ARG65300
anti-UCHL1 / PGP9.5 antibody
anti-UCHL1 / PGP9.5 antibody for IHC-Formalin-fixed paraffin-embedded sections,Western blot and Human,Mouse,Rat
Cell Biology and Cellular Response antibody; Gene Regulation antibody; Neuroscience antibody
Overview
| Product Description | Goat Polyclonal antibody recognizes UCHL1 / PGP9.5 |
|---|---|
| Tested Reactivity | Hu, Ms, Rat |
| Predict Reactivity | Cow, Dog, Pig |
| Tested Application | IHC-P, WB |
| Host | Goat |
| Clonality | Polyclonal |
| Isotype | IgG |
| Target Name | UCHL1 / PGP9.5 |
| Antigen Species | Human |
| Immunogen | C-QHENFRKKQIE |
| Conjugation | Un-conjugated |
| Alternate Names | PGP95; UCH-L1; PGP9.5; PARK5; Ubiquitin thioesterase L1; HEL-117; Neuron cytoplasmic protein 9.5; Uch-L1; EC 6.-.-.-; PGP 9.5; Ubiquitin carboxyl-terminal hydrolase isozyme L1; NDGOA; EC 3.4.19.12 |
Application Instructions
| Application Suggestion |
|
||||||
|---|---|---|---|---|---|---|---|
| Application Note | WB: Recommend incubate at RT for 1h. IHC-P: Antigen Retrieval: Steam tissue section in Citrate buffer (pH 6.0). * The dilutions indicate recommended starting dilutions and the optimal dilutions or concentrations should be determined by the scientist. |
Properties
| Form | Liquid |
|---|---|
| Purification | Purified from goat serum by antigen affinity chromatography. |
| Buffer | Tris saline (pH 7.3), 0.02% Sodium azide and 0.5% BSA. |
| Preservative | 0.02% Sodium azide |
| Stabilizer | 0.5% BSA |
| Concentration | 0.5 mg/ml |
| Storage Instruction | For continuous use, store undiluted antibody at 2-8°C for up to a week. For long-term storage, aliquot and store at -20°C or below. Storage in frost free freezers is not recommended. Avoid repeated freeze/thaw cycles. Suggest spin the vial prior to opening. The antibody solution should be gently mixed before use. |
| Note | For laboratory research only, not for drug, diagnostic or other use. |
Bioinformation
| Database Links | |
|---|---|
| Background | The protein encoded by this gene belongs to the peptidase C12 family. This enzyme is a thiol protease that hydrolyzes a peptide bond at the C-terminal glycine of ubiquitin. This gene is specifically expressed in the neurons and in cells of the diffuse neuroendocrine system. Mutations in this gene may be associated with Parkinson disease.[provided by RefSeq, Sep 2009] |
| Research Area | Cell Biology and Cellular Response antibody; Gene Regulation antibody; Neuroscience antibody |
| Calculated MW | 25 kDa |
| PTM | O-glycosylated. |
Images (3) Click the Picture to Zoom In
-
ARG65300 anti-UCHL1 / PGP9.5 antibody WB image
Western blot: Human Hippocampus lysate (35 µg protein in RIPA buffer) stained with ARG65300 anti-UCHL1 / PGP9.5 antibody at 0.01 µg/ml dilution.
-
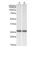
ARG65300 anti-UCHL1 / PGP9.5 antibody WB image
Western blot: Mouse (A) and Rat (B) Brain lysates (35 µg protein in RIPA buffer) stained with ARG65300 anti-UCHL1 / PGP9.5 antibody at 0.01 µg/ml dilution.
-
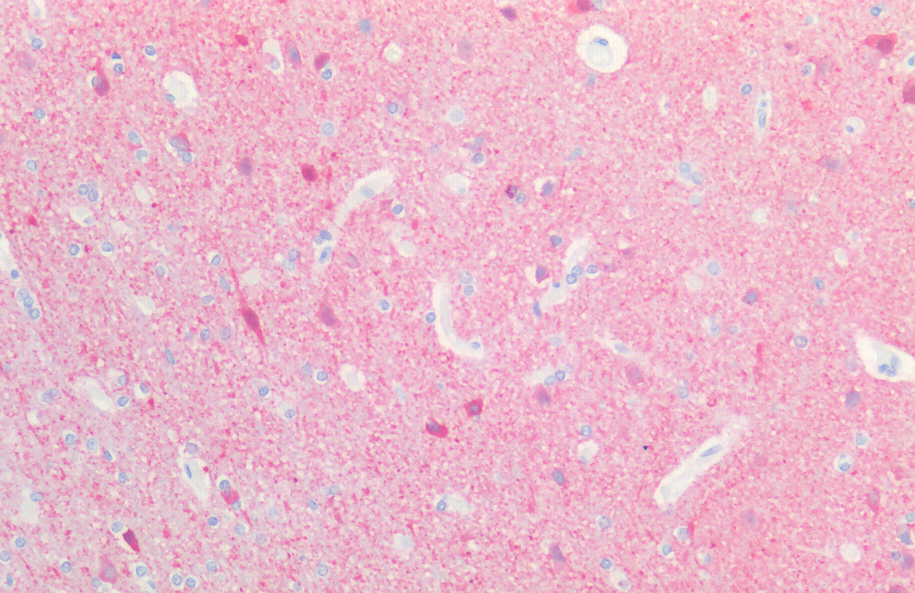
ARG65300 anti-UCHL1 / PGP9.5 antibody IHC-P image
Immunohistochemistry: Paraffin-embedded Human cortex tissue. Antigen Retrieval: Steam tissue section in Citrate buffer (pH 6.0). The tissue section was stained with ARG65300 anti-UCHL1 / PGP9.5 antibody at 2.5 µg/ml dilution followed by AP-staining.
