ARG45254
anti-TMPRSS13 antibody
anti-TMPRSS13 antibody for Flow cytometry,IHC-Formalin-fixed paraffin-embedded sections,Western blot and Human
Overview
| Product Description | Polyclonal antibody recognizes TMPRSS13 |
|---|---|
| Tested Reactivity | Hu |
| Tested Application | FACS, IHC-P, WB |
| Host | Rabbit |
| Clonality | Polyclonal |
| Isotype | IgG |
| Target Name | TMPRSS13 |
| Antigen Species | Human |
| Immunogen | Recombinant protein containing to human TMPRSS13. |
| Conjugation | Un-conjugated |
| Alternate Names | TMPRSS13; Transmembrane Serine Protease 13; Membrane-Type Mosaic Serine Protease; TMPRSS11; MSPL; MSPS; Transmembrane Protease, Serine 11; Transmembrane Protease, Serine 13; Transmembrane Protease Serine 13; MSP; Mosaic Serine Protease; EC 3.4.21.109; EC 3.4.21.-; EC 3.4.21 |
Application Instructions
| Application Suggestion |
|
||||||||
|---|---|---|---|---|---|---|---|---|---|
| Application Note | * The dilutions indicate recommended starting dilutions and the optimal dilutions or concentrations should be determined by the scientist. | ||||||||
| Observed Size | 63 kDa |
Properties
| Form | Liquid |
|---|---|
| Purification | Affinity purification with immunogen. |
| Buffer | 0.2% Na2HPO4, 0.9% NaCl and 4% Trehalose. |
| Stabilizer | 4% Trehalose |
| Concentration | 0.5 mg/ml |
| Storage Instruction | For continuous use, store undiluted antibody at 2-8°C for up to a week. For long-term storage, aliquot and store at -20°C or below. Storage in frost free freezers is not recommended. Avoid repeated freeze/thaw cycles. Suggest spin the vial prior to opening. The antibody solution should be gently mixed before use. |
| Note | For laboratory research only, not for drug, diagnostic or other use. |
Bioinformation
| Database Links | |
|---|---|
| Gene Symbol | TMPRSS13 |
| Gene Full Name | Transmembrane Serine Protease 13 |
| Background | This gene encodes a member of the type II transmembrane serine protease family. The encoded protein contains a type II transmembrane domain, a receptor class A domain, a scavenger receptor cysteine-rich domain and a protease domain. Transmembrane serine proteases are regulated by protease inhibitors and known to function in development, homeostasis, infection, and tumorigenesis. This protein facilitates entry of viruses into host cells by proteolytically cleaving and activating viral envelope glycoproteins [provided by RefSeq, Aug 2021] |
| Function | Cleaves the proform of PRSS8/prostasin to form the active protein. [UniProt] |
| Cellular Localization | Cell membrane; Cytoplasm; Membrane; Secreted. [UniProt] |
| Calculated MW | 63 kDa |
| PTM | Disulfide bond; Glycoprotein. [UniProt] |
Images (3) Click the Picture to Zoom In
-
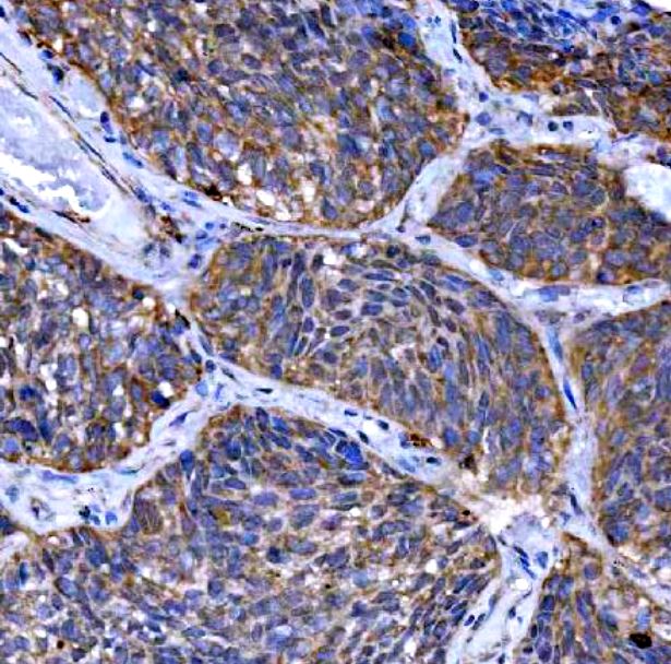
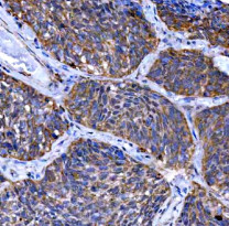
ARG45254 anti-TMPRSS13 antibody IHC-P image
Immunohistochemistry: Human esophageal squamous carcinoma stained with ARG45254 anti-TMPRSS13 antibody at 2 μg/ml dilution.
-
ARG45254 anti-TMPRSS13 antibody WB image
Western blot: LNCAP and A431 stained with ARG45254 anti-TMPRSS13 antibody at 0.5 μg/ml dilution.
-
ARG45254 anti-TMPRSS13 antibody FACS image
Flow Cytometry: MCF-7 stained with ARG45254 anti-TMPRSS13 antibody at 1 µg/10^6 cells dilution.
