ARG45704
anti-TMEM255B antibody
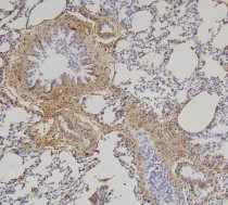
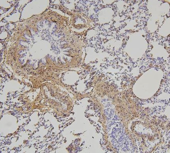
anti-TMEM255B antibody for IHC-Formalin-fixed paraffin-embedded sections,Western blot and Mouse,Rat
Overview
| Product Description | Rabbit Polyclonal antibody recognizes TMEM255B |
|---|---|
| Tested Reactivity | Ms, Rat |
| Tested Application | IHC-P, WB |
| Host | Rabbit |
| Clonality | Polyclonal |
| Isotype | IgG |
| Target Name | TMEM255B |
| Antigen Species | Mouse |
| Immunogen | Recombinant protein containing to mouse TMEM255B. |
| Conjugation | Un-conjugated |
| Alternate Names | TMEM255B; Transmembrane Protein 255B; FAM70B; Family With Sequence Similarity 70, Member B; Protein FAM70B; MGC20579 |
Application Instructions
| Application Suggestion |
|
||||||
|---|---|---|---|---|---|---|---|
| Application Note | * The dilutions indicate recommended starting dilutions and the optimal dilutions or concentrations should be determined by the scientist. | ||||||
| Observed Size | 45 kDa |
Properties
| Form | Liquid |
|---|---|
| Purification | Affinity purified |
| Buffer | 0.9% NaCl, 0.2% Na2HPO4, 0.01% Sodium azide and 4% Trehalose. |
| Preservative | 0.01% Sodium azide |
| Stabilizer | 4% Trehalose |
| Concentration | 0.5 mg/ml |
| Storage Instruction | For continuous use, store undiluted antibody at 2-8°C for up to a week. For long-term storage, aliquot and store at -20°C or below. Storage in frost free freezers is not recommended. Avoid repeated freeze/thaw cycles. Suggest spin the vial prior to opening. The antibody solution should be gently mixed before use. |
| Note | For laboratory research only, not for drug, diagnostic or other use. |
Bioinformation
| Gene Symbol | TMEM255B |
|---|---|
| Gene Full Name | Transmembrane Protein 255B |
| Background | Predicted to be located in membrane. [provided by Alliance of Genome Resources, Feb 2025] |
| Cellular Localization | Membrane. [UniProt] |
| Calculated MW | 40 kDa |
Images (2) Click the Picture to Zoom In
