ARG43044
anti-TRIB2 antibody
anti-TRIB2 antibody for IHC-Formalin-fixed paraffin-embedded sections,Western blot and Human,Mouse,Rat
Overview
| Product Description | Rabbit Polyclonal antibody recognizes TRIB2 |
|---|---|
| Tested Reactivity | Hu, Ms, Rat |
| Tested Application | IHC-P, WB |
| Host | Rabbit |
| Clonality | Polyclonal |
| Isotype | IgG |
| Target Name | TRIB2 |
| Antigen Species | Human |
| Immunogen | Synthetic peptide corresponding to aa. 175-211 of Human TRIB2. (DLKLRKFIFKDEERTRVKLESLEDAYILRGDDDSLSD) |
| Conjugation | Un-conjugated |
| Alternate Names | TRB-2; GS3955; Tribbles homolog 2; C5FW; TRB2 |
Application Instructions
| Application Suggestion |
|
||||||
|---|---|---|---|---|---|---|---|
| Application Note | * The dilutions indicate recommended starting dilutions and the optimal dilutions or concentrations should be determined by the scientist. |
Properties
| Form | Liquid |
|---|---|
| Purification | Affinity purification with immunogen. |
| Buffer | 0.2% Na2HPO4, 0.9% NaCl, 0.05% Sodium azide and 5% BSA. |
| Preservative | 0.05% Sodium azide |
| Stabilizer | 5% BSA |
| Concentration | 0.5 mg/ml |
| Storage Instruction | For continuous use, store undiluted antibody at 2-8°C for up to a week. For long-term storage, aliquot and store at -20°C or below. Storage in frost free freezers is not recommended. Avoid repeated freeze/thaw cycles. Suggest spin the vial prior to opening. The antibody solution should be gently mixed before use. |
| Note | For laboratory research only, not for drug, diagnostic or other use. |
Bioinformation
| Database Links | |
|---|---|
| Gene Symbol | TRIB2 |
| Gene Full Name | tribbles pseudokinase 2 |
| Background | This gene encodes one of three members of the Tribbles family. The Tribbles members share a Trb domain, which is homologous to protein serine-threonine kinases, but lacks the active site lysine and probably lacks a catalytic function. The Tribbles proteins interact and modulate the activity of signal transduction pathways in a number of physiological and pathological processes. This Tribbles member induces apoptosis of cells mainly of the hematopoietic origin. It has been identified as a protein up-regulated by inflammatory stimuli in myeloid (THP-1) cells, and also as an oncogene that inactivates the transcription factor C/EBPalpha (CCAAT/enhancer-binding protein alpha) and causes acute myelogenous leukemia. Alternatively spliced transcript variants have been found for this gene. [provided by RefSeq, Mar 2009] |
| Function | Interacts with MAPK kinases and regulates activation of MAP kinases. Does not display kinase activity (By similarity). [UniProt] |
| Cellular Localization | Cytoplasm. Cytoplasm, cytoskeleton. Note=May associate with the cytoskeleton. [UniProt] |
| Calculated MW | 39 kDa |
Images (4) Click the Picture to Zoom In
-
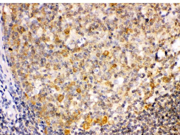
ARG43044 anti-TRIB2 antibody IHC-P image
Immunohistochemistry: Paraffin-embedded Human tonsil tissue stained with ARG43044 anti-TRIB2 antibody at 1 µg/ml dilution.
-
ARG43044 anti-TRIB2 antibody WB image
Western blot: SW620 whole cell lysate stained with ARG43044 anti-TRIB2 antibody at 0.5 µg/ml dilution.
-
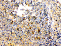
ARG43044 anti-TRIB2 antibody IHC-P image
Immunohistochemistry: Paraffin-embedded Rat spleen tissue stained with ARG43044 anti-TRIB2 antibody at 1 µg/ml dilution.
-
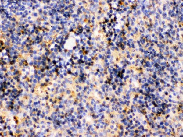
ARG43044 anti-TRIB2 antibody IHC-P image
Immunohistochemistry: Paraffin-embedded Mouse spleen tissue stained with ARG43044 anti-TRIB2 antibody at 1 µg/ml dilution.
