ARG46566
anti-THEM4 antibody
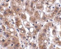
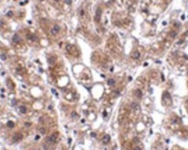
anti-THEM4 antibody for Western blot,IHC-Formalin-fixed paraffin-embedded sections and Human,Mouse,Rat
Overview
| Product Description | Rabbit Polyclonal antibody recognizes THEM4 |
|---|---|
| Tested Reactivity | Hu, Ms, Rat |
| Tested Application | IHC-P, WB |
| Host | Rabbit |
| Clonality | Polyclonal |
| Isotype | IgG |
| Target Name | THEM4 |
| Antigen Species | Human |
| Immunogen | A 18 amino acid synthetic peptide within the last 50 amino acids of human THEM4. |
| Conjugation | Un-conjugated |
| Alternate Names | THEM4; THEM4; Thioesterase Superfamily Member 4; CTMP; Carboxyl-Terminal Modulator Protein; Acyl-Coenzyme A Thioesterase THEM4; C-Terminal Modulator Protein; Acyl-CoA Thioesterase THEM4; EC 3.1.2.2 |
Application Instructions
| Application Suggestion |
|
||||||
|---|---|---|---|---|---|---|---|
| Application Note | * The dilutions indicate recommended starting dilutions and the optimal dilutions or concentrations should be determined by the scientist. |
Properties
| Purification | Affinity chromatography purified |
|---|---|
| Buffer | PBS and 0.02% Sodium azide. |
| Preservative | 0.02% Sodium azide |
| Concentration | 1 mg/ml |
| Storage Instruction | For continuous use, store undiluted antibody at 2-8°C for up to a week. For long-term storage, aliquot and store at -20°C. Storage in frost free freezers is not recommended. Avoid repeated freeze/thaw cycles. Suggest spin the vial prior to opening. The antibody solution should be gently mixed before use. |
| Note | For laboratory research only, not for drug, diagnostic or other use. |
Bioinformation
| Database Links | |
|---|---|
| Gene Symbol | THEM4 |
| Gene Full Name | thioesterase superfamily member 4 |
| Background | Protein kinase B (PKB) is a major downstream target of receptor tyrosine kinases that signal via phosphatidylinositol 3-kinase. Upon cell stimulation, PKB is translocated to the plasma membrane, where it is phosphorylated in the C-terminal regulatory domain. The protein encoded by this gene negatively regulates PKB activity by inhibiting phosphorylation. Transcription of this gene is commonly downregulated in glioblastomas. [provided by RefSeq, Jul 2008] |
| Function | Has acyl-CoA thioesterase activity towards medium and long-chain (C14 to C18) fatty acyl-CoA substrates, and probably plays a role in mitochondrial fatty acid metabolism. Plays a role in the apoptotic process, possibly via its regulation of AKT1 activity. [UniProt] |
| Cellular Localization | Cell membrane; Cell projection; Cytoplasm; Membrane; Mitochondrion; Mitochondrion inner membrane. [UniProt] |
| Calculated MW | 27 kDa |
Images (2) Click the Picture to Zoom In
