ARG45326
anti-TSEN54 antibody
anti-TSEN54 antibody for Flow cytometry,ICC/IF,IHC-Formalin-fixed paraffin-embedded sections,Western blot and Human
Overview
| Product Description | Polyclonal antibody recognizes TSEN54 |
|---|---|
| Tested Reactivity | Hu |
| Tested Application | FACS, ICC/IF, IHC-P, WB |
| Host | Rabbit |
| Clonality | Polyclonal |
| Isotype | IgG |
| Target Name | TSEN54 |
| Antigen Species | Human |
| Immunogen | Recombinant protein containing to human TSEN54. |
| Conjugation | Un-conjugated |
| Alternate Names | TSEN54; TRNA Splicing Endonuclease Subunit 54; SEN54; SEN54L; TSEN54 TRNA Splicing Endonuclease Subunit; TRNA-Splicing Endonuclease Subunit Sen54; TRNA-Intron Endonuclease Sen54; SEN54 Homolog; TRNA Splicing Endonuclease 54 Homolog (SEN54, S. Cerevisiae); TRNA Splicing Endonuclease 54 Homolog (S. Cerevisiae); HsSen54; HsSEN54; PCH2A; PCH4; PCH5 |
Application Instructions
| Application Suggestion |
|
||||||||||
|---|---|---|---|---|---|---|---|---|---|---|---|
| Application Note | * The dilutions indicate recommended starting dilutions and the optimal dilutions or concentrations should be determined by the scientist. | ||||||||||
| Observed Size | 59 kDa |
Properties
| Form | Liquid |
|---|---|
| Purification | Affinity purification with immunogen. |
| Buffer | 0.2% Na2HPO4, 0.9% NaCl and 4% Trehalose. |
| Stabilizer | 4% Trehalose |
| Concentration | 0.5 mg/ml |
| Storage Instruction | For continuous use, store undiluted antibody at 2-8°C for up to a week. For long-term storage, aliquot and store at -20°C or below. Storage in frost free freezers is not recommended. Avoid repeated freeze/thaw cycles. Suggest spin the vial prior to opening. The antibody solution should be gently mixed before use. |
| Note | For laboratory research only, not for drug, diagnostic or other use. |
Bioinformation
| Database Links |
Swiss-port # Q7Z6J9 Human tRNA-splicing endonuclease subunit Sen54 |
|---|---|
| Gene Symbol | TSEN54 |
| Gene Full Name | TRNA Splicing Endonuclease Subunit 54 |
| Background | This gene encodes a subunit of the tRNA splicing endonuclease complex, which catalyzes the removal of introns from precursor tRNAs. The complex is also implicated in pre-mRNA 3-prime end processing. Mutations in this gene result in pontocerebellar hypoplasia type 2.[provided by RefSeq, Oct 2009] |
| Function | Non-catalytic subunit of the tRNA-splicing endonuclease complex, a complex responsible for identification and cleavage of the splice sites in pre-tRNA. It cleaves pre-tRNA at the 5' and 3' splice sites to release the intron. The products are an intron and two tRNA half-molecules bearing 2',3' cyclic phosphate and 5'-OH termini. There are no conserved sequences at the splice sites, but the intron is invariably located at the same site in the gene, placing the splice sites an invariant distance from the constant structural features of the tRNA body. The tRNA splicing endonuclease is also involved in mRNA processing via its association with pre-mRNA 3'-end processing factors, establishing a link between pre-tRNA splicing and pre-mRNA 3'-end formation, suggesting that the endonuclease subunits function in multiple RNA-processing events.. [UniProt] |
| Cellular Localization | Nucleus. [UniProt] |
| Calculated MW | 59 kDa |
| PTM | Acetylation; Methylation; Phosphoprotein. [UniProt] |
Images (4) Click the Picture to Zoom In
-
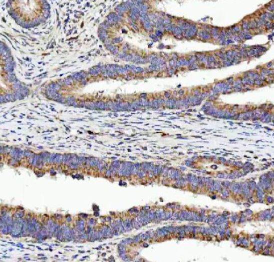
ARG45326 anti-TSEN54 antibody IHC-P image
Immunohistochemistry: Human Colorectal adenocarcinoma stained with ARG45326 anti-TSEN54 antibody at 2 μg/ml dilution.
-
ARG45326 anti-TSEN54 antibody ICC/IF image
Immunofluorescence: PC-3 stained with ARG45326 anti-TSEN54 antibody at 5 ug/ml dilution.
-
ARG45326 anti-TSEN54 antibody WB image
Western blot: MCF-7 and 293T stained with ARG45326 anti-TSEN54 antibody at 0.5 μg/ml dilution.
-
ARG45326 anti-TSEN54 antibody FACS image
Flow Cytometry: Hela stained with ARG45326 anti-TSEN54 antibody at 1 µg/10^6 cells dilution.
