ARG55836
anti-UCHL1 / PGP9.5 antibody
anti-UCHL1 / PGP9.5 antibody for Flow cytometry,ICC/IF,IHC-Formalin-fixed paraffin-embedded sections,Western blot and Human,Mouse,Rat
Overview
| Product Description | Rabbit Polyclonal antibody recognizes UCHL1 / PGP9.5 |
|---|---|
| Tested Reactivity | Hu, Ms, Rat |
| Predict Reactivity | Bov, Mk, Pig |
| Tested Application | FACS, ICC/IF, IHC-P, WB |
| Host | Rabbit |
| Clonality | Polyclonal |
| Isotype | IgG |
| Target Name | UCHL1 / PGP9.5 |
| Antigen Species | Human |
| Immunogen | KLH-conjugated synthetic peptide corresponding to aa. 187-216 (C-terminus) of Human UCHL1. |
| Conjugation | Un-conjugated |
| Alternate Names | PGP95; UCH-L1; PGP9.5; PARK5; Ubiquitin thioesterase L1; HEL-117; Neuron cytoplasmic protein 9.5; Uch-L1; EC 6.-.-.-; PGP 9.5; Ubiquitin carboxyl-terminal hydrolase isozyme L1; NDGOA; EC 3.4.19.12 |
Application Instructions
| Application Suggestion |
|
||||||||||
|---|---|---|---|---|---|---|---|---|---|---|---|
| Application Note | * The dilutions indicate recommended starting dilutions and the optimal dilutions or concentrations should be determined by the scientist. | ||||||||||
| Positive Control | SH-SY5Y |
Properties
| Form | Liquid |
|---|---|
| Purification | This antibody is prepared by Saturated Ammonium Sulfate (SAS) precipitation followed by dialysis against PBS. |
| Buffer | PBS and 0.09% (W/V) Sodium azide |
| Preservative | 0.09% (W/V) Sodium azide |
| Storage Instruction | For continuous use, store undiluted antibody at 2-8°C for up to a week. For long-term storage, aliquot and store at -20°C or below. Storage in frost free freezers is not recommended. Avoid repeated freeze/thaw cycles. Suggest spin the vial prior to opening. The antibody solution should be gently mixed before use. |
| Note | For laboratory research only, not for drug, diagnostic or other use. |
Bioinformation
| Database Links | |
|---|---|
| Gene Symbol | UCHL1 |
| Gene Full Name | ubiquitin carboxyl-terminal esterase L1 (ubiquitin thiolesterase) |
| Background | The protein encoded by this gene belongs to the peptidase C12 family. This enzyme is a thiol protease that hydrolyzes a peptide bond at the C-terminal glycine of ubiquitin. This gene is specifically expressed in the neurons and in cells of the diffuse neuroendocrine system. Mutations in this gene may be associated with Parkinson disease.[provided by RefSeq, Sep 2009] |
| Function | Ubiquitin-protein hydrolase involved both in the processing of ubiquitin precursors and of ubiquitinated proteins. This enzyme is a thiol protease that recognizes and hydrolyzes a peptide bond at the C-terminal glycine of ubiquitin. Also binds to free monoubiquitin and may prevent its degradation in lysosomes. The homodimer may have ATP-independent ubiquitin ligase activity. [UniProt] |
| Cellular Localization | Cytoplasm. Endoplasmic reticulum membrane; Lipid-anchor. Note=About 30% of total UCHL1 is associated with membranes in brain |
| Calculated MW | 25 kDa |
| PTM | O-glycosylated. |
Images (4) Click the Picture to Zoom In
-
ARG55836 anti-UCHL1 / PGP9.5 antibody ICC/IF image
Immunofluorescence: NCI-H460 cells stained with ARG55836 anti-UCHL1 / PGP9.5 antibody (green). DAPI (blue) for nuclear staining.
-
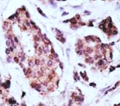
ARG55836 anti-UCHL1 / PGP9.5 antibody IHC-P image
Immunohistochemistry: Formalin-fixed and paraffin-embedded Human cancer tissue stained with ARG55836 anti-UCHL1 / PGP9.5 antibody.
-
ARG55836 anti-UCHL1 / PGP9.5 antibody WB image
Western blot: 35 µg of SH-SY5Y cell lysate stained with ARG55836 anti-UCHL1 / PGP9.5 antibody.
-
ARG55836 anti-UCHL1 / PGP9.5 antibody FACS image
Flow Cytometry: NCI-H460 cells stained with ARG55836 anti-UCHL1 / PGP9.5 antibody (right histogram) or without primary antibody control (left histogram), followed by incubation with FITC labelled secondary antibody.
