ARG45457
anti-TIMP4 antibody
anti-TIMP4 antibody for Flow cytometry,ICC/IF,IHC-Formalin-fixed paraffin-embedded sections,Western blot and Human,Mouse,Rat
Overview
| Product Description | Rabbit Polyclonal antibody recognizes TIMP4 |
|---|---|
| Tested Reactivity | Hu, Ms, Rat |
| Tested Application | FACS, ICC/IF, IHC-P, WB |
| Host | Rabbit |
| Clonality | Polyclonal |
| Isotype | IgG |
| Target Name | TIMP4 |
| Antigen Species | Human |
| Immunogen | Recombinant protein containing to human TIMP4. |
| Conjugation | Un-conjugated |
| Alternate Names | TIMP4; Metalloproteinase inhibitor 4; Tissue inhibitor of metalloproteinases 4; TIMP-4 |
Application Instructions
| Application Suggestion |
|
||||||||||
|---|---|---|---|---|---|---|---|---|---|---|---|
| Application Note | * The dilutions indicate recommended starting dilutions and the optimal dilutions or concentrations should be determined by the scientist. | ||||||||||
| Observed Size | 25 kDa |
Properties
| Form | Liquid |
|---|---|
| Purification | Affinity purified |
| Buffer | 0.2% Na2HPO4, 0.9% NaCl, 0.05% Sodium azide and 4% Trehalose. |
| Preservative | 0.05% Sodium azide |
| Stabilizer | 4% Trehalose |
| Concentration | 0.5 mg/ml |
| Storage Instruction | For continuous use, store undiluted antibody at 2-8°C for up to a week. For long-term storage, aliquot and store at -20°C or below. Storage in frost free freezers is not recommended. Avoid repeated freeze/thaw cycles. Suggest spin the vial prior to opening. The antibody solution should be gently mixed before use. |
| Note | For laboratory research only, not for drug, diagnostic or other use. |
Bioinformation
| Database Links | |
|---|---|
| Gene Symbol | TIMP4 |
| Gene Full Name | TIMP metallopeptidase inhibitor 4 |
| Background | This gene belongs to the TIMP gene family. The proteins encoded by this gene family are inhibitors of the matrix metalloproteinases, a group of peptidases involved in degradation of the extracellular matrix. The secreted, netrin domain-containing protein encoded by this gene is involved in regulation of platelet aggregation and recruitment and may play role in hormonal regulation and endometrial tissue remodeling. [provided by RefSeq, Jul 2008] |
| Function | Complexes with metalloproteinases (such as collagenases) and irreversibly inactivates them by binding to their catalytic zinc cofactor. Known to act on MMP-1, MMP-2, MMP-3, MMP-7 and MMP-9. [UniProt] |
| Cellular Localization | Secreted. [UniProt] |
| Calculated MW | 26 kDa |
| PTM | Disulfide bond. [UniProt] |
Images (7) Click the Picture to Zoom In
-
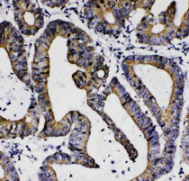
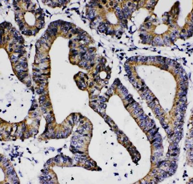
ARG45457 anti-TIMP4 antibody IHC-P image
Immunohistochemistry: Human intestinal cancer stained with ARG45457 anti-TIMP4 antibody at 1 μg/ml dilution.
-
ARG45457 anti-TIMP4 antibody ICC/IF image
Immunofluorescence: HepG2 stained with ARG45457 anti-TIMP4 antibody at 5 μg/ml dilution.
-
ARG45457 anti-TIMP4 antibody WB image
Western blot: Hela stained with ARG45457 anti-TIMP4 antibody at 0.5 μg/ml dilution.
-
ARG45457 anti-TIMP4 antibody FACS image
Flow Cytometry: A549 stained with ARG45457 anti-TIMP4 antibody at 1 µg/10^6 cells dilution.
-
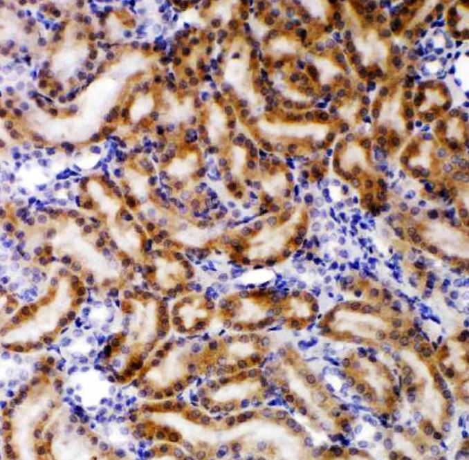
ARG45457 anti-TIMP4 antibody IHC-P image
Immunohistochemistry: Rat kidney stained with ARG45457 anti-TIMP4 antibody at 1 μg/ml dilution.
-
ARG45457 anti-TIMP4 antibody WB image
Western blot: Rat heart stained with ARG45457 anti-TIMP4 antibody at 0.5 μg/ml dilution.
-
ARG45457 anti-TIMP4 antibody WB image
Western blot: Mouse heart stained with ARG45457 anti-TIMP4 antibody at 0.5 μg/ml dilution.
