ARG44976
anti-TSNAX antibody
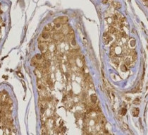
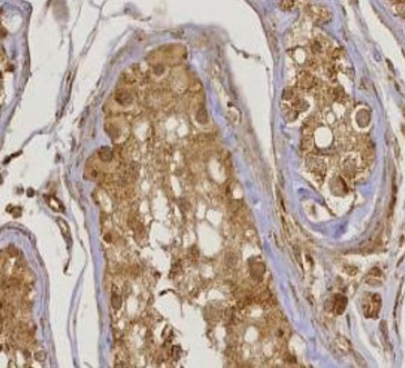
anti-TSNAX antibody for IHC-Formalin-fixed paraffin-embedded sections,Immunoprecipitation and Human
Overview
| Product Description | Mouse Monoclonal antibody recognizes TSNAX |
|---|---|
| Tested Reactivity | Hu |
| Tested Application | IHC-P, IP |
| Host | Mouse |
| Clonality | Monoclonal |
| Isotype | IgG1 |
| Target Name | TSNAX |
| Antigen Species | Human |
| Epitope | MSNKEGSGGF RKRKHDNFPH NQRREGKDVN SSSPVMLAFK SFQQELDARH DKYERLVKLS RDITVESKRT IFLLHRITSA PDMEDILTES EIKLDGVRQK IFQVAQELSG EDMHQFHRAI TTGLQEYVEA VSFQHFIKTR SLISMDEINK QLIFTTEDNG KENKTPSSDA QDKQFGTWRL RVTPVDYLLG VADLTGELMR MCINSVGNGD IDTPFEVSQF LRQVYDGFSF IGNTGPYEVS KKLYTLKQSL AKVENACYAL KVRGSEIPKH MLADVFSVKT EMIDQEEGIS |
| Conjugation | Un-conjugated |
| Alternate Names | TSNAX; Translin Associated Factor X; TRAX; C3PO; Translin-Associated Protein X; Translin-Associated Factor X; Translin-Like Protein |
Application Instructions
| Application Suggestion |
|
||||||
|---|---|---|---|---|---|---|---|
| Application Note | * The dilutions indicate recommended starting dilutions and the optimal dilutions or concentrations should be determined by the scientist. |
Properties
| Form | Liquid |
|---|---|
| Purification | Protein A purification |
| Buffer | PBS with 0.09% sodium azide |
| Preservative | 0.09% sodium azide |
| Storage Instruction | For continuous use, store undiluted antibody at 2-8°C for up to a week. For long-term storage, aliquot and store at -20°C or below. Storage in frost free freezers is not recommended. Avoid repeated freeze/thaw cycles. Suggest spin the vial prior to opening. The antibody solution should be gently mixed before use. |
| Note | For laboratory research only, not for drug, diagnostic or other use. |
Bioinformation
| Database Links | |
|---|---|
| Gene Symbol | TSNAX |
| Gene Full Name | Translin Associated Factor X |
| Background | This gene encodes a protein which specifically interacts with translin, a DNA-binding protein that binds consensus sequences at breakpoint junctions of chromosomal translocations. The encoded protein contains bipartite nuclear targeting sequences that may provide nuclear transport for translin, which lacks any nuclear targeting motifs. [provided by RefSeq, Jul 2008] |
| Function | Acts in combination with TSN as an endonuclease involved in the activation of the RNA-induced silencing complex (RISC). Possible role in spermatogenesis. [Uniprot] |
| Cellular Localization | Cytoplasm, Golgi apparatus, Nucleus. [Uniprot] |
| PTM | Isopeptide bond, Ubl conjugation. [Uniprot] |
Images (2) Click the Picture to Zoom In
