ARG63632
anti-UBE2I / UBC9 antibody
anti-UBE2I / UBC9 antibody for IHC-Formalin-fixed paraffin-embedded sections,Western blot and Human,Rat
Cell Biology and Cellular Response antibody; Gene Regulation antibody; Metabolism antibody
Overview
| Product Description | Goat Polyclonal antibody recognizes UBE2I / UBC9 |
|---|---|
| Tested Reactivity | Hu, Rat |
| Predict Reactivity | Ms, Dog |
| Tested Application | IHC-P, WB |
| Specificity | This antibody is expected to recognize all reported isoforms (NP_003336.1, NP_919235.1, NP_919236.1 and NP_919237.1). |
| Host | Goat |
| Clonality | Polyclonal |
| Isotype | IgG |
| Target Name | UBE2I / UBC9 |
| Antigen Species | Human |
| Immunogen | SGIALSRLAQERK-C |
| Conjugation | Un-conjugated |
| Alternate Names | UBC9; Ubiquitin-protein ligase I; EC 6.3.2.-; SUMO-conjugating enzyme UBC9; Ubiquitin carrier protein I; Ubiquitin-conjugating enzyme E2 I; SUMO-protein ligase; p18; C358B7.1; P18; Ubiquitin carrier protein 9 |
Application Instructions
| Application Suggestion |
|
||||||
|---|---|---|---|---|---|---|---|
| Application Note | IHC-P: Antigen Retrieval: Microwaved tissue section in Tris/EDTA buffer (pH 9.0). WB: Recommend incubate at RT for 1h. * The dilutions indicate recommended starting dilutions and the optimal dilutions or concentrations should be determined by the scientist. |
Properties
| Form | Liquid |
|---|---|
| Purification | Purified from goat serum by antigen affinity chromatography. |
| Buffer | Tris saline (pH 7.3), 0.02% Sodium azide and 0.5% BSA. |
| Preservative | 0.02% Sodium azide |
| Stabilizer | 0.5% BSA |
| Concentration | 0.5 mg/ml |
| Storage Instruction | For continuous use, store undiluted antibody at 2-8°C for up to a week. For long-term storage, aliquot and store at -20°C or below. Storage in frost free freezers is not recommended. Avoid repeated freeze/thaw cycles. Suggest spin the vial prior to opening. The antibody solution should be gently mixed before use. |
| Note | For laboratory research only, not for drug, diagnostic or other use. |
Bioinformation
| Database Links | |
|---|---|
| Background | The modification of proteins with ubiquitin is an important cellular mechanism for targeting abnormal or short-lived proteins for degradation. Ubiquitination involves at least three classes of enzymes: ubiquitin-activating enzymes, or E1s, ubiquitin-conjugating enzymes, or E2s, and ubiquitin-protein ligases, or E3s. This gene encodes a member of the E2 ubiquitin-conjugating enzyme family. Four alternatively spliced transcript variants encoding the same protein have been found for this gene. [provided by RefSeq, Jul 2008] |
| Research Area | Cell Biology and Cellular Response antibody; Gene Regulation antibody; Metabolism antibody |
| Calculated MW | 18 kDa |
| PTM | Phosphorylation at Ser-71 significantly enhances SUMOylation activity. |
Images (3) Click the Picture to Zoom In
-
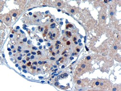
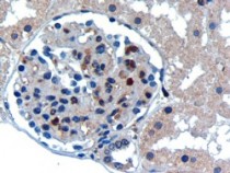
ARG63632 anti-UBE2I / UBC9 antibody IHC-P image
Immunohistochemistry: Paraffin-embedded Human kidney. (Microwaved antigen retrieval with Tris/EDTA buffer pH 9.0) stained with ARG63632 anti-UBE2I / UBC9 antibody at 0.3 µg/ml dilution followed by HRP-staining.
-
ARG63632 anti-UBE2I / UBC9 antibody WB image
Western blot: 35 µg of Human kidney lysate (in RIPA buffer) stained with ARG63632 anti-UBE2I / UBC9 antibody at 0.1 µg/ml dilution and incubated at RT for 1 hour.
-
ARG63632 anti-UBE2I / UBC9 antibody WB image
Western blot: 35 µg of Rat ovary lysate (in RIPA buffer) stained with ARG63632 anti-UBE2I / UBC9 antibody at 0.3 µg/ml dilution and incubated at RT for 1 hour.
