ARG44751
anti-TFAP2A / AP2 alpha antibody
anti-TFAP2A / AP2 alpha antibody for IHC-Formalin-fixed paraffin-embedded sections,Immunoprecipitation,Western blot and Human
Overview
| Product Description | Mouse Monoclonal antibody recognizes TFAP2A / AP2 alpha |
|---|---|
| Tested Reactivity | Hu |
| Tested Application | IHC-P, IP, WB |
| Host | Mouse |
| Clonality | Monoclonal |
| Isotype | IgG2a |
| Target Name | AP2 alpha |
| Antigen Species | Human |
| Conjugation | Un-conjugated |
| Alternate Names | BOFS; TFAP2; Activating enhancer-binding protein 2-alpha; AP2-alpha; Transcription factor AP-2-alpha; AP-2; AP-2alpha; AP-2 transcription factor; Activator protein 2; AP2TF |
Application Instructions
| Application Suggestion |
|
||||||||
|---|---|---|---|---|---|---|---|---|---|
| Application Note | * The dilutions indicate recommended starting dilutions and the optimal dilutions or concentrations should be determined by the scientist. |
Properties
| Form | Liquid |
|---|---|
| Purification | Protein A purification |
| Buffer | PBS with 0.09% sodium azide |
| Storage Instruction | For continuous use, store undiluted antibody at 2-8°C for up to a week. For long-term storage, aliquot and store at -20°C or below. Storage in frost free freezers is not recommended. Avoid repeated freeze/thaw cycles. Suggest spin the vial prior to opening. The antibody solution should be gently mixed before use. |
| Note | For laboratory research only, not for drug, diagnostic or other use. |
Bioinformation
| Database Links | |
|---|---|
| Gene Symbol | TFAP2A |
| Gene Full Name | transcription factor AP-2 alpha (activating enhancer binding protein 2 alpha) |
| Background | The protein encoded by this gene is a transcription factor that binds the consensus sequence 5'-GCCNNNGGC-3'. The encoded protein functions as either a homodimer or as a heterodimer with similar family members. This protein activates the transcription of some genes while inhibiting the transcription of others. Defects in this gene are a cause of branchiooculofacial syndrome (BOFS). Three transcript variants encoding different isoforms have been found for this gene.[provided by RefSeq, Dec 2009] |
| Function | Enhances the phosphorylation and activation of AKT1, AKT2 and AKT3. Promotes nuclear translocation of AKT1. Enhances cell proliferation, stabilizes mitochondrial membrane potential and promotes cell survival. [UniProt] |
| Calculated MW | 48 kDa |
| PTM | Sumoylated on Lys-10; which inhibits transcriptional activity. [UniProt] |
Images (3) Click the Picture to Zoom In
-
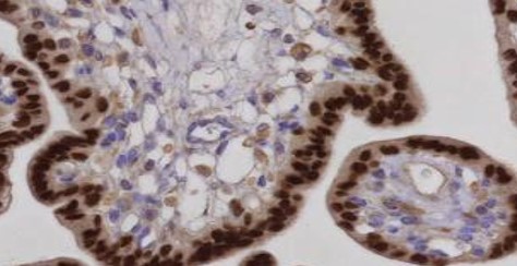
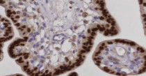
ARG44751 anti-TFAP2A / AP2 alpha antibody IHC-P image
Immunohistochemistry: Human placenta stained with ARG44751 anti-TFAP2A / AP2 alpha antibody at 5 µg/mL dilution.
-
ARG44751 anti-TFAP2A / AP2 alpha antibody WB image
Western blot: HeLa stained with ARG44751 anti-TFAP2A / AP2 alpha antibody at 1 µg/mL dilution.
-
ARG44751 anti-TFAP2A / AP2 alpha antibody IP image
Immunoprecipitation: HeLa lysate immunoprecipitated with 2.5 µg of ARG44751 anti-TFAP2A / AP2 alpha antibody.
