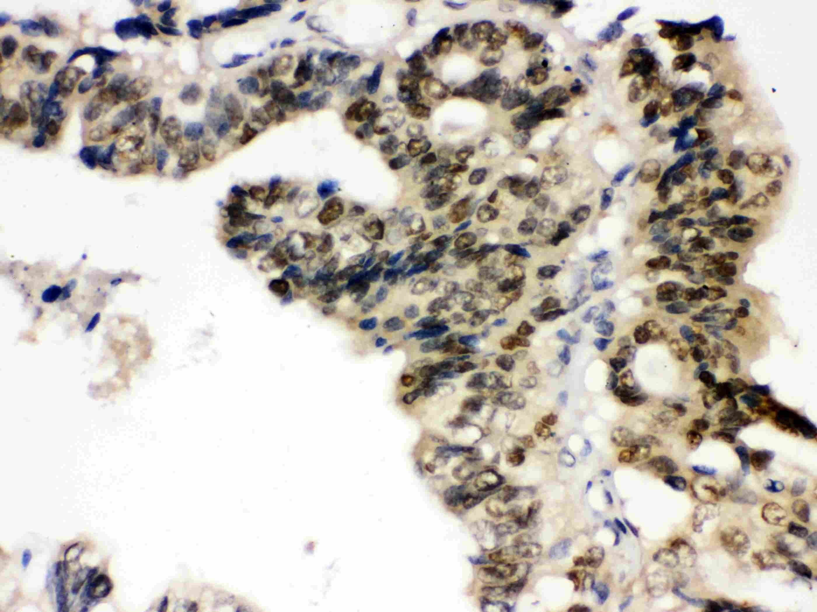
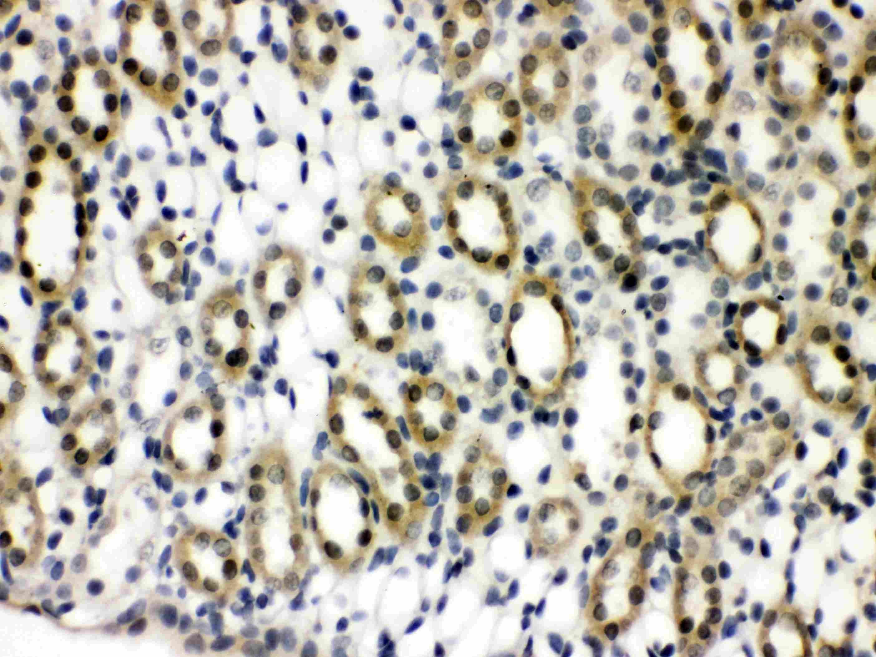
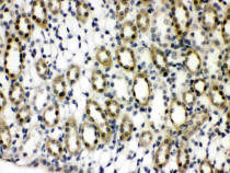
Images (3) Click the Picture to Zoom In
-
ARG59035 anti-TCPTP antibody IHC-P image
Immunohistochemistry: Paraffin-embedded Rat kidney tissue stained with ARG59035 anti-TCPTP antibody.
-
ARG59035 anti-TCPTP antibody WB image
Western blot: 40 µg of HeLa and Jurkat cell lysates stained with ARG59035 anti-TCPTP antibody at 0.5 µg/ml dilution.
-
ARG59035 anti-TCPTP antibody IHC-P image
Immunohistochemistry: Paraffin-embedded Human intestinal cancer tissue stained with ARG59035 anti-TCPTP antibody.
