ARG64295
anti-TPD52L2 / D54 antibody
anti-TPD52L2 / D54 antibody for IHC-Formalin-fixed paraffin-embedded sections,Western blot and Human
Cancer antibody; Cell Biology and Cellular Response antibody
Overview
| Product Description | Goat Polyclonal antibody recognizes TPD52L2 / D54 |
|---|---|
| Tested Reactivity | Hu |
| Tested Application | IHC-P, WB |
| Specificity | This antibody is expected to recognise all reported isoforms (NP_955392.1; NP_955393.1; NP_955394.1; NP_955395.1; NP_003279.2; NP_955391.1). |
| Host | Goat |
| Clonality | Polyclonal |
| Isotype | IgG |
| Target Name | TPD52L2 / D54 |
| Antigen Species | Human |
| Immunogen | C-SGDKPLSDPAP |
| Conjugation | Un-conjugated |
| Alternate Names | Tumor protein D52-like 2; hD54; D54; Tumor protein D54; TPD54 |
Application Instructions
| Application Suggestion |
|
||||||
|---|---|---|---|---|---|---|---|
| Application Note | WB: Recommend incubate at RT for 1h. IHC-P: Antigen Retrieval: Steam tissue section in Citrate buffer (pH 6.0). * The dilutions indicate recommended starting dilutions and the optimal dilutions or concentrations should be determined by the scientist. |
Properties
| Form | Liquid |
|---|---|
| Purification | Purified from goat serum by antigen affinity chromatography. |
| Buffer | Tris saline (pH 7.3), 0.02% Sodium azide and 0.5% BSA. |
| Preservative | 0.02% Sodium azide |
| Stabilizer | 0.5% BSA |
| Concentration | 0.5 mg/ml |
| Storage Instruction | For continuous use, store undiluted antibody at 2-8°C for up to a week. For long-term storage, aliquot and store at -20°C or below. Storage in frost free freezers is not recommended. Avoid repeated freeze/thaw cycles. Suggest spin the vial prior to opening. The antibody solution should be gently mixed before use. |
| Note | For laboratory research only, not for drug, diagnostic or other use. |
Bioinformation
| Database Links | |
|---|---|
| Background | This gene encodes a member of the tumor protein D52-like family. These proteins are characterized by an N-terminal coiled-coil motif that is used to form homo- and heteromeric complexes with other tumor protein D52-like proteins. Expression of this gene may be a marker for breast cancer and acute lymphoblastic leukemia. Alternatively spliced transcript variants encoding multiple isoforms have been observed for this gene, and a pseudogene of this gene is located on the long arm of chromosome 12. [provided by RefSeq, Aug 2011] |
| Research Area | Cancer antibody; Cell Biology and Cellular Response antibody |
| Calculated MW | 22 kDa |
Images (4) Click the Picture to Zoom In
-
ARG64295 anti-TPD52L2 / D54 antibody WB image
Western Blot: Human Breast Cancer lysate (35 µg protein in RIPA buffer) stained with ARG64295 anti-TPD52L2 / D54 antibody at 0.1 µg/ml dilution.
-
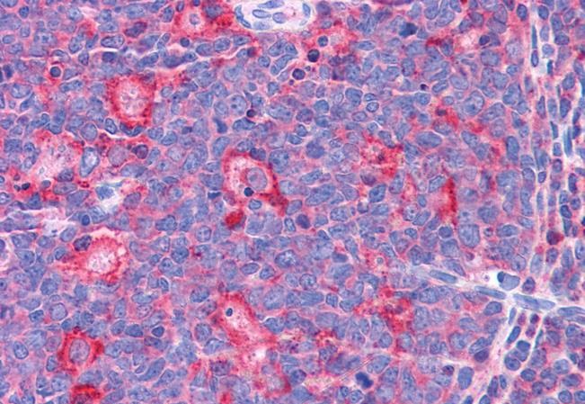
ARG64295 anti-TPD52L2 / D54 antibody IHC-P image
Immunohistochemistry: Paraffin-embedded Human spleen tissue. Antigen Retrieval: Steam tissue section in Citrate buffer (pH 6.0). The tissue section was stained with ARG64295 anti-TPD52L2 / D54 antibody at 3.75 µg/ml dilution followed by AP-staining.
-
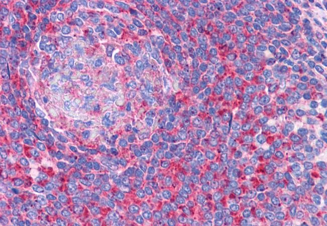
ARG64295 anti-TPD52L2 / D54 antibody IHC-P image
Immunohistochemistry: Paraffin-embedded Human tonsil tissue. Antigen Retrieval: Steam tissue section in Citrate buffer (pH 6.0). The tissue section was stained with ARG64295 anti-TPD52L2 / D54 antibody at 3.75 µg/ml dilution followed by AP-staining.
-
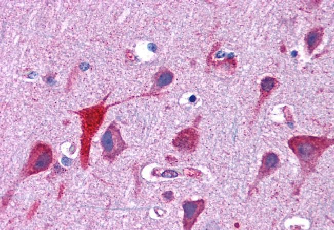
ARG64295 anti-TPD52L2 / D54 antibody IHC-P image
Immunohistochemistry: Paraffin-embedded Human cortex tissue. Antigen Retrieval: Steam tissue section in Citrate buffer (pH 6.0). The tissue section was stained with ARG64295 anti-TPD52L2 / D54 antibody at 3.75 µg/ml dilution followed by AP-staining.
