ARG66152
anti-TFF2 / Spasmolytic Polypeptide antibody
anti-TFF2 / Spasmolytic Polypeptide antibody for ELISA,IHC-Formalin-fixed paraffin-embedded sections,Western blot and Human
Overview
| Product Description | Rabbit Polyclonal antibody recognizes TFF2 / Spasmolytic Polypeptide |
|---|---|
| Tested Reactivity | Hu |
| Tested Application | ELISA, IHC-P, WB |
| Host | Rabbit |
| Clonality | Polyclonal |
| Isotype | IgG |
| Target Name | TFF2 / Spasmolytic Polypeptide |
| Antigen Species | Human |
| Immunogen | E. coli derived recombinant Human TFF2 / Spasmolytic Polypeptide. (AEKPSPCQCS RLSPHNRTNC GFPGITSDQC FDNGCCFDSS VTGVPWCFHP LPKQESDQCV MEVSDRRNCG YPGISPEECA SRKCCFSNFI FEVPWCFFPK SVEDCHY) |
| Conjugation | Un-conjugated |
| Alternate Names | Trefoil factor 2; Spasmolysin; SP; SML1; Spasmolytic polypeptide |
Application Instructions
| Application Suggestion |
|
||||||||
|---|---|---|---|---|---|---|---|---|---|
| Application Note | * The dilutions indicate recommended starting dilutions and the optimal dilutions or concentrations should be determined by the scientist. |
Properties
| Form | Liquid |
|---|---|
| Purification | Affinity purification with immunogen. |
| Buffer | PBS (pH 7.2) |
| Concentration | 1 mg/ml |
| Storage Instruction | For continuous use, store undiluted antibody at 2-8°C for up to a week. For long-term storage, aliquot and store at -20°C or below. Storage in frost free freezers is not recommended. Avoid repeated freeze/thaw cycles. Suggest spin the vial prior to opening. The antibody solution should be gently mixed before use. |
| Note | For laboratory research only, not for drug, diagnostic or other use. |
Bioinformation
| Database Links | |
|---|---|
| Gene Symbol | TFF2 |
| Gene Full Name | trefoil factor 2 |
| Background | Members of the trefoil family are characterized by having at least one copy of the trefoil motif, a 40-amino acid domain that contains three conserved disulfides. They are stable secretory proteins expressed in gastrointestinal mucosa. Their functions are not defined, but they may protect the mucosa from insults, stabilize the mucus layer and affect healing of the epithelium. The encoded protein inhibits gastric acid secretion. This gene and two other related trefoil family member genes are found in a cluster on chromosome 21. [provided by RefSeq, Jul 2008] |
| Function | Inhibits gastrointestinal motility and gastric acid secretion. Could function as a structural component of gastric mucus, possibly by stabilizing glycoproteins in the mucus gel through interactions with carbohydrate side chains (By similarity). [UniProt] |
| Calculated MW | 14 kDa |
Images (4) Click the Picture to Zoom In
-
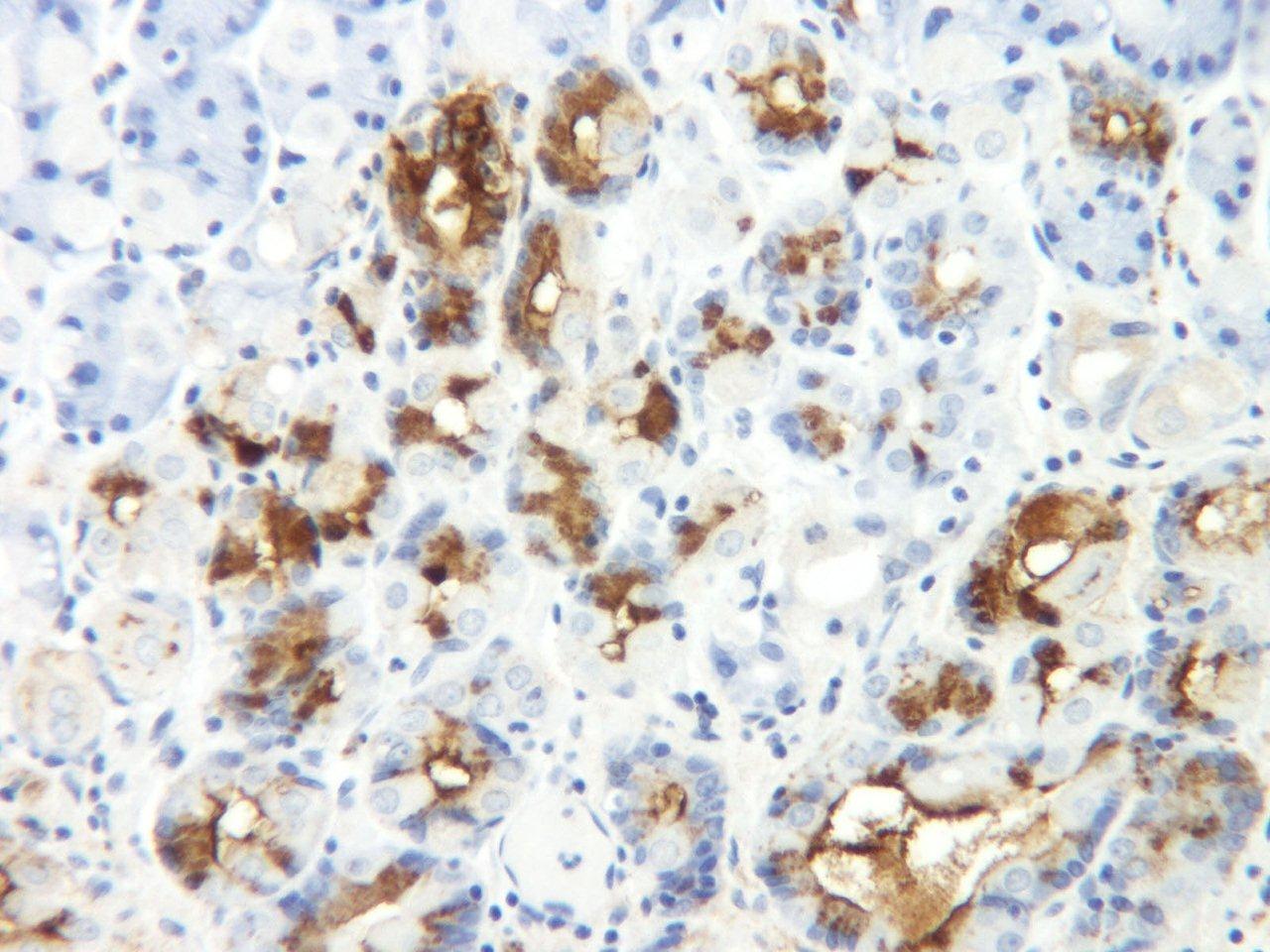
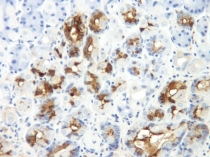
ARG66152 anti-TFF2 / Spasmolytic Polypeptide antibody IHC-P image
Immunohistochemistry: Formalin-fixed and paraffin-embedded sections of Human normal gastric mucosa. The recommended ARG66152 anti-TFF2 / Spasmolytic Polypeptide antibody concentration is 0.25 µg/ml with an overnight incubation at 4˚C. An HRP-labeled polymer detection system was used with a DAB chromogen.
-
ARG66152 anti-TFF2 / Spasmolytic Polypeptide antibody WB image
Western blot: 250 - 0.24 ng of Human TFF-2 stained with ARG66152 anti-TFF2 / Spasmolytic Polypeptide antibody, under non-reducing conditions.
-
ARG66152 anti-TFF2 / Spasmolytic Polypeptide antibody standard curve image
Sandwich ELISA: ARG66152 anti-TFF2 / Spasmolytic Polypeptide antibody as a capture antibody at 0.5 - 2.0 µg/ml combined with ARG66153 anti-TFF2 / Spasmolytic Polypeptide antibody (Biotin) as a detection antibody. Results of a typical standard run with optical density reading at 405 - 650 nm.
-
ARG66152 anti-TFF2 / Spasmolytic Polypeptide antibody WB image
Western blot: 250 - 0.24 ng of Human TFF-2 stained with ARG66152 anti-TFF2 / Spasmolytic Polypeptide antibody, under reducing conditions.
