ARG41718
anti-TLR9 antibody [TR9541]
anti-TLR9 antibody [TR9541] for Flow cytometry,IHC-Formalin-fixed paraffin-embedded sections,Western blot and Human,Mouse
Overview
| Product Description | Mouse Monoclonal antibody [TR9541] recognizes TLR9 |
|---|---|
| Tested Reactivity | Hu, Ms |
| Tested Application | FACS, IHC-P, WB |
| Host | Mouse |
| Clonality | Monoclonal |
| Clone | TR9541 |
| Isotype | IgG1, kappa |
| Target Name | TLR9 |
| Antigen Species | Human |
| Immunogen | Recombinant protein fragment around the N-terminal region of Human TLR9. |
| Conjugation | Un-conjugated |
| Alternate Names | CD289; Toll-like receptor 9; CD antigen CD289 |
Application Instructions
| Application Suggestion |
|
||||||||
|---|---|---|---|---|---|---|---|---|---|
| Application Note | IHC-P: Antigen Retrieval: Steam tissue section in 10 mM Citrate buffer (pH 6.0) for 10-20 min followed by cooling at RT for 20 min. * The dilutions indicate recommended starting dilutions and the optimal dilutions or concentrations should be determined by the scientist. |
||||||||
| Observed Size | ~ 110 kDa |
Properties
| Form | Liquid |
|---|---|
| Purification | Purification with Protein G. |
| Buffer | PBS (pH 7.4), 0.05% Sodium azide and 0.1 mg/ml BSA. |
| Preservative | 0.05% Sodium azide |
| Stabilizer | 0.1 mg/ml BSA |
| Concentration | 0.5 mg/ml |
| Storage Instruction | For continuous use, store undiluted antibody at 2-8°C for up to a week. For long-term storage, aliquot and store at -20°C or below. Storage in frost free freezers is not recommended. Avoid repeated freeze/thaw cycles. Suggest spin the vial prior to opening. The antibody solution should be gently mixed before use. |
| Note | For laboratory research only, not for drug, diagnostic or other use. |
Bioinformation
| Database Links | |
|---|---|
| Gene Symbol | TLR9 |
| Gene Full Name | toll-like receptor 9 |
| Background | The protein encoded by this gene is a member of the Toll-like receptor (TLR) family which plays a fundamental role in pathogen recognition and activation of innate immunity. TLRs are highly conserved from Drosophila to humans and share structural and functional similarities. They recognize pathogen-associated molecular patterns (PAMPs) that are expressed on infectious agents, and mediate the production of cytokines necessary for the development of effective immunity. The various TLRs exhibit different patterns of expression. This gene is preferentially expressed in immune cell rich tissues, such as spleen, lymph node, bone marrow and peripheral blood leukocytes. Studies in mice and human indicate that this receptor mediates cellular response to unmethylated CpG dinucleotides in bacterial DNA to mount an innate immune response. [provided by RefSeq, Jul 2008] |
| Function | Key component of innate and adaptive immunity. TLRs (Toll-like receptors) control host immune response against pathogens through recognition of molecular patterns specific to microorganisms. TLR9 is a nucleotide-sensing TLR which is activated by unmethylated cytidine-phosphate-guanosine (CpG) dinucleotides. Acts via MYD88 and TRAF6, leading to NF-kappa-B activation, cytokine secretion and the inflammatory response. Controls lymphocyte response to Helicobacter infection. [UniProt] |
| Cellular Localization | Endoplasmic reticulum membrane; Single-pass type I membrane protein. Endosome. Lysosome. Cytoplasmic vesicle, phagosome. Note=Relocalizes from endoplasmic reticulum to endosome and lysosome upon stimulation with agonist. Exit from the ER requires UNC93B1. Endolysosomal localization is required for proteolytic cleavage and subsequent activation. Intracellular localization of the active receptor may prevent from responding to self nucleic acid. [UniProt] |
| Calculated MW | 116 kDa |
| PTM | Activated by proteolytic cleavage of the flexible loop between repeats LRR14 and LRR15 within the ectodomain. Cleavage requires UNC93B1. Proteolytically processed by first removing the majority of the ectodomain by either asparagine endopeptidase (AEP) or a cathepsin followed by a trimming event that is solely cathepsin mediated and required for optimal receptor signaling. [UniProt] |
Images (4) Click the Picture to Zoom In
-
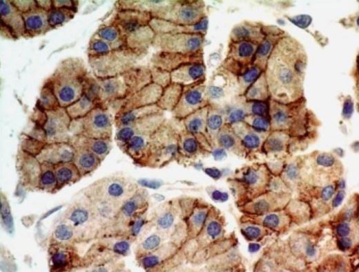
ARG41718 anti-TLR9 antibody [TR9541] IHC-P image
Immunohistochemistry: Formalin-fixed and paraffin-embedded Human stomach tissue. Antigen Retrieval: Steam tissue section in 10 mM Citrate buffer (pH 6.0) for 10-20 min followed by cooling at RT for 20 min. The tissue section was stained with ARG41718 anti-TLR9 antibody [TR9541] at 5 µg/ml dilution.
-
ARG41718 anti-TLR9 antibody [TR9541] WB image
Western blot: Raji cell lysate stained with ARG41718 anti-TLR9 antibody [TR9541] at 2 µg/ml dilution.
-
ARG41718 anti-TLR9 antibody [TR9541] FACS image
Flow Cytometry: Human PBMC (lymphocytes) stained with ARG41718 anti-TLR9 antibody [TR9541] at 0.5 µg/10^6 cells (red) or stained with isotype control antibody (green).
-
ARG41718 anti-TLR9 antibody [TR9541] WB image
Western blot: Mouse EL4 cell lysate stained with ARG41718 anti-TLR9 antibody [TR9541] at 2 µg/ml dilution.
