ARG64213
anti-TIA1 antibody
anti-TIA1 antibody for ICC/IF,IHC-Formalin-fixed paraffin-embedded sections,Western blot and Human
Cell Biology and Cellular Response antibody; Cell Death antibody; Gene Regulation antibody; Immune System antibody
Overview
| Product Description | Goat Polyclonal antibody recognizes TIA1 |
|---|---|
| Tested Reactivity | Hu |
| Predict Reactivity | Ms, Rat, Dog |
| Tested Application | ICC/IF, IHC-P, WB |
| Specificity | This antibody is expected to recognise both reported isoforms (NP_071320.1 and NP_071505.1). |
| Host | Goat |
| Clonality | Polyclonal |
| Isotype | IgG |
| Target Name | TIA1 |
| Antigen Species | Human |
| Immunogen | C-PKSTYESNTKQ |
| Conjugation | Un-conjugated |
| Alternate Names | T-cell-restricted intracellular antigen-1; WDM; TIA-1; RNA-binding protein TIA-1; p40-TIA-1; Nucleolysin TIA-1 isoform p40 |
Application Instructions
| Application Suggestion |
|
||||||||
|---|---|---|---|---|---|---|---|---|---|
| Application Note | WB: Recommend incubate at RT for 1h. IHC-P: Antigen Retrieval: Steam tissue section in Citrate buffer (pH 6.0). * The dilutions indicate recommended starting dilutions and the optimal dilutions or concentrations should be determined by the scientist. |
Properties
| Form | Liquid |
|---|---|
| Purification | Purified from goat serum by antigen affinity chromatography. |
| Buffer | Tris saline (pH 7.3), 0.02% Sodium azide and 0.5% BSA. |
| Preservative | 0.02% Sodium azide |
| Stabilizer | 0.5% BSA |
| Concentration | 0.5 mg/ml |
| Storage Instruction | For continuous use, store undiluted antibody at 2-8°C for up to a week. For long-term storage, aliquot and store at -20°C or below. Storage in frost free freezers is not recommended. Avoid repeated freeze/thaw cycles. Suggest spin the vial prior to opening. The antibody solution should be gently mixed before use. |
| Note | For laboratory research only, not for drug, diagnostic or other use. |
Bioinformation
| Database Links | |
|---|---|
| Background | The product encoded by this gene is a member of a RNA-binding protein family and possesses nucleolytic activity against cytotoxic lymphocyte (CTL) target cells. It has been suggested that this protein may be involved in the induction of apoptosis as it preferentially recognizes poly(A) homopolymers and induces DNA fragmentation in CTL targets. The major granule-associated species is a 15-kDa protein that is thought to be derived from the carboxyl terminus of the 40-kDa product by proteolytic processing. Alternative splicing resulting in different isoforms of this gene product has been described in the literature. [provided by RefSeq, Jul 2008] |
| Research Area | Cell Biology and Cellular Response antibody; Cell Death antibody; Gene Regulation antibody; Immune System antibody |
| Calculated MW | 43 kDa |
Images (3) Click the Picture to Zoom In
-
ARG64213 anti-TIA1 antibody WB image
Western Blot: Jurkat cell lysate (35 µg protein in RIPA buffer) stained with ARG64213 anti-TIA1 antibody at 0.1 µg/ml dilution.
-
ARG64213 anti-TIA1 antibody ICC/IF image
Immunofluorescence: Paraformaldehyde fixed HeLa cells permeabilized with 0.15% Triton. Cells were stained with ARG64213 anti-TIA1 antibody (green) at 5 µg/ml dilution for 1 hour. DAPI (blue) for nuclear staining. Negative control: Unimmunized goat IgG (green) at 5 µg/ml dilution.
-
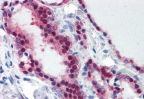
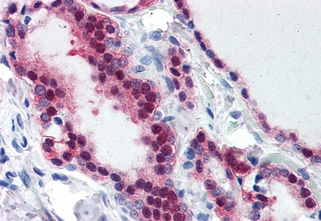
ARG64213 anti-TIA1 antibody IHC-P image
Immunohistochemistry: Paraffin-embedded Human thyroid tissue. Antigen Retrieval: Steam tissue section in Citrate buffer (pH 6.0). The tissue section was stained with ARG64213 anti-TIA1 antibody at 3.75 µg/ml dilution followed by AP-staining.
