ARG44757
anti-TRAFD1 antibody
anti-TRAFD1 antibody for IHC-Formalin-fixed paraffin-embedded sections,Immunoprecipitation,Western blot and Human
Overview
| Product Description | Mouse Monoclonal antibody recognizes TRAFD1 |
|---|---|
| Tested Reactivity | Hu |
| Tested Application | IHC-P, IP, WB |
| Host | Mouse |
| Clonality | Monoclonal |
| Isotype | IgG1 |
| Target Name | TRAFD1 |
| Antigen Species | Human |
| Conjugation | Un-conjugated |
| Alternate Names | TRAF-type zinc finger domain-containing protein 1; FLN29; Protein FLN29 |
Application Instructions
| Application Suggestion |
|
||||||||
|---|---|---|---|---|---|---|---|---|---|
| Application Note | * The dilutions indicate recommended starting dilutions and the optimal dilutions or concentrations should be determined by the scientist. |
Properties
| Form | Liquid |
|---|---|
| Purification | Protein A purification |
| Buffer | PBS with 0.09% sodium azide |
| Storage Instruction | For continuous use, store undiluted antibody at 2-8°C for up to a week. For long-term storage, aliquot and store at -20°C or below. Storage in frost free freezers is not recommended. Avoid repeated freeze/thaw cycles. Suggest spin the vial prior to opening. The antibody solution should be gently mixed before use. |
| Note | For laboratory research only, not for drug, diagnostic or other use. |
Bioinformation
| Database Links |
Swiss-port # O14545 Human TRAF-type zinc finger domain-containing protein 1 |
|---|---|
| Gene Symbol | TRAFD1 |
| Gene Full Name | TRAF-type zinc finger domain containing 1 |
| Background | The innate immune system confers host defense against viral and microbial infection, and TRAFD1 is a negative feedback regulator that controls excessive immune responses (Sanada et al., 2008 [PubMed 18849341]).[supplied by OMIM, Dec 2009] |
| Function | Regulates pathways leading to the activation of NF-kappa-B and MAP kinases, and plays a central role in the regulation of B-cell survival. Part of signaling pathways leading to the production of cytokines and interferon. Required for normal antibody isotype switching from IgM to IgG. Plays a role T-cell dependent immune responses. Plays a role in the regulation of antiviral responses. Is an essential constituent of several E3 ubiquitin-protein ligase complexes. May have E3 ubiquitin-protein ligase activity and promote 'Lys-63'-linked ubiquitination of target proteins. Inhibits activation of NF-kappa-B in response to LTBR stimulation. Inhibits TRAF2-mediated activation of NF-kappa-B. Down-regulates proteolytic processing of NFKB2, and thereby inhibits non-canonical activation of NF-kappa-B. Promotes ubiquitination and proteasomal degradation of MAP3K14. [UniProt] |
| Calculated MW | 64 kDa |
Images (3) Click the Picture to Zoom In
-
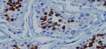
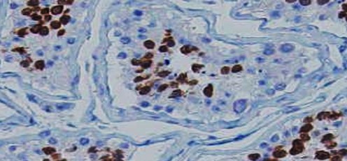
ARG44757 anti-TRAFD1 antibody IHC-P image
Immunohistochemistry: Human testis stained with ARG44757 anti-TRAFD1 antibody at 2.5 µg/mL dilution.
-
ARG44757 anti-TRAFD1 antibody WB image
Western blot: K562 stained with ARG44757 anti-TRAFD1 antibody at 1 µg/mL dilution.
-
ARG44757 anti-TRAFD1 antibody IP image
Immunoprecipitation: K562 lysate immunoprecipitated with 2.5 µg of ARG44757 anti-TRAFD1 antibody.
