ARG46741
anti-TFAM antibody
anti-TFAM antibody for ICC/IF,IHC-Formalin-fixed paraffin-embedded sections,Western blot and Human,Mouse,Rat
Overview
| Product Description | Rabbit Polyclonal antibody recognizes TFAM |
|---|---|
| Tested Reactivity | Hu, Ms, Rat |
| Tested Application | ICC/IF, IHC-P, WB |
| Host | Rabbit |
| Clonality | Polyclonal |
| Isotype | IgG |
| Target Name | TFAM |
| Immunogen | Synthetic peptide |
| Conjugation | Un-conjugated |
| Alternate Names | TCF6; MTTFA; mtTFA; TCF-6; Transcription factor A, mitochondrial; MtTF1; MTTF1; Mitochondrial transcription factor 1; Transcription factor 6-like 2; TCF6L1; Transcription factor 6; TCF6L3; TCF6L2 |
Application Instructions
| Application Suggestion |
|
||||||||
|---|---|---|---|---|---|---|---|---|---|
| Application Note | * The dilutions indicate recommended starting dilutions and the optimal dilutions or concentrations should be determined by the scientist. |
Properties
| Form | Liquid |
|---|---|
| Purification | Affinity purification with immunogen. |
| Buffer | PBS, 50% Glycerol, Proclin 300 or sodium azide |
| Preservative | Proclin 300 or sodium azide |
| Stabilizer | 50% Glycerol |
| Storage Instruction | For continuous use, store undiluted antibody at 2-8°C for up to a week. For long-term storage, aliquot and store at -20°C or below. Storage in frost free freezers is not recommended. Avoid repeated freeze/thaw cycles. Suggest spin the vial prior to opening. The antibody solution should be gently mixed before use. |
| Note | For laboratory research only, not for drug, diagnostic or other use. |
Bioinformation
| Database Links | |
|---|---|
| Gene Symbol | TFAM |
| Gene Full Name | transcription factor A, mitochondrial |
| Background | This gene encodes a key mitochondrial transcription factor containing two high mobility group motifs. The encoded protein also functions in mitochondrial DNA replication and repair. Sequence polymorphisms in this gene are associated with Alzheimer's and Parkinson's diseases. There are pseudogenes for this gene on chromosomes 6, 7, and 11. Alternative splicing results in multiple transcript variants. [provided by RefSeq, Aug 2012] |
| Function | Binds to the mitochondrial light strand promoter and functions in mitochondrial transcription regulation. Required for accurate and efficient promoter recognition by the mitochondrial RNA polymerase. Promotes transcription initiation from the HSP1 and the light strand promoter by binding immediately upstream of transcriptional start sites. Is able to unwind DNA. Bends the mitochondrial light strand promoter DNA into a U-turn shape via its HMG boxes. Required for maintenance of normal levels of mitochondrial DNA. May play a role in organizing and compacting mitochondrial DNA. [UniProt] |
| Calculated MW | 29 kDa |
| PTM | Phosphorylation by PKA within the HMG box 1 impairs DNA binding and promotes degradation by the AAA+ Lon protease. |
Images (5) Click the Picture to Zoom In
-
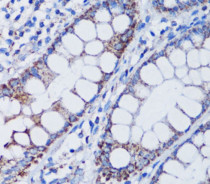
ARG46741 anti-TFAM antibody IHC-P image
Immunohistochemistry: Human colon stained with ARG46741 anti-TFAM antibody.
-
ARG46741 anti-TFAM antibody WB image
Western blot: 293T stained with ARG46741 anti-TFAM antibody.
-
ARG46741 anti-TFAM antibody IHC-P image
Immunohistochemistry: Rat brain stained with ARG46741 anti-TFAM antibody.
-
ARG46741 anti-TFAM antibody ICC/IF image
Immunofluorescence: PC-12 stained with ARG46741 anti-TFAM antibody at dilution.
-
ARG46741 anti-TFAM antibody ICC/IF image
Immunofluorescence: NIH/3T3 stained with ARG46741 anti-TFAM antibody at dilution.
