ARG41575
anti-Tyrosinase antibody
anti-Tyrosinase antibody for ICC/IF,IHC-Formalin-fixed paraffin-embedded sections,Western blot and Human,Mouse,Rat
Overview
| Product Description | Rabbit Polyclonal antibody recognizes Tyrosinase |
|---|---|
| Tested Reactivity | Hu, Ms, Rat |
| Tested Application | ICC/IF, IHC-P, WB |
| Host | Rabbit |
| Clonality | Polyclonal |
| Isotype | IgG |
| Target Name | Tyrosinase |
| Antigen Species | Human |
| Immunogen | Recombinant fusion protein corresponding to aa. 20-340 of Human Tyrosinase (NP_000363.1). |
| Conjugation | Un-conjugated |
| Alternate Names | SHEP3; SK29-AB; Tumor rejection antigen AB; ATN; EC 1.14.18.1; Tyrosinase; LB24-AB; OCA1A; OCA1; Monophenol monooxygenase; OCAIA; CMM8 |
Application Instructions
| Application Suggestion |
|
||||||||
|---|---|---|---|---|---|---|---|---|---|
| Application Note | * The dilutions indicate recommended starting dilutions and the optimal dilutions or concentrations should be determined by the scientist. | ||||||||
| Positive Control | Mouse liver | ||||||||
| Observed Size | ~ 72 kDa |
Properties
| Form | Liquid |
|---|---|
| Purification | Affinity purified. |
| Buffer | PBS (pH 7.3), 0.02% Sodium azide and 50% Glycerol. |
| Preservative | 0.02% Sodium azide |
| Stabilizer | 50% Glycerol |
| Storage Instruction | For continuous use, store undiluted antibody at 2-8°C for up to a week. For long-term storage, aliquot and store at -20°C. Storage in frost free freezers is not recommended. Avoid repeated freeze/thaw cycles. Suggest spin the vial prior to opening. The antibody solution should be gently mixed before use. |
| Note | For laboratory research only, not for drug, diagnostic or other use. |
Bioinformation
| Database Links | |
|---|---|
| Gene Symbol | TYR |
| Gene Full Name | tyrosinase |
| Background | The enzyme encoded by this gene catalyzes the first 2 steps, and at least 1 subsequent step, in the conversion of tyrosine to melanin. The enzyme has both tyrosine hydroxylase and dopa oxidase catalytic activities, and requires copper for function. Mutations in this gene result in oculocutaneous albinism, and nonpathologic polymorphisms result in skin pigmentation variation. The human genome contains a pseudogene similar to the 3' half of this gene. [provided by RefSeq, Oct 2008] |
| Function | This is a copper-containing oxidase that functions in the formation of pigments such as melanins and other polyphenolic compounds. Catalyzes the rate-limiting conversions of tyrosine to DOPA, DOPA to DOPA-quinone and possibly 5,6-dihydroxyindole to indole-5,6 quinone. [UniProt] |
| Cellular Localization | Melanosome membrane; Single-pass type I membrane protein. Melanosome. Note=Proper trafficking to melanosome is regulated by SGSM2, ANKRD27, RAB9A, RAB32 and RAB38. [UniProt] |
| Calculated MW | 60 kDa |
| PTM | Glycosylated. [UniProt] |
Images (3) Click the Picture to Zoom In
-
ARG41575 anti-Tyrosinase antibody IHC image
Immunohistochemistry: Rat skin tissue stained with ARG41575 anti-Tyrosinase antibody at 1:100 dilution.
-
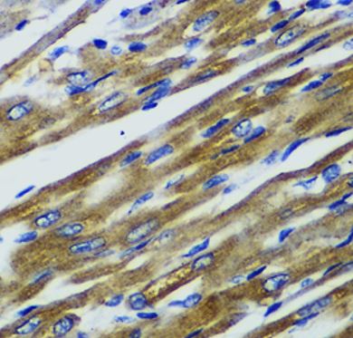
ARG41575 anti-Tyrosinase antibody IHC-P image
Immunohistochemistry: Paraffin-embedded Rat heart tissue stained with ARG41575 anti-Tyrosinase antibody at 1:100 dilution.
-
ARG41575 anti-Tyrosinase antibody WB image
Western blot: 25 µg of Mouse liver lysate stained with ARG41575 anti-Tyrosinase antibody at 1:1000 dilution.
