ARG45319
anti-TMEM132B antibody
anti-TMEM132B antibody for Flow cytometry,IHC-Formalin-fixed paraffin-embedded sections,Western blot and Human,Mouse,Rat
Overview
| Product Description | Polyclonal antibody recognizes TMEM132B |
|---|---|
| Tested Reactivity | Hu, Ms, Rat |
| Tested Application | FACS, IHC-P, WB |
| Host | Rabbit |
| Clonality | Polyclonal |
| Isotype | IgG |
| Target Name | TMEM132B |
| Antigen Species | Human |
| Immunogen | Recombinant protein containing to human TMEM132B. |
| Conjugation | Un-conjugated |
| Alternate Names | TMEM132B; Transmembrane Protein 132B; KIAA1906; KIAA1786 |
Application Instructions
| Application Suggestion |
|
||||||||
|---|---|---|---|---|---|---|---|---|---|
| Application Note | * The dilutions indicate recommended starting dilutions and the optimal dilutions or concentrations should be determined by the scientist. | ||||||||
| Observed Size | 95 kDa |
Properties
| Form | Liquid |
|---|---|
| Purification | Affinity purification with immunogen. |
| Buffer | 0.2% Na2HPO4, 0.9% NaCl and 4% Trehalose. |
| Stabilizer | 4% Trehalose |
| Concentration | 0.5 mg/ml |
| Storage Instruction | For continuous use, store undiluted antibody at 2-8°C for up to a week. For long-term storage, aliquot and store at -20°C or below. Storage in frost free freezers is not recommended. Avoid repeated freeze/thaw cycles. Suggest spin the vial prior to opening. The antibody solution should be gently mixed before use. |
| Note | For laboratory research only, not for drug, diagnostic or other use. |
Bioinformation
| Database Links | |
|---|---|
| Gene Symbol | TMEM132B |
| Gene Full Name | Transmembrane Protein 132B |
| Background | Predicted to be located in membrane. [provided by Alliance of Genome Resources, Nov 2024] |
| Cellular Localization | Membrane. [UniProt] |
| Calculated MW | 119 kDa |
| PTM | Glycosylation. [UniProt] |
Images (4) Click the Picture to Zoom In
-
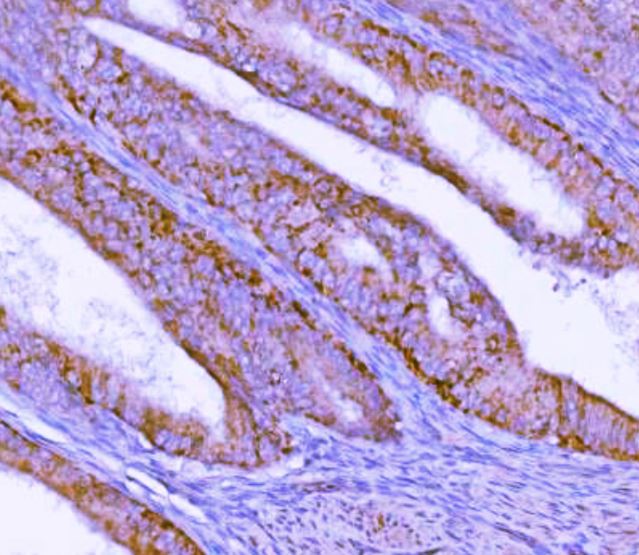
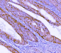
ARG45319 anti-TMEM132B antibody IHC-P image
Immunohistochemistry: Human endometrioid adenocarcinoma stained with ARG45319 anti-TMEM132B antibody at 2 μg/ml dilution.
-
ARG45319 anti-TMEM132B antibody FACS image
Flow Cytometry: Daudi stained with ARG45319 anti-TMEM132B antibody at 1 µg/10^6 cells dilution.
-
ARG45319 anti-TMEM132B antibody WB image
Western blot: Rat brain stained with ARG45319 anti-TMEM132B antibody at 0.5 μg/ml dilution.
-
ARG45319 anti-TMEM132B antibody WB image
Western blot: Mouse brain stained with ARG45319 anti-TMEM132B antibody at 0.5 μg/ml dilution.
