ARG59307
anti-TECTA / Tectorin alpha antibody
anti-TECTA / Tectorin alpha antibody for IHC-Formalin-fixed paraffin-embedded sections,Western blot and Human,Mouse,Rat
Overview
| Product Description | Rabbit Polyclonal antibody recognizes TECTA / Tectorin alpha |
|---|---|
| Tested Reactivity | Hu, Ms, Rat |
| Tested Application | IHC-P, WB |
| Host | Rabbit |
| Clonality | Polyclonal |
| Isotype | IgG |
| Target Name | TECTA / Tectorin alpha |
| Antigen Species | Human |
| Immunogen | Synthetic peptide corresponding to aa. 93-134 of Human TECTA / Tectorin alpha. (RAFVAPFWADVHNGIRGEIYYRETMEPAILKRATKDIRKYFK) |
| Conjugation | Un-conjugated |
| Alternate Names | DFNA12; DFNB21; Alpha-tectorin; DFNA8 |
Application Instructions
| Application Suggestion |
|
||||||
|---|---|---|---|---|---|---|---|
| Application Note | IHC-P: Antigen Retrieval: By heat mediation. * The dilutions indicate recommended starting dilutions and the optimal dilutions or concentrations should be determined by the scientist. |
Properties
| Form | Liquid |
|---|---|
| Purification | Affinity purification with immunogen. |
| Buffer | 0.9% NaCl, 0.2% Na2HPO4, 0.05% Sodium azide and 5% BSA. |
| Preservative | 0.05% Sodium azide |
| Stabilizer | 5% BSA |
| Concentration | 0.5 mg/ml |
| Storage Instruction | For continuous use, store undiluted antibody at 2-8°C for up to a week. For long-term storage, aliquot and store at -20°C or below. Storage in frost free freezers is not recommended. Avoid repeated freeze/thaw cycles. Suggest spin the vial prior to opening. The antibody solution should be gently mixed before use. |
| Note | For laboratory research only, not for drug, diagnostic or other use. |
Bioinformation
| Database Links | |
|---|---|
| Gene Symbol | TECTA |
| Gene Full Name | tectorin alpha |
| Background | The tectorial membrane is an extracellular matrix of the inner ear that contacts the stereocilia bundles of specialized sensory hair cells. Sound induces movement of these hair cells relative to the tectorial membrane, deflects the stereocilia, and leads to fluctuations in hair-cell membrane potential, transducing sound into electrical signals. Alpha-tectorin is one of the major noncollagenous components of the tectorial membrane. Mutations in the TECTA gene have been shown to be responsible for autosomal dominant nonsyndromic hearing impairment and a recessive form of sensorineural pre-lingual non-syndromic deafness. [provided by RefSeq, Jul 2008] |
| Function | One of the major non-collagenous components of the tectorial membrane (By similarity). The tectorial membrane is an extracellular matrix of the inner ear that covers the neuroepithelium of the cochlea and contacts the stereocilia bundles of specialized sensory hair cells. Sound induces movement of these hair cells relative to the tectorial membrane, deflects the stereocilia and leads to fluctuations in hair-cell membrane potential, transducing sound into electrical signals. [UniProt] |
| Cellular Localization | Cell membrane; Lipid-anchor, GPI-anchor; Extracellular side. Secreted, extracellular space, extracellular matrix. Note=Found in the non-collagenous matrix of the tectorial membrane. [UniProt] |
| Calculated MW | 240 kDa |
| PTM | The presence of a hydrophobic C-terminus preceded by a potential cleavage site strongly suggests that tectorins are synthesized as glycosylphosphatidylinositol-linked, membrane-bound precursors. Tectorins are targeted to the apical surface of the inner ear epithelia by the lipid and proteolytically released into the extracellular compartment. [UniProt] |
Images (4) Click the Picture to Zoom In
-
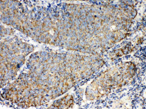
ARG59307 anti-TECTA / Tectorin alpha antibody IHC-P image
Immunohistochemistry: Paraffin-embedded Human intetsinal cancer stained with ARG59307 anti-TECTA / Tectorin alpha antibody at 1 µg/ml dilution.
-
ARG59307 anti-TECTA / Tectorin alpha antibody WB image
Western blot: Rat testis, HEPA1-6 and HepG2 whole cell lysates stained with ARG59307 anti-TECTA / Tectorin alpha antibody at 0.5 µg/ml dilution.
-
ARG59307 anti-TECTA / Tectorin alpha antibody IHC-P image
Immunohistochemistry: Paraffin-embedded Human lung cancer stained with ARG59307 anti-TECTA / Tectorin alpha antibody at 1 µg/ml dilution.
-
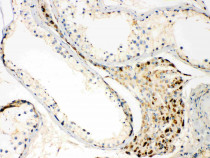
ARG59307 anti-TECTA / Tectorin alpha antibody IHC-P image
Immunohistochemistry: Paraffin-embedded Human testis stained with ARG59307 anti-TECTA / Tectorin alpha antibody at 1 µg/ml dilution.
