ARG59733
anti-U2AF1 antibody
anti-U2AF1 antibody for Flow cytometry,IHC-Formalin-fixed paraffin-embedded sections,Western blot and Human
Overview
| Product Description | Rabbit Polyclonal antibody recognizes U2AF1 |
|---|---|
| Tested Reactivity | Hu |
| Predict Reactivity | Ms, Bov |
| Tested Application | FACS, IHC-P, WB |
| Host | Rabbit |
| Clonality | Polyclonal |
| Isotype | IgG |
| Target Name | U2AF1 |
| Antigen Species | Human |
| Immunogen | KLH-conjugated synthetic peptide corresponding to aa. 99-125 of Human U2AF1. |
| Conjugation | Un-conjugated |
| Alternate Names | U2 snRNP auxiliary factor small subunit; U2 auxiliary factor 35 kDa subunit; Splicing factor U2AF 35 kDa subunit; U2 small nuclear RNA auxiliary factor 1 |
Application Instructions
| Application Suggestion |
|
||||||||
|---|---|---|---|---|---|---|---|---|---|
| Application Note | * The dilutions indicate recommended starting dilutions and the optimal dilutions or concentrations should be determined by the scientist. | ||||||||
| Positive Control | Ramos |
Properties
| Form | Liquid |
|---|---|
| Purification | This antibody is prepared by Saturated Ammonium Sulfate (SAS) precipitation followed by dialysis against PBS. |
| Buffer | PBS and 0.09% (W/V) Sodium azide. |
| Preservative | 0.09% (W/V) Sodium azide. |
| Storage Instruction | For continuous use, store undiluted antibody at 2-8°C for up to a week. For long-term storage, aliquot and store at -20°C or below. Storage in frost free freezers is not recommended. Avoid repeated freeze/thaw cycles. Suggest spin the vial prior to opening. The antibody solution should be gently mixed before use. |
| Note | For laboratory research only, not for drug, diagnostic or other use. |
Bioinformation
| Database Links |
Swiss-port # Q01081 Human Splicing factor U2AF 35 kDa subunit |
|---|---|
| Gene Symbol | U2AF1 |
| Gene Full Name | U2 small nuclear RNA auxiliary factor 1 |
| Cellular Localization | Nucleus. Nucleus speckle. [UniProt] |
| Calculated MW | 28 kDa |
Images (3) Click the Picture to Zoom In
-
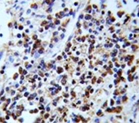
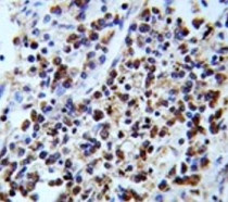
ARG59733 anti-U2AF1 antibody IHC-P image
Immunohistochemistry: Formalin-fixed and paraffin-embedded Human lung carcinoma stained with ARG59733 anti-U2AF1 antibody.
-
ARG59733 anti-U2AF1 antibody WB image
Western blot: 35 µg of Ramos cell lysate stained with ARG59733 anti-U2AF1 antibody.
-
ARG59733 anti-U2AF1 antibody FACS image
Flow Cytometry: Ramos cells stained with ARG59733 anti-U2AF1 antibody (bottom histogram) or without primary antibody as control (top histogram), followed by incubation with FITC labelled secondary antibody.
