ARG56911
anti-TPD52L1 / D53 antibody [d1C5]
anti-TPD52L1 / D53 antibody [d1C5] for Flow cytometry,IHC-Formalin-fixed paraffin-embedded sections and Human
Overview
| Product Description | Mouse Monoclonal antibody [d1C5] recognizes TPD52L1 / D53 |
|---|---|
| Tested Reactivity | Hu |
| Tested Application | FACS, IHC-P |
| Host | Mouse |
| Clonality | Monoclonal |
| Clone | d1C5 |
| Isotype | IgG2b, kappa |
| Target Name | TPD52L1 / D53 |
| Antigen Species | Human |
| Immunogen | Recombinant fragment around aa. 1-131 of Human TPD52L1 / D53. |
| Conjugation | Un-conjugated |
| Alternate Names | Tumor protein D53; Tumor protein D52-like 1; D53; hD53 |
Application Instructions
| Application Suggestion |
|
||||||
|---|---|---|---|---|---|---|---|
| Application Note | * The dilutions indicate recommended starting dilutions and the optimal dilutions or concentrations should be determined by the scientist. |
Properties
| Form | Liquid |
|---|---|
| Purification | Purification with Protein G. |
| Buffer | PBS (pH 7.4), 0.02% Sodium azide and 10% Glycerol. |
| Preservative | 0.02% Sodium azide |
| Stabilizer | 10% Glycerol |
| Concentration | 1 mg/ml |
| Storage Instruction | For continuous use, store undiluted antibody at 2-8°C for up to a week. For long-term storage, aliquot and store at -20°C. Storage in frost free freezers is not recommended. Avoid repeated freeze/thaw cycles. Suggest spin the vial prior to opening. The antibody solution should be gently mixed before use. |
| Note | For laboratory research only, not for drug, diagnostic or other use. |
Bioinformation
| Database Links | |
|---|---|
| Gene Symbol | TPD52L1 |
| Gene Full Name | tumor protein D52-like 1 |
| Background | This gene encodes a member of the tumor protein D52 (TPD52) family. The encoded protein contains a coiled-coil domain and may form homo- or hetero-dimer with TPD52 family members. The protein is reported to be involved in cell proliferation and calcium signaling. It also interacts with the mitogen-activated protein kinase kinase kinase 5 (MAP3K5/ASK1) and positively regulates MAP3K5-induced apoptosis. Multiple alternatively spliced transcript variants have been observed, but the full-length nature of some variants has not yet been determined. [provided by RefSeq, Jul 2008] |
| Calculated MW | 22 kDa |
Images (2) Click the Picture to Zoom In
-
ARG56911 anti-TPD52L1 / D53 antibody [d1C5] FACS image
Flow Cytometry: A431 cell line stained with ARG56911 anti-TPD52L1 / D53 antibody [d1C5] at 2-5 µg for 1x10^6 cells (red line). Secondary antibody: Goat anti-Mouse IgG Alexa fluor 488 conjugate. Isotype control antibody was Mouse IgG (black line).
-
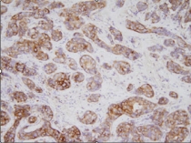
ARG56911 anti-TPD52L1 / D53 antibody [d1C5] IHC-P image
Immunohistochemistry: Paraffin-embedded sections of Human gastric cancer tissues stained with ARG56911 anti-TPD52L1 / D53 antibody [d1C5] at 1:200 for o/n at RT.
