ARG59436
anti-TMEM107 antibody
anti-TMEM107 antibody for Flow cytometry,IHC-Formalin-fixed paraffin-embedded sections,Western blot and Human
Overview
| Product Description | Rabbit Polyclonal antibody recognizes TMEM107 |
|---|---|
| Tested Reactivity | Hu |
| Tested Application | FACS, IHC-P, WB |
| Host | Rabbit |
| Clonality | Polyclonal |
| Isotype | IgG |
| Target Name | TMEM107 |
| Antigen Species | Human |
| Immunogen | Synthetic peptide corresponding to aa. 22-57 of Human TMEM107. (VITLFWSRDSNIQACLPLTFTPEEYDKQDIQLVAAL) |
| Conjugation | Un-conjugated |
| Alternate Names | PRO1268; Transmembrane protein 107; GRVS638 |
Application Instructions
| Application Suggestion |
|
||||||||
|---|---|---|---|---|---|---|---|---|---|
| Application Note | IHC-P: Antigen Retrieval: Heat mediation was performed in Citrate buffer (pH 6.0) for 20 min. * The dilutions indicate recommended starting dilutions and the optimal dilutions or concentrations should be determined by the scientist. |
Properties
| Form | Liquid |
|---|---|
| Purification | Affinity purification with immunogen. |
| Buffer | 0.9% NaCl, 0.2% Na2HPO4, 0.05% Sodium azide and 5% BSA. |
| Preservative | 0.05% Sodium azide |
| Stabilizer | 5% BSA |
| Concentration | 0.5 mg/ml |
| Storage Instruction | For continuous use, store undiluted antibody at 2-8°C for up to a week. For long-term storage, aliquot and store at -20°C or below. Storage in frost free freezers is not recommended. Avoid repeated freeze/thaw cycles. Suggest spin the vial prior to opening. The antibody solution should be gently mixed before use. |
| Note | For laboratory research only, not for drug, diagnostic or other use. |
Bioinformation
| Database Links | |
|---|---|
| Gene Symbol | TMEM107 |
| Gene Full Name | transmembrane protein 107 |
| Function | Plays a role in cilia formation and embryonic patterning. Requires for normal Sonic hedgehog (Shh) signaling in the neural tube and acts in combination with GLI2 and GLI3 to pattern ventral and intermediate neuronal cell types (By similarity). [UniProt] |
| Cellular Localization | Membrane; Multi-pass membrane protein. Cell projection, cilium. Note=Localizes at the transition zone, a region between the basal body and the ciliary axoneme. [UniProt] |
| Calculated MW | 16 kDa |
Images (4) Click the Picture to Zoom In
-
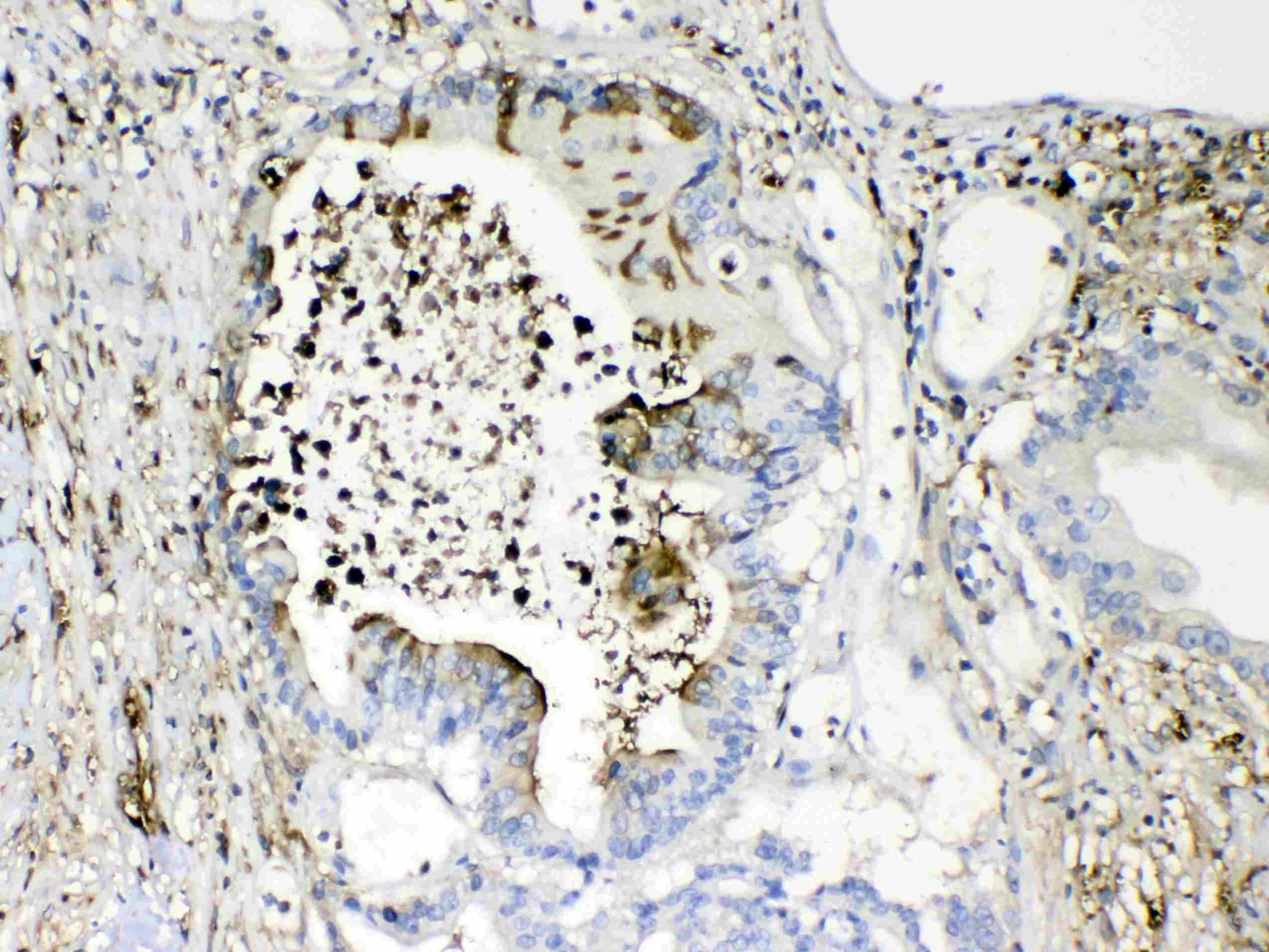
ARG59436 anti-TMEM107 antibody IHC-P image
Immunohistochemistry: Paraffin-embedded Human intestinal cancer tissues. Antigen Retrieval: Heat mediated was performed in Citrate buffer (pH 6.0, epitope retrieval solution) for 20 min. The tissue section was blocked with 10% goat serum. The tissue section was then stained with ARG59436 anti-TMEM107 antibody at 1 µg/ml, overnight at 4°C.
-
ARG59436 anti-TMEM107 antibody WB image
Western blot: 50 µg of samples under reducing conditions. MCF-7 whole cell lysate stained with ARG59436 anti-TMEM107 antibody at 0.5 µg/ml, overnight at 4°C.
-
ARG59436 anti-TMEM107 antibody FACS image
Flow Cytometry: SiHa cells were blocked with 10% normal goat serum and then stained with ARG59436 anti-TMEM107 antibody (blue) at 1 µg/10^6 cells for 30 min at 20°C, followed by incubation with DyLight®488 labelled secondary antibody. Isotype control antibody (green) was rabbit IgG (1 µg/10^6 cells) used under the same conditions. Unlabelled sample (red) was also used as a control.
-
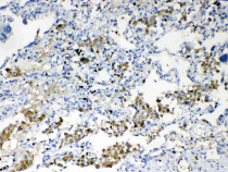
ARG59436 anti-TMEM107 antibody IHC-P image
Immunohistochemistry: Paraffin-embedded Human lung cancer tissue. Antigen Retrieval: Heat mediated was performed in Citrate buffer (pH 6.0, epitope retrieval solution) for 20 min. The tissue section was blocked with 10% goat serum. The tissue section was then stained with ARG59436 anti-TMEM107 antibody at 1 µg/ml, overnight at 4°C.
