ARG40780
anti-TRPM5 antibody
anti-TRPM5 antibody for IHC-Formalin-fixed paraffin-embedded sections,Western blot and Human,Mouse,Rat
Overview
| Product Description | Rabbit Polyclonal antibody recognizes TRPM5 |
|---|---|
| Tested Reactivity | Hu, Ms, Rat |
| Tested Application | IHC-P, WB |
| Host | Rabbit |
| Clonality | Polyclonal |
| Isotype | IgG |
| Target Name | TRPM5 |
| Antigen Species | Human |
| Immunogen | Recombinant protein corresponding to S1021-Q1108 of Human TRPM5. |
| Conjugation | Un-conjugated |
| Alternate Names | LTrpC5; Transient receptor potential cation channel subfamily M member 5; LTRPC5; MTR1; MLSN1- and TRP-related gene 1 protein; LTrpC-5; Long transient receptor potential channel 5 |
Application Instructions
| Application Suggestion |
|
||||||
|---|---|---|---|---|---|---|---|
| Application Note | * The dilutions indicate recommended starting dilutions and the optimal dilutions or concentrations should be determined by the scientist. | ||||||
| Observed Size | 130 kDa |
Properties
| Form | Liquid |
|---|---|
| Purification | Affinity purification with immunogen. |
| Buffer | 0.2% Na2HPO4, 0.9% NaCl, 0.05% Sodium azide and 5% BSA. |
| Preservative | 0.05% Sodium azide |
| Stabilizer | 5% BSA |
| Concentration | 0.5 mg/ml |
| Storage Instruction | For continuous use, store undiluted antibody at 2-8°C for up to a week. For long-term storage, aliquot and store at -20°C or below. Storage in frost free freezers is not recommended. Avoid repeated freeze/thaw cycles. Suggest spin the vial prior to opening. The antibody solution should be gently mixed before use. |
| Note | For laboratory research only, not for drug, diagnostic or other use. |
Bioinformation
| Database Links |
Swiss-port # Q9JJH7 Mouse Transient receptor potential cation channel subfamily M member 5 Swiss-port # Q9NZQ8 Human Transient receptor potential cation channel subfamily M member 5 |
|---|---|
| Gene Symbol | TRPM5 |
| Gene Full Name | transient receptor potential cation channel, subfamily M, member 5 |
| Background | This gene encodes a member of the transient receptor potential (TRP) protein family, which is a diverse group of proteins with structural features typical of ion channels. This protein plays an important role in taste transduction, and has characteristics of a calcium-activated, non-selective cation channel that carries Na+, K+, and Cs+ ions equally well, but not Ca(2+) ions. It is activated by lower concentrations of intracellular Ca(2+), and inhibited by higher concentrations. It is also a highly temperature-sensitive, heat activated channel showing a steep increase of inward currents at temperatures between 15 and 35 degrees Celsius. This gene is located within the Beckwith-Wiedemann syndrome critical region-1 on chromosome 11p15.5, and has been shown to be imprinted, with exclusive expression from the paternal allele. [provided by RefSeq, Oct 2010] |
| Function | Voltage-modulated Ca(2+)-activated, monovalent cation channel (VCAM) that mediates a transient membrane depolarization and plays a central role in taste transduction. Monovalent-specific, non-selective cation channel that mediates the transport of Na(+), K(+) and Cs(+) ions equally well. Activated directly by increases in intracellular Ca(2+), but is impermeable to it. Gating is voltage-dependent and displays rapid activation and deactivation kinetics upon channel stimulation even during sustained elevations in Ca(2+). Also activated by a fast intracellular Ca(2+) increase in response to inositol 1,4,5-triphosphate-producing receptor agonists. The channel is blocked by extracellular acidification. External acidification has 2 effects, a fast reversible block of the current and a slower irreversible enhancement of current inactivation. Is a highly temperature-sensitive, heat activated channel showing a steep increase of inward currents at temperatures between 15 and 35 degrees Celsius. Heat activation is due to a shift of the voltage-dependent activation curve to negative potentials. Activated by arachidonic acid in vitro. May be involved in perception of bitter, sweet and umami tastes. May also be involved in sensing semiochemicals. [UniProt] |
| Cellular Localization | Cell membrane; Multi-pass membrane protein. [UniProt] |
| Calculated MW | 131 kDa |
Images (4) Click the Picture to Zoom In
-
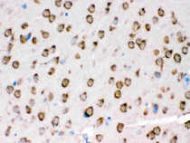
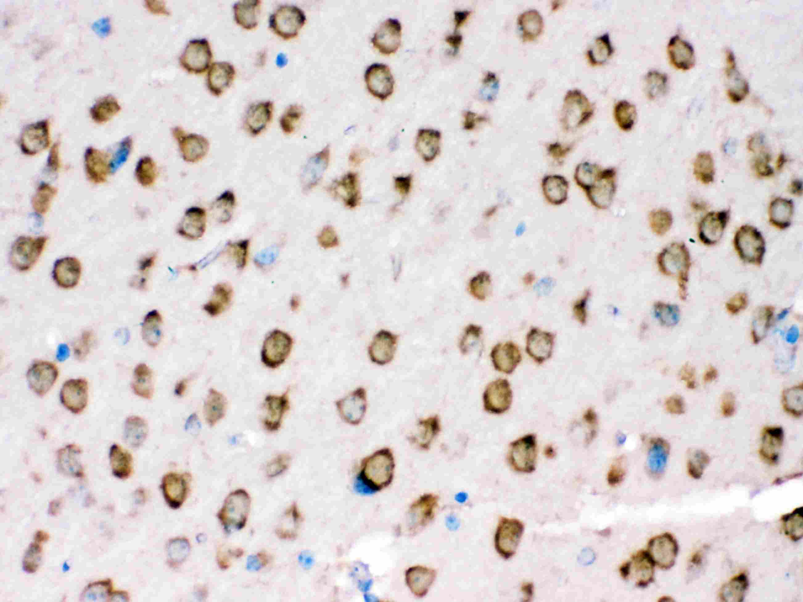
ARG40780 anti-TRPM5 antibody IHC-P image
Immunohistochemistry: Paraffin-embedded Mouse brain tissue stained with ARG40780 anti-TRPM5 antibody at 1 µg/ml dilution.
-
ARG40780 anti-TRPM5 antibody WB image
Western blot: SMMC-7721 and 293T whole cell lysates stained with ARG40780 anti-TRPM5 antibody at 0.5 µg/ml dilution.
-
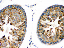
ARG40780 anti-TRPM5 antibody IHC-P image
Immunohistochemistry: Paraffin-embedded Rat testis tissue stained with ARG40780 anti-TRPM5 antibody at 1 µg/ml dilution.
-
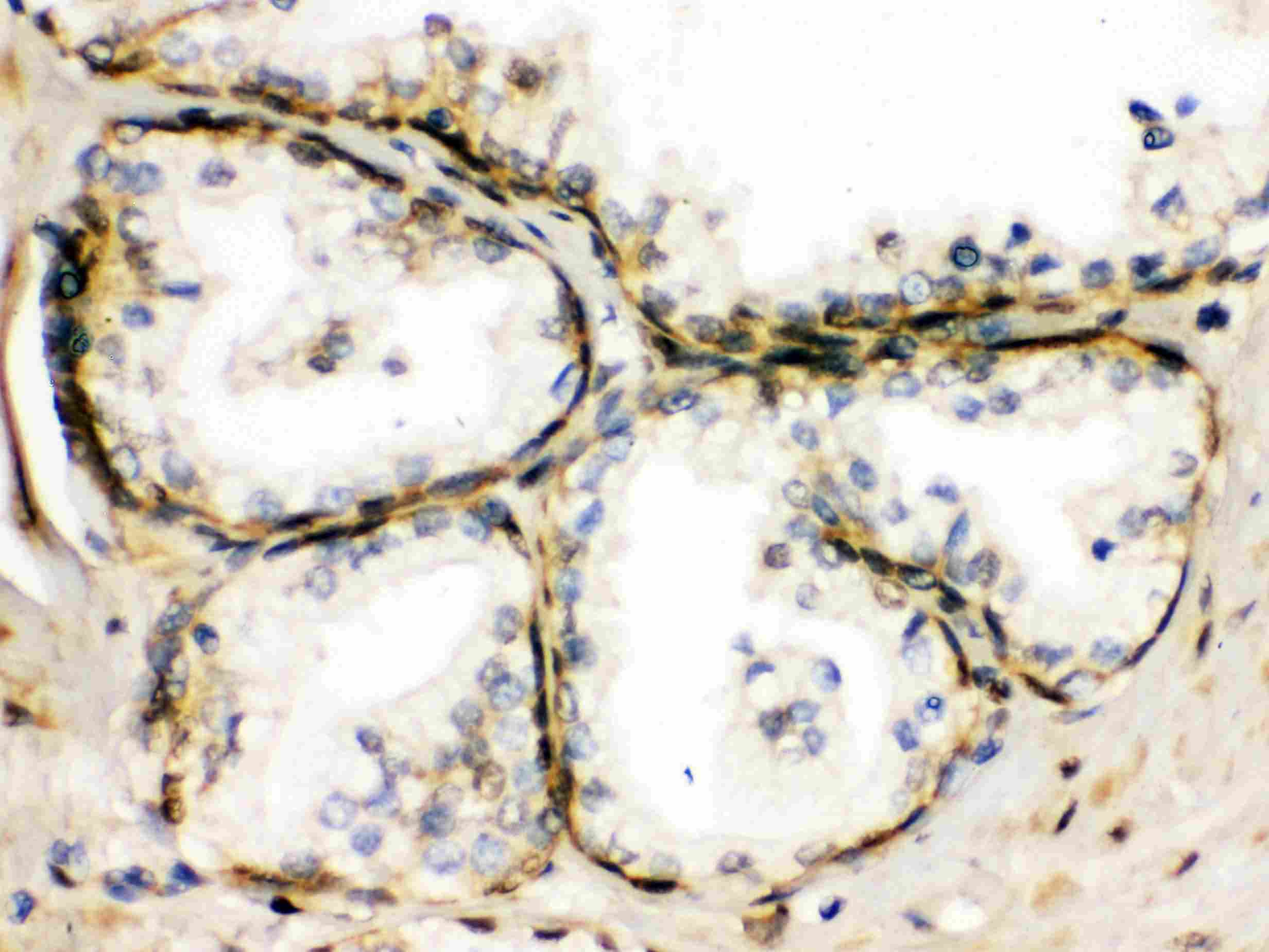
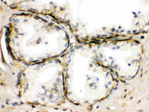
ARG40780 anti-TRPM5 antibody IHC-P image
Immunohistochemistry: Paraffin-embedded Human prostatic cancer tissue stained with ARG40780 anti-TRPM5 antibody at 1 µg/ml dilution.
