ARG54665
anti-TRIM71 antibody
anti-TRIM71 antibody for ELISA,ICC/IF,IHC-Formalin-fixed paraffin-embedded sections,Western blot and Human,Mouse,Rat
Cell Biology and Cellular Response antibody; Developmental Biology antibody; Gene Regulation antibody
Overview
| Product Description | Rabbit Polyclonal antibody recognizes TRIM71 |
|---|---|
| Tested Reactivity | Hu, Ms, Rat |
| Tested Application | ELISA, ICC/IF, IHC-P, WB |
| Host | Rabbit |
| Clonality | Polyclonal |
| Isotype | IgG |
| Target Name | TRIM71 |
| Immunogen | Synthetic peptide (15 aa) within aa. 680-730 of Human TRIM71. |
| Conjugation | Un-conjugated |
| Alternate Names | EC 6.3.2.-; Tripartite motif-containing protein 71; Protein lin-41 homolog; LIN-41; LIN41; E3 ubiquitin-protein ligase TRIM71 |
Application Instructions
| Application Suggestion |
|
||||||||||
|---|---|---|---|---|---|---|---|---|---|---|---|
| Application Note | * The dilutions indicate recommended starting dilutions and the optimal dilutions or concentrations should be determined by the scientist. | ||||||||||
| Positive Control | Human Brain Tissue Lysate |
Properties
| Form | Liquid |
|---|---|
| Purification | Affinity purification with immunogen. |
| Buffer | PBS and 0.02% Sodium azide |
| Preservative | 0.02% Sodium azide |
| Concentration | 1 mg/ml |
| Storage Instruction | For continuous use, store undiluted antibody at 2-8°C for up to a week. For long-term storage, aliquot and store at -20°C or below. Storage in frost free freezers is not recommended. Avoid repeated freeze/thaw cycles. Suggest spin the vial prior to opening. The antibody solution should be gently mixed before use. |
| Note | For laboratory research only, not for drug, diagnostic or other use. |
Bioinformation
| Database Links | |
|---|---|
| Gene Symbol | TRIM71 |
| Gene Full Name | tripartite motif containing 71, E3 ubiquitin protein ligase |
| Background | TRIM71 Antibody: TRIM71 is the mammalian ortholog to the C. elegans heterochronic protein Lin41, a protein that is thought to be important in postembryonic development, and is genetically and biochemically downstream of both Shh and Fgf signaling pathways. Similar to its C. elegans homolog, TRIM71 is a target of the microRNA let-7 and is likely to play a role in mammalian development. Recent experiments have indicated that TRIM71 is an E3 ubiquitin ligase and can interact with the Dicer and the Argonaute proteins Ago1, Ago2, and Ago4. Overexpression and depletion of TRIM71 led to inverse changes in Ago2 protein levels, suggesting TRIM71 can regulate Ago2 turnover. Finally, TRIM71 cooperates with the pluripotency factor Lin-28 in regulating let-7. | |
| Research Area | Cell Biology and Cellular Response antibody; Developmental Biology antibody; Gene Regulation antibody |
| Calculated MW | 93 kDa |
| PTM | Autoubiquitinated. |
Images (3) Click the Picture to Zoom In
-
ARG54665 anti-TRIM71 antibody ICC/IF image
Immunofluorescence: human brain cells stained with ARG54665 anti-TRIM71 antibody at 20 μg/ml.
-
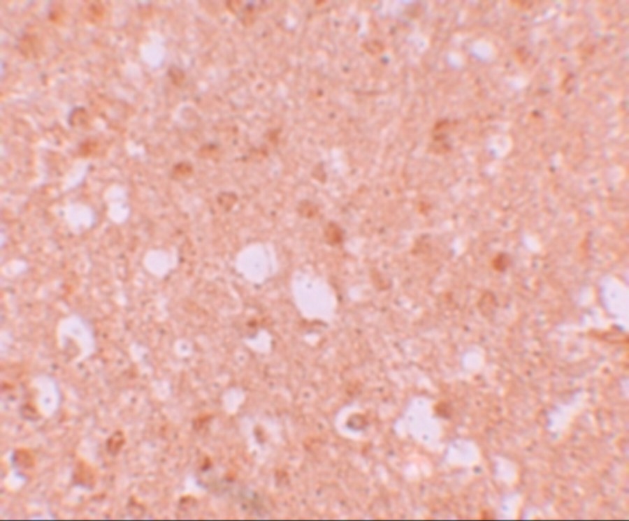
ARG54665 anti-TRIM71 antibody IHC image
Immunohistochemistry: human brain tissue stained with ARG54665 anti-TRIM71 antibody at 5 μg/ml.
-
ARG54665 anti-TRIM71 antibody WB image
Western blot: human brain tissue lysate stained with ARG54665 anti-TRIM71 antibody at (A) 1 and (B) 2 μg/ml.
