ARG59622
anti-TFIIF beta antibody
anti-TFIIF beta antibody for ICC/IF,IHC-Formalin-fixed paraffin-embedded sections,Western blot and Human,Mouse
Overview
| Product Description | Rabbit Polyclonal antibody recognizes TFIIF beta |
|---|---|
| Tested Reactivity | Hu, Ms |
| Tested Application | ICC/IF, IHC-P, WB |
| Host | Rabbit |
| Clonality | Polyclonal |
| Isotype | IgG |
| Target Name | TFIIF beta |
| Antigen Species | Human |
| Immunogen | Recombinant fusion protein corresponding to aa. 1-249 of Human TFIIF beta (NP_004119.1). |
| Conjugation | Un-conjugated |
| Alternate Names | BTF4; TF2F2; General transcription factor IIF 30 kDa subunit; General transcription factor IIF subunit 2; EC 3.6.4.12; TFIIF-beta; RAP30; ATP-dependent helicase GTF2F2; TFIIF; Transcription initiation factor RAP30; Transcription initiation factor IIF subunit beta |
Application Instructions
| Application Suggestion |
|
||||||||
|---|---|---|---|---|---|---|---|---|---|
| Application Note | * The dilutions indicate recommended starting dilutions and the optimal dilutions or concentrations should be determined by the scientist. | ||||||||
| Positive Control | Mouse thymus and HepG2 |
Properties
| Form | Liquid |
|---|---|
| Purification | Affinity purified. |
| Buffer | PBS (pH 7.3), 0.02% Sodium azide and 50% Glycerol. |
| Preservative | 0.02% Sodium azide |
| Stabilizer | 50% Glycerol |
| Storage Instruction | For continuous use, store undiluted antibody at 2-8°C for up to a week. For long-term storage, aliquot and store at -20°C. Storage in frost free freezers is not recommended. Avoid repeated freeze/thaw cycles. Suggest spin the vial prior to opening. The antibody solution should be gently mixed before use. |
| Note | For laboratory research only, not for drug, diagnostic or other use. |
Bioinformation
| Database Links |
Swiss-port # P13984 Human General transcription factor IIF subunit 2 Swiss-port # Q8R0A0 Mouse General transcription factor IIF subunit 2 |
|---|---|
| Gene Symbol | GTF2F2 |
| Gene Full Name | general transcription factor IIF, polypeptide 2, 30kDa |
| Function | TFIIF is a general transcription initiation factor that binds to RNA polymerase II and helps to recruit it to the initiation complex in collaboration with TFIIB. It promotes transcription elongation. This subunit shows ATP-dependent DNA-helicase activity. [UniProt] |
| Cellular Localization | Nucleus. [UniProt] |
| Calculated MW | 28 kDa |
Images (3) Click the Picture to Zoom In
-
ARG59622 anti-TFIIF beta antibody ICC/IF image
Immunofluorescence: A549 cells stained with ARG59622 anti-TFIIF beta antibody.
-
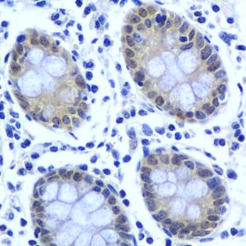
ARG59622 anti-TFIIF beta antibody IHC-P image
Immunohistochemistry: Paraffin-embedded Human colon stained with ARG59622 anti-TFIIF beta antibody at 1:200 dilution.
-
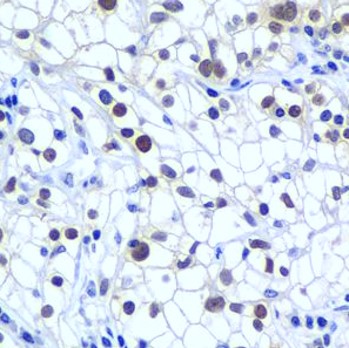
ARG59622 anti-TFIIF beta antibody IHC-P image
Immunohistochemistry: Paraffin-embedded Human kidney cancer stained with ARG59622 anti-TFIIF beta antibody at 1:200 dilution.
