ARG46149
anti-TMC6 antibody
anti-TMC6 antibody for Western blot,IHC-Formalin-fixed paraffin-embedded sections and Human,Mouse
Overview
| Product Description | Rabbit Polyclonal antibody recognizes TMC6 |
|---|---|
| Tested Reactivity | Hu, Ms |
| Tested Application | IHC-P, WB |
| Host | Rabbit |
| Clonality | Polyclonal |
| Isotype | IgG |
| Target Name | TMC6 |
| Antigen Species | Human |
| Immunogen | A 15 amino acid synthetic peptide within aa. 560 - 610 of human TMC6. |
| Conjugation | Un-conjugated |
| Alternate Names | TMC6; transmembrane channel-like 6; EVER1; EV1; EVER1; EVIN1; LAK-4P; Transmembrane channel-like protein 6; Epidermodysplasia verruciformis protein 1 |
Application Instructions
| Application Suggestion |
|
||||||
|---|---|---|---|---|---|---|---|
| Application Note | * The dilutions indicate recommended starting dilutions and the optimal dilutions or concentrations should be determined by the scientist. |
Properties
| Form | Liquid |
|---|---|
| Purification | Affinity chromatography purified |
| Buffer | PBS and 0.02% Sodium azide. |
| Preservative | 0.02% Sodium azide |
| Concentration | 1 mg/ml |
| Storage Instruction | For continuous use, store undiluted antibody at 2-8°C for up to a week. For long-term storage, aliquot and store at -199°C or below. Storage in frost free freezers is not recommended. Avoid repeated freeze/thaw cycles. Suggest spin the vial prior to opening. The antibody solution should be gently mixed before use. |
| Note | For laboratory research only, not for drug, diagnostic or other use. |
Bioinformation
| Database Links |
Swiss-port # Q7TN60 Mouse Transmembrane channel-like protein 6 Swiss-port # Q7Z403 Human Transmembrane channel-like protein 6 |
|---|---|
| Gene Symbol | TMC6 |
| Gene Full Name | transmembrane channel-like 6 |
| Background | Epidermodysplasia verruciformis (EV) is an autosomal recessive dermatosis characterized by abnormal susceptibility to human papillomaviruses (HPVs) and a high rate of progression to squamous cell carcinoma on sun-exposed skin. EV is caused by mutations in either of two adjacent genes located on chromosome 17q25.3. Both of these genes encode integral membrane proteins that localize to the endoplasmic reticulum and are predicted to form transmembrane channels. This gene encodes a transmembrane channel-like protein with 10 transmembrane domains and 2 leucine zipper motifs. [provided by RefSeq, Jul 2008] |
| Function | Acts as a regulatory protein involved in the regulation of numerous cellular processes (PubMed:18158319, PubMed:30068544, PubMed:32917726). Together with its homolog TMC8/EVER2, forms a complex with CIB1 in lymphocytes and keratynocytes where TMC6 and TMC8 stabilize CIB1 and reciprocally (PubMed:30068544, PubMed:32917726). Together with TMC8, also forms a complex with and activates zinc transporter ZNT1 at the ER membrane of keratynocytes, thereby facilitating zinc uptake into the ER (PubMed:18158319). Down-regulates the activity of transcription factors induced by zinc and cytokines (PubMed:18158319). Also plays a role in thermal sensation by inhibiting the M-channel (KCNQ2-KCNQ3 channel) current in primary sensory neurons (By similarity). [UniProt] |
| Cellular Localization | Nucleus; Endoplasmic reticulum membrane; Golgi apparatus. [UniProt] |
| Calculated MW | 90 kDa |
| PTM | Phosphoprotein; Glycoprotein; Methylation. [UniProt] |
Images (3) Click the Picture to Zoom In
-
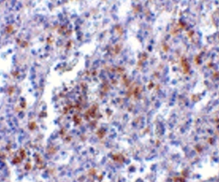
ARG46149 anti-TMC6 antibody IHC-P image
Immunohistochemistry: Human spleen stained with ARG46149 anti-TMC6 antibody.
-
ARG46149 anti-TMC6 antibody ICC/IF image
Immunofluorescence: Human Spleen stained with ARG46149 anti-TMC6 antibody.
-
ARG46149 anti-TMC6 antibody WB image
Western blot: Human spleen stained with ARG46149 anti-TMC6 antibody.
