ARG41096
anti-TRAF5 antibody
anti-TRAF5 antibody for IHC-Formalin-fixed paraffin-embedded sections,Western blot and Human
Overview
| Product Description | Rabbit Polyclonal antibody recognizes TRAF5 |
|---|---|
| Tested Reactivity | Hu |
| Tested Application | IHC-P, WB |
| Host | Rabbit |
| Clonality | Polyclonal |
| Isotype | IgG |
| Target Name | TRAF5 |
| Antigen Species | Human |
| Immunogen | Fusion protein of Human TRAF5. |
| Conjugation | Un-conjugated |
| Alternate Names | TNF receptor-associated factor 5; RING finger protein 84; MGC:39780; RNF84 |
Application Instructions
| Application Suggestion |
|
||||||
|---|---|---|---|---|---|---|---|
| Application Note | * The dilutions indicate recommended starting dilutions and the optimal dilutions or concentrations should be determined by the scientist. | ||||||
| Positive Control | IHC-P: Human lung cancer and human thyroid cancer. WB: Jurkat. |
||||||
| Observed Size | 64 kDa |
Properties
| Form | Liquid |
|---|---|
| Purification | Affinity purified. |
| Buffer | PBS (pH 7.4), 0.05% Sodium azide and 40% Glycerol. |
| Preservative | 0.05% Sodium azide |
| Stabilizer | 40% Glycerol |
| Concentration | 0.9 mg/ml |
| Storage Instruction | For continuous use, store undiluted antibody at 2-8°C for up to a week. For long-term storage, aliquot and store at -20°C. Storage in frost free freezers is not recommended. Avoid repeated freeze/thaw cycles. Suggest spin the vial prior to opening. The antibody solution should be gently mixed before use. |
| Note | For laboratory research only, not for drug, diagnostic or other use. |
Bioinformation
| Database Links | |
|---|---|
| Gene Symbol | TRAF5 |
| Gene Full Name | TNF receptor-associated factor 5 |
| Background | The scaffold protein encoded by this gene is a member of the tumor necrosis factor receptor-associated factor (TRAF) protein family and contains a meprin and TRAF homology (MATH) domain, a RING-type zinc finger, and two TRAF-type zinc fingers. TRAF proteins are associated with, and mediate signal transduction from members of the TNF receptor superfamily. This protein is one of the components of a multiple protein complex which binds to tumor necrosis factor (TNF) receptor cytoplasmic domains and mediates TNF-induced activation. Alternate transcriptional splice variants have been characterized. [provided by RefSeq, Jul 2008] |
| Function | Adapter protein and signal transducer that links members of the tumor necrosis factor receptor family to different signaling pathways by association with the receptor cytoplasmic domain and kinases. Mediates activation of NF-kappa-B and probably JNK. Seems to be involved in apoptosis. Plays a role in mediating activation of NF-kappa-B by EIF2AK2/PKR. [UniProt] |
| Cellular Localization | Cytoplasm. Cytoplasm, cytosol. [UniProt] |
| Calculated MW | 64 kDa |
Images (3) Click the Picture to Zoom In
-
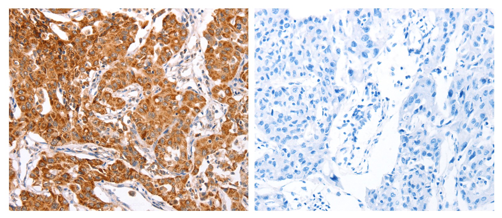
ARG41096 anti-TRAF5 antibody IHC-P image
Immunohistochemistry: Paraffin-embedded Human lung cancer tissue stained with ARG41096 anti-TRAF5 antibody (left) at 1:30 dilution, or the same antibody pre-incubated with antigen (right). (Original magnification: X200)
-
ARG41096 anti-TRAF5 antibody WB image
Western blot: Jurkat cell lysate stained with ARG41096 anti-TRAF5 antibody at 1:450 dilution.
-
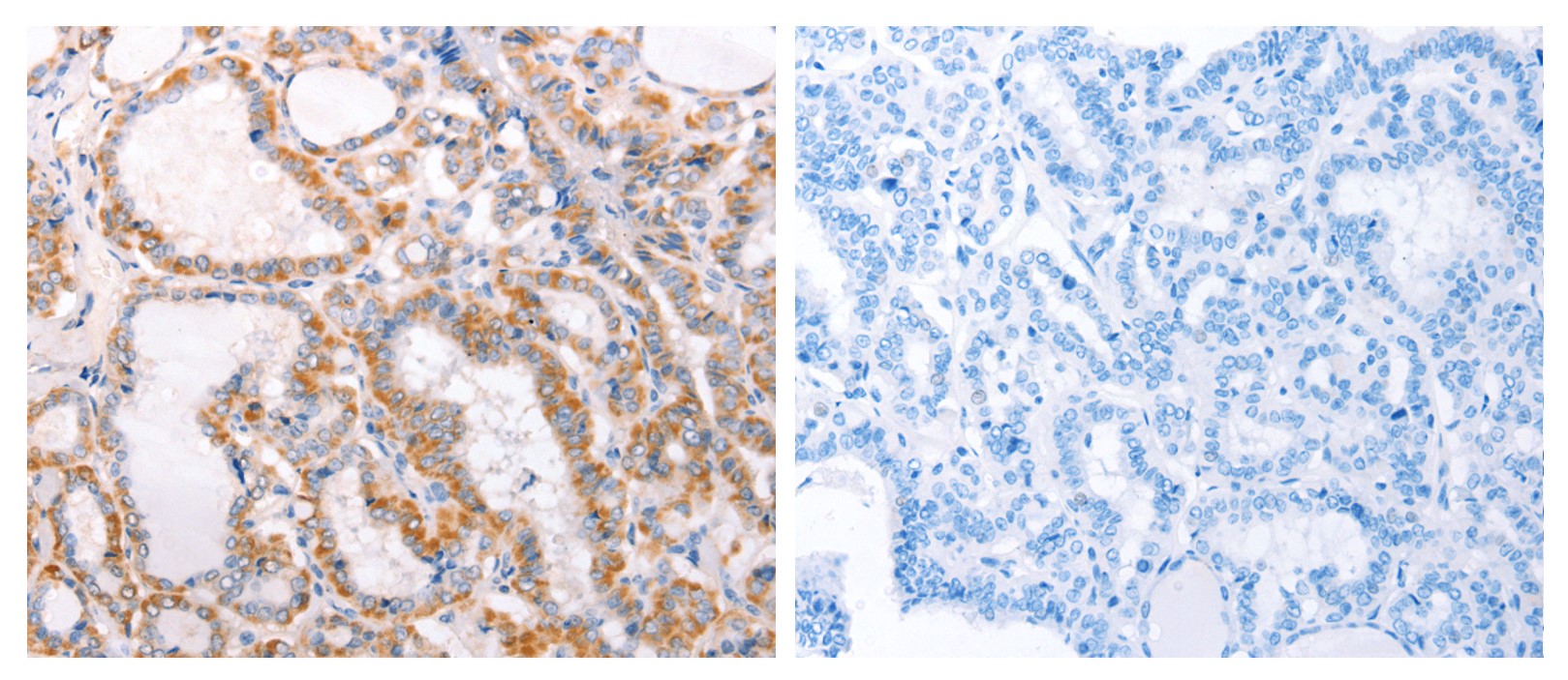
ARG41096 anti-TRAF5 antibody IHC-P image
Immunohistochemistry: Paraffin-embedded Human thyroid cancer tissue stained with ARG41096 anti-TRAF5 antibody (left) at 1:30 dilution, or the same antibody pre-incubated with antigen (right). (Original magnification: X200)
