ARG41971
anti-Talin 2 antibody
anti-Talin 2 antibody for IHC-Formalin-fixed paraffin-embedded sections,Western blot and Human,Mouse,Rat
Overview
| Product Description | Rabbit Polyclonal antibody recognizes Talin 2 |
|---|---|
| Tested Reactivity | Hu, Ms, Rat |
| Tested Application | IHC-P, WB |
| Host | Rabbit |
| Clonality | Polyclonal |
| Isotype | IgG |
| Target Name | Talin 2 |
| Antigen Species | Human |
| Immunogen | Synthetic peptide corresponding to aa. 1787-1822 of Human Talin 2. (NPKAQHTHDAITEAAQLMKEAVDDIMVTLNEAASEV) |
| Conjugation | Un-conjugated |
| Alternate Names | Talin-2; ILWEQ |
Application Instructions
| Application Suggestion |
|
||||||
|---|---|---|---|---|---|---|---|
| Application Note | * The dilutions indicate recommended starting dilutions and the optimal dilutions or concentrations should be determined by the scientist. |
Properties
| Form | Liquid |
|---|---|
| Purification | Affinity purification with immunogen. |
| Buffer | 0.2% Na2HPO4, 0.9% NaCl, 0.05% Sodium azide and 5% BSA. |
| Preservative | 0.05% Sodium azide |
| Stabilizer | 5% BSA |
| Concentration | 0.5 mg/ml |
| Storage Instruction | For continuous use, store undiluted antibody at 2-8°C for up to a week. For long-term storage, aliquot and store at -20°C or below. Storage in frost free freezers is not recommended. Avoid repeated freeze/thaw cycles. Suggest spin the vial prior to opening. The antibody solution should be gently mixed before use. |
| Note | For laboratory research only, not for drug, diagnostic or other use. |
Bioinformation
| Database Links | |
|---|---|
| Gene Symbol | TLN2 |
| Gene Full Name | talin 2 |
| Background | This gene encodes a protein related to talin 1, a cytoskeletal protein that plays a significant role in the assembly of actin filaments and in spreading and migration of various cell types, including fibroblasts and osteoclasts. This protein has a different pattern of expression compared to talin 1 but, like talin 1, is thought to associate with unique transmembrane receptors to form novel linkages between extracellular matrices and the actin cytoskeleton. [provided by RefSeq, Jul 2008] |
| Function | As a major component of focal adhesion plaques that links integrin to the actin cytoskeleton, may play an important role in cell adhesion. Recruits PIP5K1C to focal adhesion plaques and strongly activates its kinase activity (By similarity). [UniProt] |
| Cellular Localization | Cytoplasm. Cell junction, focal adhesion. Cell junction, synapse. Cell membrane; Peripheral membrane protein; Cytoplasmic side. Cytoplasm, cytoskeleton. Note=Focal adhesion plaques and synapses (PubMed:12422219). [UniProt] |
| Calculated MW | 272 kDa |
Images (4) Click the Picture to Zoom In
-
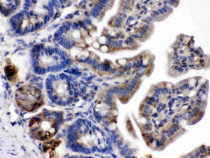
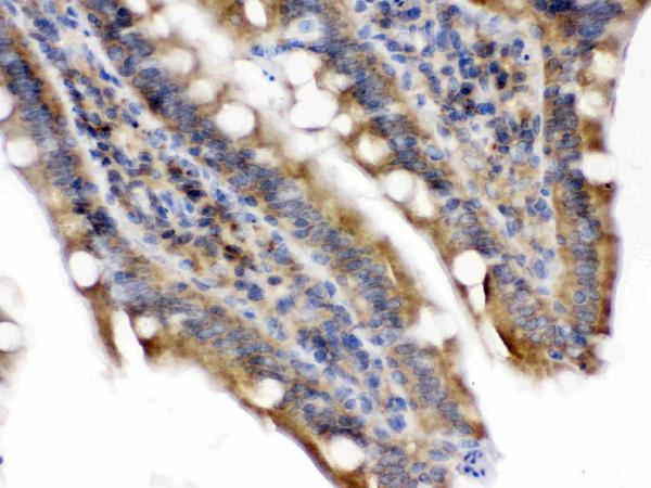
ARG41971 anti-Talin 2 antibody IHC-P image
Immunohistochemistry: Paraffin-embedded Mouse intestine tissue stained with ARG41971 anti-Talin 2 antibody at 1 µg/ml dilution.
-
ARG41971 anti-Talin 2 antibody WB image
Western blot: Rat brain, Mouse cardiac muscle and SMMC-7721 whole cell lysates stained with ARG41971 anti-Talin 2 antibody at 0.5 µg/ml dilution.
-
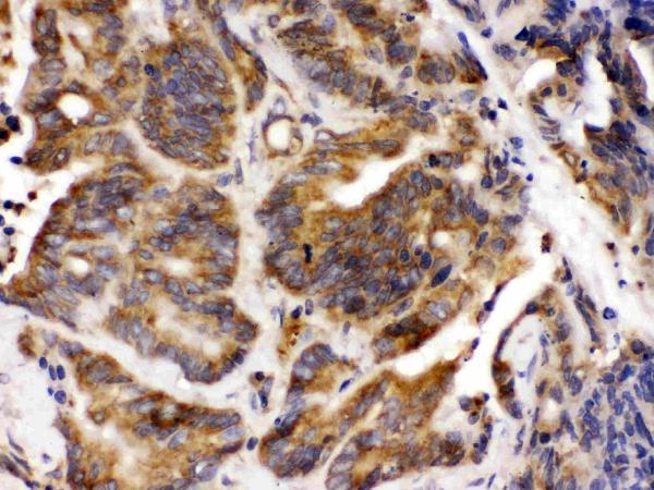
ARG41971 anti-Talin 2 antibody IHC-P image
Immunohistochemistry: Paraffin-embedded Human intestinal cancer tissue stained with ARG41971 anti-Talin 2 antibody at 1 µg/ml dilution.
-
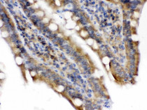
ARG41971 anti-Talin 2 antibody IHC-P image
Immunohistochemistry: Paraffin-embedded Rat intestine tissue stained with ARG41971 anti-Talin 2 antibody at 1 µg/ml dilution.
