ARG59646
anti-TFIIE beta antibody
anti-TFIIE beta antibody for IHC-Formalin-fixed paraffin-embedded sections,Western blot and Human
Overview
| Product Description | Rabbit Polyclonal antibody recognizes TFIIE beta |
|---|---|
| Tested Reactivity | Hu |
| Predict Reactivity | Ms, Rat, Cow, Dog, Goat, Gpig, Hrs, Rb, Zfsh |
| Tested Application | IHC-P, WB |
| Host | Rabbit |
| Clonality | Polyclonal |
| Isotype | IgG |
| Target Name | TFIIE beta |
| Antigen Species | Human |
| Immunogen | Synthetic peptide around the N-terminal region of Human TFIIE beta. (within the following region: VEHGGSSGSKQNSDHSNGSFNLKALSGSSGYKFGVLAKIVNYMKTRHQRG) |
| Conjugation | Un-conjugated |
| Alternate Names | General transcription factor IIE subunit 2; TF2E2; TFIIE-beta; FE; Transcription initiation factor IIE subunit beta; TFIIE-B |
Application Instructions
| Predict Reactivity Note | Predicted Homology Based On Immunogen Sequence: Cow: 100%; Dog: 100%; Goat: 79%; Guinea Pig: 100%; Horse: 100%; Mouse: 93%; Rabbit: 100%; Rat: 100%; Zebrafish: 85% | ||||||
|---|---|---|---|---|---|---|---|
| Application Suggestion |
|
||||||
| Application Note | * The dilutions indicate recommended starting dilutions and the optimal dilutions or concentrations should be determined by the scientist. |
Properties
| Form | Liquid |
|---|---|
| Purification | Affinity purified. |
| Buffer | PBS, 0.09% (w/v) Sodium azide and 2% Sucrose. |
| Preservative | 0.09% (w/v) Sodium azide |
| Stabilizer | 2% Sucrose |
| Concentration | Batch dependent: 0.5 - 1 mg/ml |
| Storage Instruction | For continuous use, store undiluted antibody at 2-8°C for up to a week. For long-term storage, aliquot and store at -20°C or below. Storage in frost free freezers is not recommended. Avoid repeated freeze/thaw cycles. Suggest spin the vial prior to opening. The antibody solution should be gently mixed before use. |
| Note | For laboratory research only, not for drug, diagnostic or other use. |
Bioinformation
| Database Links |
Swiss-port # P29084 Human Transcription initiation factor IIE subunit beta |
|---|---|
| Gene Symbol | GTF2E2 |
| Gene Full Name | general transcription factor IIE, polypeptide 2, beta 34kDa |
| Function | Recruits TFIIH to the initiation complex and stimulates the RNA polymerase II C-terminal domain kinase and DNA-dependent ATPase activities of TFIIH. Both TFIIH and TFIIE are required for promoter clearance by RNA polymerase. [UniProt] |
| Cellular Localization | Nucleus. [UniProt] |
| Calculated MW | 33 kDa |
Images (2) Click the Picture to Zoom In
-
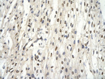
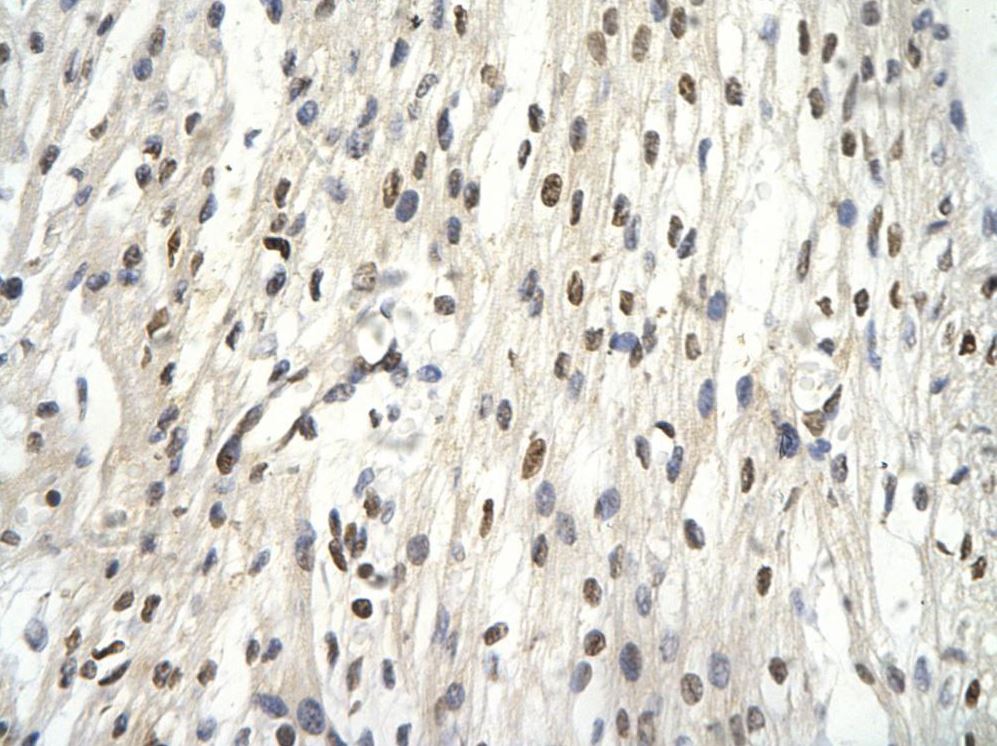
ARG59646 anti-TFIIE beta antibody IHC-P image
Immunohistochemistry: Paraffin-embedded Human cardiac cell (epithelial cells of renal tubule) stained with ARG59646 anti-TFIIE beta antibody at 4 - 8 µg/ml dilution. (Magnification: 400X).
-
ARG59646 anti-TFIIE beta antibody WB image
Western blot: Daudi cell lysate stained with ARG59646 anti-TFIIE beta antibody at 0.2 - 1 µg/ml dilution.
