ARG46558
anti-TCTN1 antibody
anti-TCTN1 antibody for Western blot,IHC-Formalin-fixed paraffin-embedded sections and Human,Mouse
Overview
| Product Description | Rabbit Polyclonal antibody recognizes TCTN1 |
|---|---|
| Tested Reactivity | Hu, Ms |
| Tested Application | IHC-P, WB |
| Host | Rabbit |
| Clonality | Polyclonal |
| Isotype | IgG |
| Target Name | TCTN1 |
| Antigen Species | Human |
| Immunogen | A 15 amino acid synthetic peptide within the last 50 amino acids of human TCTN1. |
| Conjugation | Un-conjugated |
| Alternate Names | TCTN1; TECT1; Tectonic-1; JBTS13 |
Application Instructions
| Application Suggestion |
|
||||||
|---|---|---|---|---|---|---|---|
| Application Note | * The dilutions indicate recommended starting dilutions and the optimal dilutions or concentrations should be determined by the scientist. |
Properties
| Purification | Affinity chromatography purified |
|---|---|
| Buffer | PBS and 0.02% Sodium azide. |
| Preservative | 0.02% Sodium azide |
| Concentration | 1 mg/ml |
| Storage Instruction | For continuous use, store undiluted antibody at 2-8°C for up to a week. For long-term storage, aliquot and store at -20°C. Storage in frost free freezers is not recommended. Avoid repeated freeze/thaw cycles. Suggest spin the vial prior to opening. The antibody solution should be gently mixed before use. |
| Note | For laboratory research only, not for drug, diagnostic or other use. |
Bioinformation
| Database Links | |
|---|---|
| Gene Symbol | TCTN1 |
| Gene Full Name | tectonic family member 1 |
| Background | TCTN1 belongs to the Tectonic protein family that regulate Hedgehog (Hh) pathway. During neural tube development, TCTN1 is required for the formation of most ventral cell types and for full Hh pathway activation. At later stages in development, TCTN1 is thought to also act as a repressor on the Hh pathway in the anterior and posterior neural tube. |
Images (3) Click the Picture to Zoom In
-
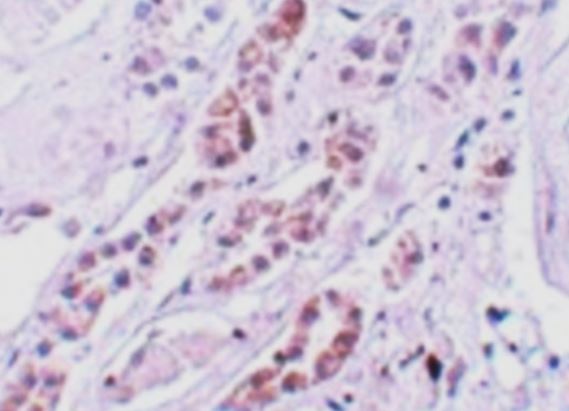
ARG46558 anti-TCTN1 antibody IHC-P image
Immunohistochemistry: Human kidney stained with ARG46558 anti-TCTN1 antibody.
-
ARG46558 anti-TCTN1 antibody ICC/IF image
Immunofluorescence: Human Kidney stained with ARG46558 anti-TCTN1 antibody.
-
ARG46558 anti-TCTN1 antibody WB image
Western blot: Mouse kidney stained with ARG46558 anti-TCTN1 antibody.
