ARG55431
anti-TERF2IP / RAP1 antibody
anti-TERF2IP / RAP1 antibody for IHC-Formalin-fixed paraffin-embedded sections,Western blot and Human
Controls and Markers antibody; Gene Regulation antibody
Overview
| Product Description | Rabbit Polyclonal antibody recognizes TERF2IP / RAP1 |
|---|---|
| Tested Reactivity | Hu |
| Predict Reactivity | Mk |
| Tested Application | IHC-P, WB |
| Host | Rabbit |
| Clonality | Polyclonal |
| Isotype | IgG |
| Target Name | TERF2IP / RAP1 |
| Antigen Species | Human |
| Immunogen | KLH-conjugated synthetic peptide corresponding to aa. 349-378 (C-terminus) of Human TERF2IP. |
| Conjugation | Un-conjugated |
| Alternate Names | Telomeric repeat-binding factor 2-interacting protein 1; TRF2-interacting telomeric protein 1; RAP1; DRIP5; RAP1 homolog; hRap1; Dopamine receptor-interacting protein 5; Repressor/activator protein 1 homolog; TERF2-interacting telomeric protein 1 |
Application Instructions
| Application Suggestion |
|
||||||
|---|---|---|---|---|---|---|---|
| Application Note | * The dilutions indicate recommended starting dilutions and the optimal dilutions or concentrations should be determined by the scientist. | ||||||
| Positive Control | HepG2 |
Properties
| Form | Liquid |
|---|---|
| Purification | Purification with Protein A and immunogen peptide. |
| Buffer | PBS and 0.09% (W/V) Sodium azide |
| Preservative | 0.09% (W/V) Sodium azide |
| Storage Instruction | For continuous use, store undiluted antibody at 2-8°C for up to a week. For long-term storage, aliquot and store at -20°C or below. Storage in frost free freezers is not recommended. Avoid repeated freeze/thaw cycles. Suggest spin the vial prior to opening. The antibody solution should be gently mixed before use. |
| Note | For laboratory research only, not for drug, diagnostic or other use. |
Bioinformation
| Database Links |
Swiss-port # Q9NYB0 Human Telomeric repeat-binding factor 2-interacting protein 1 |
|---|---|
| Gene Symbol | TERF2IP |
| Gene Full Name | telomeric repeat binding factor 2, interacting protein |
| Background | The gene encodes a protein that is part of a complex involved in telomere length regulation. Pseudogenes are present on chromosomes 5 and 22. [provided by RefSeq, Apr 2010] |
| Function | Acts both as a regulator of telomere function and as a transcription regulator. Involved in the regulation of telomere length and protection as a component of the shelterin complex (telosome). In contrast to other components of the shelterin complex, it is dispensible for telomere capping and does not participate in the protection of telomeres against non-homologous end-joining (NHEJ)-mediated repair. Instead, it is required to negatively regulate telomere recombination and is essential for repressing homology-directed repair (HDR), which can affect telomere length. Does not bind DNA directly: recruited to telomeric double-stranded 5'-TTAGGG-3' repeats via its interaction with TERF2. Independently of its function in telomeres, also acts as a transcription regulator: recruited to extratelomeric 5'-TTAGGG-3' sites via its association with TERF2 or other factors, and regulates gene expression. When cytoplasmic, associates with the I-kappa-B-kinase (IKK) complex and acts as a regulator of the NF-kappa-B signaling by promoting IKK-mediated phosphorylation of RELA/p65, leading to activate expression of NF-kappa-B target genes. [UniProt] |
| Cellular Localization | Nucleus. Cytoplasm. Chromosome. Chromosome, telomere. Note=Associates with chromosomes, both at telomeres and in extratelomeric sites. Also exists as a cytoplasmic form, where it associates with the IKK complex (By similarity). |
| Research Area | Controls and Markers antibody; Gene Regulation antibody |
| Calculated MW | 44 kDa |
Images (2) Click the Picture to Zoom In
-
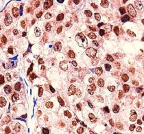
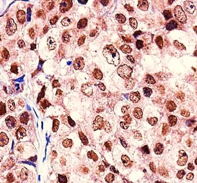
ARG55431 anti-TERF2IP / RAP1 antibody IHC-P image
Immunohistochemistry: Formalin-fixed and paraffin-embedded Human breast carcinoma stained with ARG55431 anti-TERF2IP / RAP1 antibody.
-
ARG55431 anti-TERF2IP / RAP1 antibody WB image
Western blot: 35 µg of HepG2 cell lysate stained with ARG55431 anti-TERF2IP / RAP1 antibody.
