ARG58129
anti-TXNRD2 antibody
anti-TXNRD2 antibody for IHC-Formalin-fixed paraffin-embedded sections,Western blot and Human,Rat
Overview
| Product Description | Rabbit Polyclonal antibody recognizes TXNRD2 |
|---|---|
| Tested Reactivity | Hu, Rat |
| Tested Application | IHC-P, WB |
| Host | Rabbit |
| Clonality | Polyclonal |
| Isotype | IgG |
| Target Name | TXNRD2 |
| Antigen Species | Human |
| Immunogen | Synthetic peptide around the C-terminus of Human TXNRD2. (RHGQEHVEVYHAHYKPL) |
| Conjugation | Un-conjugated |
| Alternate Names | TR-beta; Thioredoxin reductase 2, mitochondrial; EC 1.8.1.9; TR; Thioredoxin reductase TR3; SelZ; Selenoprotein Z; SELZ; TR3; TRXR2; TR-BETA |
Application Instructions
| Application Suggestion |
|
||||||
|---|---|---|---|---|---|---|---|
| Application Note | * The dilutions indicate recommended starting dilutions and the optimal dilutions or concentrations should be determined by the scientist. |
Properties
| Form | Liquid |
|---|---|
| Purification | Affinity purification with immunogen. |
| Buffer | PBS, 0.025% Sodium azide and 2.5% BSA. |
| Preservative | 0.025% Sodium azide |
| Stabilizer | 2.5% BSA |
| Concentration | 0.5 mg/ml |
| Storage Instruction | For continuous use, store undiluted antibody at 2-8°C for up to a week. For long-term storage, aliquot and store at -20°C or below. Storage in frost free freezers is not recommended. Avoid repeated freeze/thaw cycles. Suggest spin the vial prior to opening. The antibody solution should be gently mixed before use. |
| Note | For laboratory research only, not for drug, diagnostic or other use. |
Bioinformation
| Database Links |
Swiss-port # Q9NNW7 Human Thioredoxin reductase 2, mitochondrial Swiss-port # Q9Z0J5 Rat Thioredoxin reductase 2, mitochondrial |
|---|---|
| Gene Symbol | TXNRD2 |
| Gene Full Name | thioredoxin reductase 2 |
| Background | This gene encodes a member of the class I pyridine nucleotide-disulfide oxidoreductase family. The encoded protein is a selenocysteine-containing flavoenzyme that maintains thioredoxins in a reduced state, thereby playing a key role in regulating the cellular redox environment. Mammals have three related thioredoxin reductases. This gene encodes a mitochondrial form important for scavenging of reactive oxygen species in mitochondria. Alternatively spliced transcript variants encoding different isoforms have been described. [provided by RefSeq, Sep 2013] |
| Function | Maintains thioredoxin in a reduced state. Implicated in the defenses against oxidative stress. May play a role in redox-regulated cell signaling. [UniProt] |
| Calculated MW | 57 kDa |
Images (2) Click the Picture to Zoom In
-
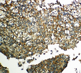
ARG58129 anti-TXNRD2 antibody IHC-P image
Immunohistochemistry: Paraffin-embedded Human lung cancer tissue stained with ARG58129 anti-TXNRD2 antibody.
-
ARG58129 anti-TXNRD2 antibody WB image
Western blot: Rat kidney, Rat ovary, Rat liver and SMMC-7721 cell lysates stained with ARG58129 anti-TXNRD2 antibody.
