ARG40781
anti-TRPM8 antibody
anti-TRPM8 antibody for IHC-Formalin-fixed paraffin-embedded sections,Western blot and Human
Overview
| Product Description | Rabbit Polyclonal antibody recognizes TRPM8 |
|---|---|
| Tested Reactivity | Hu |
| Tested Application | IHC-P, WB |
| Host | Rabbit |
| Clonality | Polyclonal |
| Isotype | IgG |
| Target Name | TRPM8 |
| Antigen Species | Human |
| Immunogen | KLH-conjugated synthetic peptide between aa. 521-552 of Human TRPM8. |
| Conjugation | Un-conjugated |
| Alternate Names | TRPP8; Transient receptor potential cation channel subfamily M member 8; Transient receptor potential p8; LTRPC6; Trp-p8; LTrpC6; Long transient receptor potential channel 6; LTrpC-6 |
Application Instructions
| Application Suggestion |
|
||||||
|---|---|---|---|---|---|---|---|
| Application Note | * The dilutions indicate recommended starting dilutions and the optimal dilutions or concentrations should be determined by the scientist. | ||||||
| Positive Control | Human brain |
Properties
| Form | Liquid |
|---|---|
| Purification | Purification with Protein A and immunogen peptide. |
| Buffer | PBS and 0.09% (W/V) Sodium azide. |
| Preservative | 0.09% (W/V) Sodium azide |
| Storage Instruction | For continuous use, store undiluted antibody at 2-8°C for up to a week. For long-term storage, aliquot and store at -20°C or below. Storage in frost free freezers is not recommended. Avoid repeated freeze/thaw cycles. Suggest spin the vial prior to opening. The antibody solution should be gently mixed before use. |
| Note | For laboratory research only, not for drug, diagnostic or other use. |
Bioinformation
| Database Links |
Swiss-port # Q7Z2W7 Human Transient receptor potential cation channel subfamily M member 8 |
|---|---|
| Gene Symbol | TRPM8 |
| Gene Full Name | transient receptor potential cation channel, subfamily M, member 8 |
| Function | Receptor-activated non-selective cation channel involved in detection of sensations such as coolness, by being activated by cold temperature below 25 degrees Celsius. Activated by icilin, eucalyptol, menthol, cold and modulation of intracellular pH. Involved in menthol sensation. Permeable for monovalent cations sodium, potassium, and cesium and divalent cation calcium. Temperature sensing is tightly linked to voltage-dependent gating. Activated upon depolarization, changes in temperature resulting in graded shifts of its voltage-dependent activation curves. The chemical agonist menthol functions as a gating modifier, shifting activation curves towards physiological membrane potentials. Temperature sensitivity arises from a tenfold difference in the activation energies associated with voltage-dependent opening and closing. In prostate cancer cells, shows strong inward rectification and high calcium selectivity in contrast to its behavior in normal cells which is characterized by outward rectification and poor cationic selectivity. Plays a role in prostate cancer cell migration. Isoform 2 and isoform 3 negatively regulate menthol- and cold-induced channel activity by stabilizing the closed state of the channel. [UniProt] |
| Cellular Localization | Cell membrane; Multi-pass membrane protein. Membrane raft. Endoplasmic reticulum membrane. Note=Localizes to membrane rafts but is also located in the cell membrane outside of these regions where channel response to cold is enhanced compared to membrane rafts. Located in the endoplasmic reticulum in prostate cancer cells. [UniProt] |
| Calculated MW | 128 kDa |
Images (2) Click the Picture to Zoom In
-
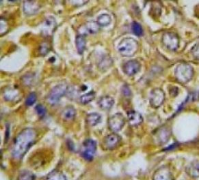
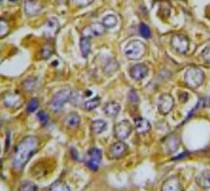
ARG40781 anti-TRPM8 antibody IHC-P image
Immunohistochemistry: Formalin-fixed and paraffin-embedded Human prostata carcinoma tissue stained with ARG40781 anti-TRPM8 antibody.
-
ARG40781 anti-TRPM8 antibody WB image
Western blot: 35 µg of Human brain lysate stained with ARG40781 anti-TRPM8 antibody at 1:1000 dilution.
