ARG45296
anti-UBXN8 antibody
anti-UBXN8 antibody for Flow cytometry,IHC-Formalin-fixed paraffin-embedded sections,Western blot and Human
Overview
| Product Description | Polyclonal antibody recognizes UBXN8 |
|---|---|
| Tested Reactivity | Hu |
| Tested Application | FACS, IHC-P, WB |
| Host | Rabbit |
| Clonality | Polyclonal |
| Isotype | IgG |
| Target Name | UBXN8 |
| Antigen Species | Human |
| Immunogen | Recombinant protein containing to human UBXN8. |
| Conjugation | Un-conjugated |
| Alternate Names | UBXN8; UBX Domain Protein 8; D8S2298E; REP8; UBXD6; UBX Domain-Containing Protein 8; UBX Domain-Containing Protein 6; Reproduction 8 Protein; Rep-8 Protein; Reproduction/Chromosome 8; UBX Domain Containing 6 |
Application Instructions
| Application Suggestion |
|
||||||||
|---|---|---|---|---|---|---|---|---|---|
| Application Note | * The dilutions indicate recommended starting dilutions and the optimal dilutions or concentrations should be determined by the scientist. | ||||||||
| Observed Size | 36 kDa |
Properties
| Form | Liquid |
|---|---|
| Purification | Affinity purification with immunogen. |
| Buffer | 0.2% Na2HPO4, 0.9% NaCl and 4% Trehalose. |
| Stabilizer | 4% Trehalose |
| Concentration | 0.5 mg/ml |
| Storage Instruction | For continuous use, store undiluted antibody at 2-8°C for up to a week. For long-term storage, aliquot and store at -20°C or below. Storage in frost free freezers is not recommended. Avoid repeated freeze/thaw cycles. Suggest spin the vial prior to opening. The antibody solution should be gently mixed before use. |
| Note | For laboratory research only, not for drug, diagnostic or other use. |
Bioinformation
| Database Links | |
|---|---|
| Gene Symbol | UBXN8 |
| Gene Full Name | UBX Domain Protein 8 |
| Background | p97 or VCP (valosin-containing protein) is a versatile ATPase complex, and many cofactors are required for the p97 functional diversity. This gene encodes one of the p97 cofactors. This cofactor is a transmembrane protein and localized in the endoplasmic reticulum (ER) membrane. It tethers p97 to the ER membrane via its UBX domain. The association of this cofactor with p97 facilitates efficient ER-associated degradation of misfolded proteins. Alternatively spliced transcript variants encoding different isoforms have been found for this gene.[provided by RefSeq, Aug 2013] |
| Function | Involved in endoplasmic reticulum-associated degradation (ERAD) for misfolded lumenal proteins, possibly by tethering VCP to the endoplasmic reticulum membrane. May play a role in reproduction. [UniProt] |
| Cellular Localization | Endoplasmic reticulum; Membrane. [UniProt] |
| Calculated MW | 31 kDa |
| PTM | Phosphoprotein. [UniProt] |
Images (3) Click the Picture to Zoom In
-
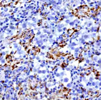
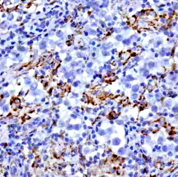
ARG45296 anti-UBXN8 antibody IHC-P image
Immunohistochemistry: Human testicular seminoma stained with ARG45296 anti-UBXN8 antibody at 2 μg/ml dilution.
-
ARG45296 anti-UBXN8 antibody WB image
Western blot: K562 and HepG2 stained with ARG45296 anti-UBXN8 antibody at 0.5 μg/ml dilution.
-
ARG45296 anti-UBXN8 antibody FACS image
Flow Cytometry: RT4 stained with ARG45296 anti-UBXN8 antibody at 1 µg/10^6 cells dilution.
