ARG66408
anti-TMPO / Lap2 antibody
anti-TMPO / Lap2 antibody for IHC-Formalin-fixed paraffin-embedded sections,Western blot and Human,Mouse
Overview
| Product Description | Rabbit Polyclonal antibody recognizes TMPO / Lap2 |
|---|---|
| Tested Reactivity | Hu, Ms |
| Tested Application | IHC-P, WB |
| Host | Rabbit |
| Clonality | Polyclonal |
| Isotype | IgG |
| Target Name | TMPO / Lap2 |
| Antigen Species | Human |
| Immunogen | Synthetic peptide corresponding to aa. 1-50 of Human TMPO / Lap2. |
| Conjugation | Un-conjugated |
| Alternate Names | Splenin; Lamina-associated polypeptide 2, isoform alpha; Thymopoietin isoform alpha; PRO0868; CMD1T; LAP2; TP; TP5; TP alpha; Thymopoietin-related peptide isoform alpha; LEMD4; TPRP isoform alpha |
Application Instructions
| Application Suggestion |
|
||||||
|---|---|---|---|---|---|---|---|
| Application Note | * The dilutions indicate recommended starting dilutions and the optimal dilutions or concentrations should be determined by the scientist. | ||||||
| Observed Size | ~ 50 kDa, 80 kDa |
Properties
| Form | Liquid |
|---|---|
| Purification | Affinity purification with immunogen. |
| Buffer | PBS (pH 7.4), 0.02% Sodium azide and 50% Glycerol. |
| Preservative | 0.02% Sodium azide |
| Stabilizer | 50% Glycerol |
| Concentration | 1 mg/ml |
| Storage Instruction | For continuous use, store undiluted antibody at 2-8°C for up to a week. For long-term storage, aliquot and store at -20°C. Storage in frost free freezers is not recommended. Avoid repeated freeze/thaw cycles. Suggest spin the vial prior to opening. The antibody solution should be gently mixed before use. |
| Note | For laboratory research only, not for drug, diagnostic or other use. |
Bioinformation
| Database Links |
Swiss-port # P42166 Human Lamina-associated polypeptide 2, isoform alpha Swiss-port # Q61029 Mouse Lamina-associated polypeptide 2, isoforms beta/delta/epsilon/gamma |
|---|---|
| Gene Symbol | TMPO |
| Gene Full Name | thymopoietin |
| Background | The protein encoded by this gene resides in the nucleus and may play a role in the assembly of the nuclear lamina, and thus help maintain the structural organization of the nuclear envelope. It may function as a receptor for the attachment of lamin filaments to the inner nuclear membrane. Mutations in this gene are associated with dilated cardiomyopathy. Alternatively spliced transcript variants encoding different isoforms have been noted for this gene. [provided by RefSeq, May 2010] |
| Function | May be involved in the structural organization of the nucleus and in the post-mitotic nuclear assembly. Plays an important role, together with LMNA, in the nuclear anchorage of RB1. TP and TP5 may play a role in T-cell development and function. TP5 is an immunomodulating pentapeptide. [UniProt] |
| Cellular Localization | Nucleus. Chromosome. Note=Expressed diffusely throughout the nucleus. [UniProt] |
| Calculated MW | 75 kDa |
| PTM | Mitosis-specific phosphorylation specifically abolishes its binding to lamin B and chromosomes. Citrullinated by PADI4. [UniProt] |
Images (5) Click the Picture to Zoom In
-
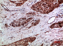
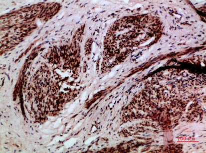
ARG66408 anti-TMPO / Lap2 antibody IHC-P image
Immunohistochemistry: Paraffin-embedded Human cervical cancer stained with ARG66408 anti-TMPO / Lap2 antibody at 1:200 dilution.
-
ARG66408 anti-TMPO / Lap2 antibody WB image
Western blot: Mouse kidney and HepG2 lysates stained with ARG66408 anti-TMPO / Lap2 antibody at 1:800 dilution.
-
ARG66408 anti-TMPO / Lap2 antibody IHC-P image
Immunohistochemistry: Paraffin-embedded Human cervical cancer stained with ARG66408 anti-TMPO / Lap2 antibody at 1:200 dilution.
-
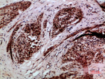
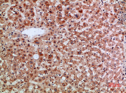
ARG66408 anti-TMPO / Lap2 antibody IHC-P image
Immunohistochemistry: Paraffin-embedded Human liver stained with ARG66408 anti-TMPO / Lap2 antibody at 1:200 dilution.
-
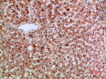
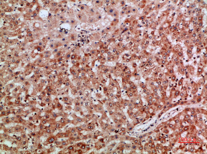
ARG66408 anti-TMPO / Lap2 antibody IHC-P image
Immunohistochemistry: Paraffin-embedded Human liver stained with ARG66408 anti-TMPO / Lap2 antibody at 1:200 dilution.
