ARG45770
anti-TTLL12 antibody
anti-TTLL12 antibody for Flow cytometry,IHC-Formalin-fixed paraffin-embedded sections,Western blot and Human
Overview
| Product Description | Rabbit Polyclonal antibody recognizes TTLL12 |
|---|---|
| Tested Reactivity | Hu |
| Tested Application | FACS, IHC-P, WB |
| Host | Rabbit |
| Clonality | Polyclonal |
| Isotype | IgG |
| Target Name | TTLL12 |
| Antigen Species | Human |
| Immunogen | Recombinant protein containing to human TTLL12. |
| Conjugation | Un-conjugated |
| Alternate Names | TTLL12; Tubulin Tyrosine Ligase Like 12; KIAA0153; Inactive Tubulin--Tyrosine Ligase-Like Protein 12; Tubulin--Tyrosine Ligase-Like Protein 12; Tubulin Tyrosine Ligase-Like Family, Member 12; Tubulin Tyrosine Ligase-Like Family Member 12; DJ526I14.2 |
Application Instructions
| Application Suggestion |
|
||||||||
|---|---|---|---|---|---|---|---|---|---|
| Application Note | * The dilutions indicate recommended starting dilutions and the optimal dilutions or concentrations should be determined by the scientist. | ||||||||
| Observed Size | 75 kDa |
Properties
| Form | Liquid |
|---|---|
| Purification | Affinity purified |
| Buffer | 0.2% Na2HPO4, 0.9% NaCl and 4% Trehalose. |
| Stabilizer | 4% Trehalose |
| Concentration | 0.5 mg/ml |
| Storage Instruction | For continuous use, store undiluted antibody at 2-8°C for up to a week. For long-term storage, aliquot and store at -20°C or below. Storage in frost free freezers is not recommended. Avoid repeated freeze/thaw cycles. Suggest spin the vial prior to opening. The antibody solution should be gently mixed before use. |
| Note | For laboratory research only, not for drug, diagnostic or other use. |
Bioinformation
| Database Links |
Swiss-port # Q14166 Human Tubulin--tyrosine ligase-like protein 12 |
|---|---|
| Gene Symbol | TTLL12 |
| Gene Full Name | Tubulin Tyrosine Ligase Like 12 |
| Background | Enables H4K20me3 modified histone binding activity and tubulin binding activity. Involved in negative regulation of type I interferon-mediated signaling pathway and regulation of mitotic cell cycle. Located in cytosol and plasma membrane. [provided by Alliance of Genome Resources, Feb 2025] |
| Function | Negatively regulates post-translational modifications of tubulin, including detyrosination of the C-terminus and polyglutamylation of glutamate residues. [UniProt] |
| Cellular Localization | Cytoplasm; Cytoskeleton; Nucleus. [UniProt] |
| Calculated MW | 74 kDa |
Images (3) Click the Picture to Zoom In
-
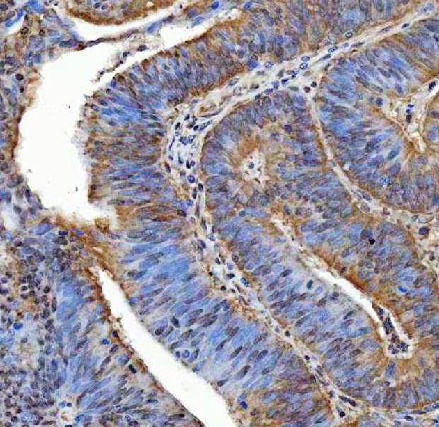
ARG45770 anti-TTLL12 antibody IHC-P image
Immunohistochemistry: Human colorectal adenocarcinoma stained with ARG45770 anti-TTLL12 antibody at 2 μg/ml dilution.
-
ARG45770 anti-TTLL12 antibody WB image
Western blot: K562 stained with ARG45770 anti-TTLL12 antibody at 0.5 μg/ml dilution.
-
ARG45770 anti-TTLL12 antibody FACS image
Flow Cytometry: CACO-2 stained with ARG45770 anti-TTLL12 antibody at 1 µg/10^6 cells dilution.
