ARG55829
anti-TDP43 antibody
anti-TDP43 antibody for ICC/IF,IHC-Formalin-fixed paraffin-embedded sections,Western blot and Human,Mouse
Overview
| Product Description | Rabbit Polyclonal antibody recognizes TDP43 |
|---|---|
| Tested Reactivity | Hu, Ms |
| Predict Reactivity | Chk |
| Tested Application | ICC/IF, IHC-P, WB |
| Host | Rabbit |
| Clonality | Polyclonal |
| Isotype | IgG |
| Target Name | TDP43 |
| Antigen Species | Human |
| Immunogen | KLH-conjugated synthetic peptide corresponding to aa. 1-30 (N-terminus) of Human TDP43. |
| Conjugation | Un-conjugated |
| Alternate Names | TAR DNA-binding protein 43; TDP-43; ALS10 |
Application Instructions
| Application Suggestion |
|
||||||||
|---|---|---|---|---|---|---|---|---|---|
| Application Note | * The dilutions indicate recommended starting dilutions and the optimal dilutions or concentrations should be determined by the scientist. | ||||||||
| Positive Control | HeLa |
Properties
| Form | Liquid |
|---|---|
| Purification | Purification with Protein A and immunogen peptide. |
| Buffer | PBS and 0.09% (W/V) Sodium azide |
| Preservative | 0.09% (W/V) Sodium azide |
| Storage Instruction | For continuous use, store undiluted antibody at 2-8°C for up to a week. For long-term storage, aliquot and store at -20°C or below. Storage in frost free freezers is not recommended. Avoid repeated freeze/thaw cycles. Suggest spin the vial prior to opening. The antibody solution should be gently mixed before use. |
| Note | For laboratory research only, not for drug, diagnostic or other use. |
Bioinformation
| Database Links | |
|---|---|
| Gene Symbol | TARDBP |
| Gene Full Name | TAR DNA binding protein |
| Background | HIV-1, the causative agent of acquired immunodeficiency syndrome (AIDS), contains an RNA genome that produces a chromosomally integrated DNA during the replicative cycle. Activation of HIV-1 gene expression by the transactivator Tat is dependent on an RNA regulatory element (TAR) located downstream of the transcription initiation site. The protein encoded by this gene is a transcriptional repressor that binds to chromosomally integrated TAR DNA and represses HIV-1 transcription. In addition, this protein regulates alternate splicing of the CFTR gene. A similar pseudogene is present on chromosome 20. [provided by RefSeq, Jul 2008] |
| Function | DNA and RNA-binding protein which regulates transcription and splicing. Involved in the regulation of CFTR splicing. It promotes CFTR exon 9 skipping by binding to the UG repeated motifs in the polymorphic region near the 3'-splice site of this exon. The resulting aberrant splicing is associated with pathological features typical of cystic fibrosis. May also be involved in microRNA biogenesis, apoptosis and cell division. Can repress HIV-1 transcription by binding to the HIV-1 long terminal repeat. Stabilizes the low molecular weight neurofilament (NFL) mRNA through a direct interaction with the 3' UTR. [UniProt] |
| Cellular Localization | Nucleus. Note=In patients with frontotemporal lobar degeneration and amyotrophic lateral sclerosis, it is absent from the nucleus of affected neurons but it is the primary component of cytoplasmic ubiquitin-positive inclusion bodies |
| Calculated MW | 45 kDa |
| PTM | Hyperphosphorylated in hippocampus, neocortex, and spinal cord from individuals affected with ALS and FTLDU. Ubiquitinated in hippocampus, neocortex, and spinal cord from individuals affected with ALS and FTLDU. Cleaved to generate C-terminal fragments in hippocampus, neocortex, and spinal cord from individuals affected with ALS and FTLDU. |
Images (3) Click the Picture to Zoom In
-
ARG55829 anti-TDP43 antibody ICC/IF image
Immunofluorescence: HeLa cells were fixed with 4% PFA (20 min), permeabilized with Triton X-100 (0.1%, 10 min), then stained with ARG55829 anti-TDP43 antibody (green) at 1:25 dilution, 1 hour at 37°C. Cytoplasmic actin was counterstained with Alexa Fluor® 555 (red) conjugated Phalloidin (7 units/ml, 1 hour at 37°C). DAPI (blue) for nuclear staining.
-
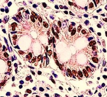
ARG55829 anti-TDP43 antibody IHC-P image
Immunohistochemistry: Formalin-fixed and paraffin-embedded Human colon tissue stained with ARG55829 anti-TDP43 antibody.
-
ARG55829 anti-TDP43 antibody WB image
Western blot: 35 µg of HeLa cell lysate stained with ARG55829 anti-TDP43 antibody.
