ARG64028
anti-TPTE / PTEN2 antibody
anti-TPTE / PTEN2 antibody for IHC-Formalin-fixed paraffin-embedded sections,Western blot and Human
Cancer antibody; Cell Biology and Cellular Response antibody; Signaling Transduction antibody
Overview
| Product Description | Goat Polyclonal antibody recognizes TPTE / PTEN2 |
|---|---|
| Tested Reactivity | Hu |
| Tested Application | IHC-P, WB |
| Specificity | This antibody is expected to recognise all reported isoforms (NP_954870.2, NP_954868.1 and NP_954869.1). It may cross-react with the almost identical TPTE2 (GeneID 93492; NP_570141.2, NP_954864.1, NP_954863.1). |
| Host | Goat |
| Clonality | Polyclonal |
| Isotype | IgG |
| Target Name | TPTE / PTEN2 |
| Antigen Species | Human |
| Immunogen | C-ERRTDKTHSEKFQ |
| Conjugation | Un-conjugated |
| Alternate Names | Putative tyrosine-protein phosphatase TPTE; Tumor antigen BJ-HCC-5; PTEN2; Transmembrane phosphatase with tensin homology; CT44; EC 3.1.3.48; Cancer/testis antigen 44 |
Application Instructions
| Application Suggestion |
|
||||||
|---|---|---|---|---|---|---|---|
| Application Note | WB: Recommend incubate at RT for 1h. IHC-P: Antigen Retrieval: Steam tissue section in Citrate buffer (pH 6.0). * The dilutions indicate recommended starting dilutions and the optimal dilutions or concentrations should be determined by the scientist. |
Properties
| Form | Liquid |
|---|---|
| Purification | Purified from goat serum by antigen affinity chromatography. |
| Buffer | Tris saline (pH 7.3), 0.02% Sodium azide and 0.5% BSA. |
| Preservative | 0.02% Sodium azide |
| Stabilizer | 0.5% BSA |
| Concentration | 0.5 mg/ml |
| Storage Instruction | For continuous use, store undiluted antibody at 2-8°C for up to a week. For long-term storage, aliquot and store at -20°C or below. Storage in frost free freezers is not recommended. Avoid repeated freeze/thaw cycles. Suggest spin the vial prior to opening. The antibody solution should be gently mixed before use. |
| Note | For laboratory research only, not for drug, diagnostic or other use. |
Bioinformation
| Database Links |
Swiss-port # P56180 Human Putative tyrosine-protein phosphatase TPTE |
|---|---|
| Background | This gene encodes a PTEN-related tyrosine phosphatase which may play a role in the signal transduction pathways of the endocrine or spermatogenic function of the testis. Alternative splicing results in multiple transcript variants. [provided by RefSeq, Mar 2014] |
| Research Area | Cancer antibody; Cell Biology and Cellular Response antibody; Signaling Transduction antibody |
| Calculated MW | 64 kDa |
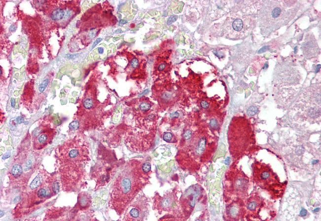
Images (2) Click the Picture to Zoom In
-
ARG64028 anti-TPTE / PTEN2 antibody WB image
Western Blot: Human Testis lysate (35 µg protein in RIPA buffer) stained with ARG64028 anti-TPTE / PTEN2 antibody at 1 µg/ml dilution.
-
ARG64028 anti-TPTE / PTEN2 antibody IHC-P image
Immunohistochemistry: Paraffin-embedded Human adrenal gland tissue. Antigen Retrieval: Steam tissue section in Citrate buffer (pH 6.0). The tissue section was stained with ARG64028 anti-TPTE / PTEN2 antibody at 2.5 µg/ml dilution followed by AP-staining.
