ARG57504
anti-TOMM20 antibody [1B2]
anti-TOMM20 antibody [1B2] for Flow cytometry,ICC/IF,Western blot and Human
Overview
| Product Description | Mouse Monoclonal antibody [1B2] recognizes TOMM20 |
|---|---|
| Tested Reactivity | Hu |
| Tested Application | FACS, ICC/IF, WB |
| Host | Mouse |
| Clonality | Monoclonal |
| Clone | 1B2 |
| Isotype | IgG1, kappa |
| Target Name | TOMM20 |
| Antigen Species | Human |
| Immunogen | Recombinant Human TOMM20 (aa. 25-145) purified from E. coli. |
| Conjugation | Un-conjugated |
| Alternate Names | Outer mitochondrial membrane receptor Tom20; MAS20; Mitochondrial 20 kDa outer membrane protein; MOM19; Mitochondrial import receptor subunit TOM20 homolog; TOM20 |
Application Instructions
| Application Suggestion |
|
||||||||
|---|---|---|---|---|---|---|---|---|---|
| Application Note | * The dilutions indicate recommended starting dilutions and the optimal dilutions or concentrations should be determined by the scientist. |
Properties
| Form | Liquid |
|---|---|
| Purification | Purification with Protein A. |
| Buffer | PBS (pH 7.4), 0.02% Sodium azide and 10% Glycerol. |
| Preservative | 0.02% Sodium azide |
| Stabilizer | 10% Glycerol |
| Concentration | 1 mg/ml |
| Storage Instruction | For continuous use, store undiluted antibody at 2-8°C for up to a week. For long-term storage, aliquot and store at -20°C. Storage in frost free freezers is not recommended. Avoid repeated freeze/thaw cycles. Suggest spin the vial prior to opening. The antibody solution should be gently mixed before use. |
| Note | For laboratory research only, not for drug, diagnostic or other use. |
Bioinformation
| Database Links |
Swiss-port # Q15388 Human Mitochondrial import receptor subunit TOM20 homolog |
|---|---|
| Gene Symbol | TOMM20 |
| Gene Full Name | translocase of outer mitochondrial membrane 20 homolog (yeast) |
| Function | Central component of the receptor complex responsible for the recognition and translocation of cytosolically synthesized mitochondrial preproteins. Together with TOM22 functions as the transit peptide receptor at the surface of the mitochondrion outer membrane and facilitates the movement of preproteins into the TOM40 translocation pore (By similarity). [UniProt] |
| Calculated MW | 16 kDa |
| PTM | Ubiquitinated by PRKN during mitophagy, leading to its degradation and enhancement of mitophagy. Deubiquitinated by USP30. |
Images (3) Click the Picture to Zoom In
-
ARG57504 anti-TOMM20 antibody [1B2] ICC/IF image
Immunoflorescense: HeLa cells stained with ARG57504 anti-TOMM20 antibody [1B2] at 1:100 dilution. The secondary antibody (green) was used Alexa Fluor 488. DAPI was stained the cell nucleus (blue).
-
ARG57504 anti-TOMM20 antibody [1B2] FACS image
Flow Cytometry: HeLa cells stained with ARG57504 anti-TOMM20 antibody [1B2] at 2 - 5 µg/10^6 cells (red). Goat-anti Mouse IgG (Alexa fluor 488) was used as the secondary antibody. Mouse monoclonal IgG was used as the isotype control (dark gray), cells without incubation with primary and secondary antibody was used as the negative control (light gray).
-
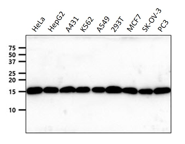
ARG57504 anti-TOMM20 antibody [1B2] WB image
Western blot: 40 µg of HeLa, HepG2, A431, K562, A549, 293T, MCF7, SK-OV-3 and PC3 cell lysates stained with ARG57504 anti-TOMM20 antibody [1B2] at 1:1000 dilution.

