ARG57869
anti-TRPV4 antibody
anti-TRPV4 antibody for IHC-Formalin-fixed paraffin-embedded sections,Western blot and Human
Overview
| Product Description | Rabbit Polyclonal antibody recognizes TRPV4 |
|---|---|
| Tested Reactivity | Hu |
| Tested Application | IHC-P, WB |
| Specificity | TRPV4 antibody is human specific. At least six isoforms of TRPV4 are known to exist. This antibody is predicted to not cross-react with other TRP protein family members. |
| Host | Rabbit |
| Clonality | Polyclonal |
| Isotype | IgG |
| Target Name | TRPV4 |
| Antigen Species | Human |
| Immunogen | Synthetic peptide (18 aa) within aa. 380-430 of Human TRPV4. |
| Conjugation | Un-conjugated |
| Alternate Names | HMSN2C; VRL2; SPSMA; OTRPC4; Transient receptor potential cation channel subfamily V member 4; Vanilloid receptor-like channel 2; CMT2C; TRP12; SSQTL1; VROAC; Transient receptor potential protein 12; Vanilloid receptor-related osmotically-activated channel; Osm-9-like TRP channel 4; TrpV4; Vanilloid receptor-like protein 2; BCYM3; VRL-2; VR-OAC; SMAL |
Application Instructions
| Application Suggestion |
|
||||||
|---|---|---|---|---|---|---|---|
| Application Note | * The dilutions indicate recommended starting dilutions and the optimal dilutions or concentrations should be determined by the scientist. | ||||||
| Positive Control | SK-N-SH cells and Human testis. | ||||||
| Observed Size | 100 kDa |
Properties
| Form | Liquid |
|---|---|
| Purification | Affinity purification with immunogen. |
| Buffer | PBS and 0.02% Sodium azide. |
| Preservative | 0.02% Sodium azide |
| Concentration | 1 mg/ml |
| Storage Instruction | For continuous use, store undiluted antibody at 2-8°C for up to a week. For long-term storage, aliquot and store at -20°C or below. Storage in frost free freezers is not recommended. Avoid repeated freeze/thaw cycles. Suggest spin the vial prior to opening. The antibody solution should be gently mixed before use. |
| Note | For laboratory research only, not for drug, diagnostic or other use. |
Bioinformation
| Database Links |
Swiss-port # Q9HBA0 Human Transient receptor potential cation channel subfamily V member 4 |
|---|---|
| Gene Symbol | TRPV4 |
| Gene Full Name | transient receptor potential cation channel, subfamily V, member 4 |
| Background | This gene encodes a member of the OSM9-like transient receptor potential channel (OTRPC) subfamily in the transient receptor potential (TRP) superfamily of ion channels. The encoded protein is a Ca2+-permeable, nonselective cation channel that is thought to be involved in the regulation of systemic osmotic pressure. Mutations in this gene are the cause of spondylometaphyseal and metatropic dysplasia and hereditary motor and sensory neuropathy type IIC. Multiple transcript variants encoding different isoforms have been found for this gene. [provided by RefSeq, Apr 2010] |
| Function | Non-selective calcium permeant cation channel involved in osmotic sensitivity and mechanosensitivity. Activation by exposure to hypotonicity within the physiological range exhibits an outward rectification. Also activated by heat, low pH, citrate and phorbol esters. Increase of intracellular Ca(2+) potentiates currents. Channel activity seems to be regulated by a calmodulin-dependent mechanism with a negative feedback mechanism. Promotes cell-cell junction formation in skin keratinocytes and plays an important role in the formation and/or maintenance of functional intercellular barriers (By similarity). Acts as a regulator of intracellular Ca(2+) in synoviocytes. Plays an obligatory role as a molecular component in the nonselective cation channel activation induced by 4-alpha-phorbol 12,13-didecanoate and hypotonic stimulation in synoviocytes and also regulates production of IL-8. Together with PKD2, forms mechano- and thermosensitive channels in cilium. Negatively regulates expression of PPARGC1A, UCP1, oxidative metabolism and respiration in adipocytes (By similarity). Regulates expression of chemokines and cytokines related to proinflammatory pathway in adipocytes (By similarity). Together with AQP5, controls regulatory volume decrease in salivary epithelial cells (By similarity). [UniProt] |
| Calculated MW | 98 kDa |
Images (5) Click the Picture to Zoom In
-
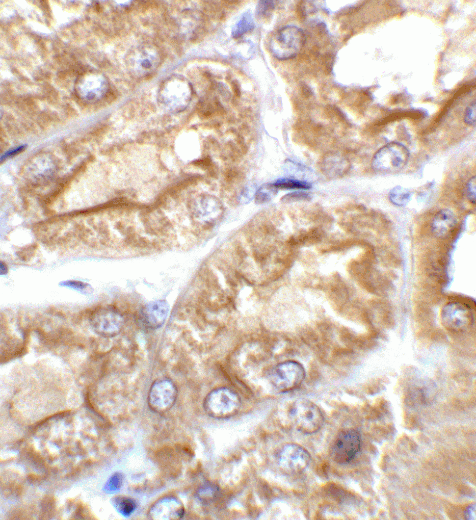
ARG57869 anti-TRPV4 antibody IHC-P image
Immunohistochemistry: Paraffin-embedded Human kidney tissue stained with ARG57869 anti-TRPV4 antibody at 2 µg/ml dilution.
-
ARG57869 anti-TRPV4 antibody WB image
Western blot: Human testis and SK-N-SH cell lysates stained with ARG57869 anti-TRPV4 antibody at 1 µg/ml dilution.
-
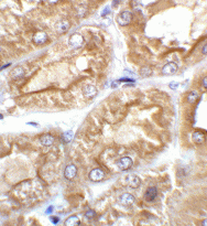
ARG57869 anti-TRPV4 antibody IHC image
Immunohistochemistry: Human kidney tissue stained with ARG57869 anti-TRPV4 antibody at 5 µg/ml dilution.
-
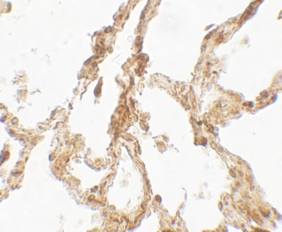
ARG57869 anti-TRPV4 antibody IHC-P image
Immunohistochemistry: Paraffin-embedded Human lung tissue stained with ARG57869 anti-TRPV4 antibody at 5 µg/ml dilution.
-
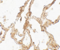
ARG57869 anti-TRPV4 antibody IHC image
Immunohistochemistry: Human lung tissue stained with ARG57869 anti-TRPV4 antibody at 20 µg/ml dilution.
