ARG59306
anti-UGT1A1 antibody
anti-UGT1A1 antibody for IHC-Formalin-fixed paraffin-embedded sections,Western blot and Human,Mouse,Rat
Overview
| Product Description | Rabbit Polyclonal antibody recognizes UGT1A1 |
|---|---|
| Tested Reactivity | Hu, Ms, Rat |
| Tested Application | IHC-P, WB |
| Host | Rabbit |
| Clonality | Polyclonal |
| Isotype | IgG |
| Target Name | UGT1A1 |
| Antigen Species | Human |
| Immunogen | Recombinant protein corresponding to E316-H533 of Human UGT1A1. |
| Conjugation | Un-conjugated |
| Alternate Names | EC 2.4.1.17; UGT1; HUG-BR1; Bilirubin-specific UDPGT isozyme 1; UGT1A; BILIQTL1; UDP-glucuronosyltransferase 1-A; UDP-glucuronosyltransferase 1A1; hUG-BR1; UGT1-01; UDPGT 1-1; UGT-1A; UGT1*1; UGT1.1; GNT1; UDPGT; UDP-glucuronosyltransferase 1-1 |
Application Instructions
| Application Suggestion |
|
||||||
|---|---|---|---|---|---|---|---|
| Application Note | IHC-P: Antigen Retrieval: Heat mediated was performed in Citrate buffer (pH 6.0) for 20 min. * The dilutions indicate recommended starting dilutions and the optimal dilutions or concentrations should be determined by the scientist. |
Properties
| Form | Liquid |
|---|---|
| Purification | Affinity purification with immunogen. |
| Buffer | 0.9% NaCl, 0.2% Na2HPO4, 0.05% Sodium azide and 4% Trehalose. |
| Preservative | 0.05% Sodium azide |
| Stabilizer | 4% Trehalose |
| Concentration | 0.5 mg/ml |
| Storage Instruction | For continuous use, store undiluted antibody at 2-8°C for up to a week. For long-term storage, aliquot and store at -20°C or below. Storage in frost free freezers is not recommended. Avoid repeated freeze/thaw cycles. Suggest spin the vial prior to opening. The antibody solution should be gently mixed before use. |
| Note | For laboratory research only, not for drug, diagnostic or other use. |
Bioinformation
| Database Links | |
|---|---|
| Gene Symbol | UGT1A1 |
| Gene Full Name | UDP glucuronosyltransferase 1 family, polypeptide A1 |
| Background | This gene encodes a UDP-glucuronosyltransferase, an enzyme of the glucuronidation pathway that transforms small lipophilic molecules, such as steroids, bilirubin, hormones, and drugs, into water-soluble, excretable metabolites. This gene is part of a complex locus that encodes several UDP-glucuronosyltransferases. The locus includes thirteen unique alternate first exons followed by four common exons. Four of the alternate first exons are considered pseudogenes. Each of the remaining nine 5' exons may be spliced to the four common exons, resulting in nine proteins with different N-termini and identical C-termini. Each first exon encodes the substrate binding site, and is regulated by its own promoter. The preferred substrate of this enzyme is bilirubin, although it also has moderate activity with simple phenols, flavones, and C18 steroids. Mutations in this gene result in Crigler-Najjar syndromes types I and II and in Gilbert syndrome. [provided by RefSeq, Jul 2008] |
| Function | UDPGT is of major importance in the conjugation and subsequent elimination of potentially toxic xenobiotics and endogenous compounds. This isoform glucuronidates bilirubin IX-alpha to form both the IX-alpha-C8 and IX-alpha-C12 monoconjugates and diconjugate. Is also able to catalyze the glucuronidation of 17beta-estradiol, 17alpha-ethinylestradiol, 1-hydroxypyrene, 4-methylumbelliferone, 1-naphthol, paranitrophenol, scopoletin, and umbelliferone. Isoform 2 lacks transferase activity but acts as a negative regulator of isoform 1. [UniProt] |
| Cellular Localization | Isoform 1: Microsome. Endoplasmic reticulum membrane; Single-pass membrane protein. Isoform 2: Microsome. Endoplasmic reticulum. [UniProt] |
| Calculated MW | 60 kDa |
Images (5) Click the Picture to Zoom In
-
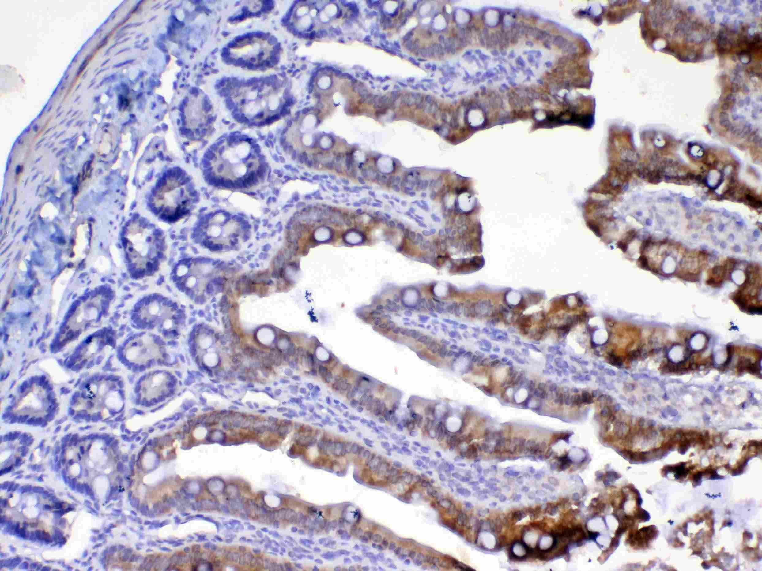
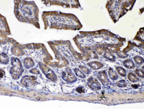
ARG59306 anti-UGT1A1 antibody IHC-P image
Immunohistochemistry: Paraffin-embedded Rat small intestine tissue. Antigen Retrieval: Heat mediated was performed in Citrate buffer (pH 6.0, epitope retrieval solution) for 20 min. The tissue section was blocked with 10% goat serum. The tissue section was then stained with ARG59306 anti-UGT1A1 antibody at 1 ug/ml, overnight at 4°C.
-
ARG59306 anti-UGT1A1 antibody WB image
Western blot: 50 ug of samples under reducing conditions. Rat liver, Rat kidney, Mouse liver and Mouse kidney lysates stained with ARG59306 anti-UGT1A1 antibody at 0.5 ug/ml, overnight at 4°C.
-
ARG59306 anti-UGT1A1 antibody IHC-P image
Immunohistochemistry: Paraffin-embedded Human rectal cancer tissue. Antigen Retrieval: Heat mediated was performed in Citrate buffer (pH 6.0, epitope retrieval solution) for 20 min. The tissue section was blocked with 10% goat serum. The tissue section was then stained with ARG59306 anti-UGT1A1 antibody at 1 ug/ml, overnight at 4°C.
-
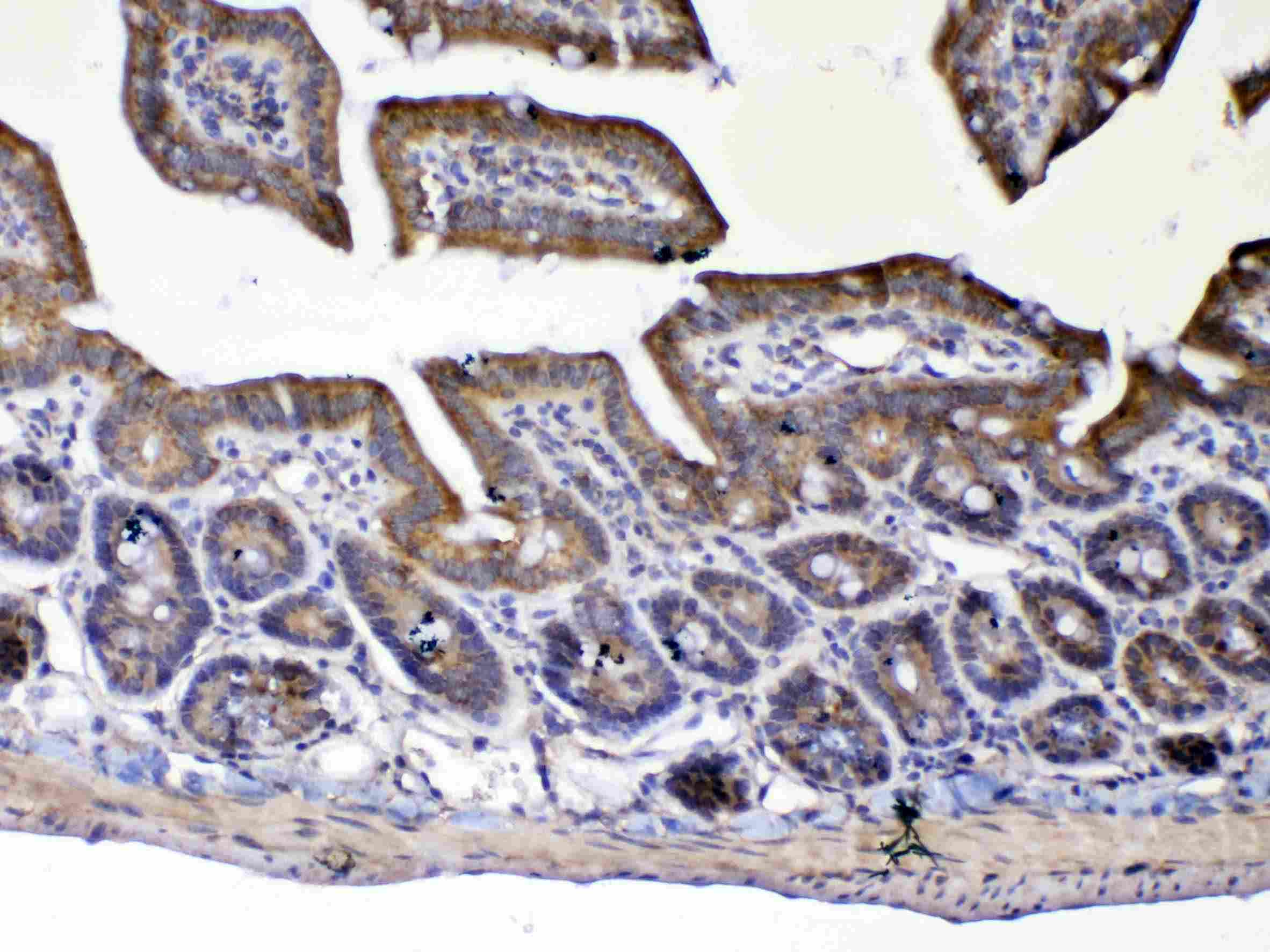
ARG59306 anti-UGT1A1 antibody IHC-P image
Immunohistochemistry: Paraffin-embedded Mouse small intestine tissue. Antigen Retrieval: Heat mediated was performed in Citrate buffer (pH 6.0, epitope retrieval solution) for 20 min. The tissue section was blocked with 10% goat serum. The tissue section was then stained with ARG59306 anti-UGT1A1 antibody at 1 ug/ml, overnight at 4°C.
-
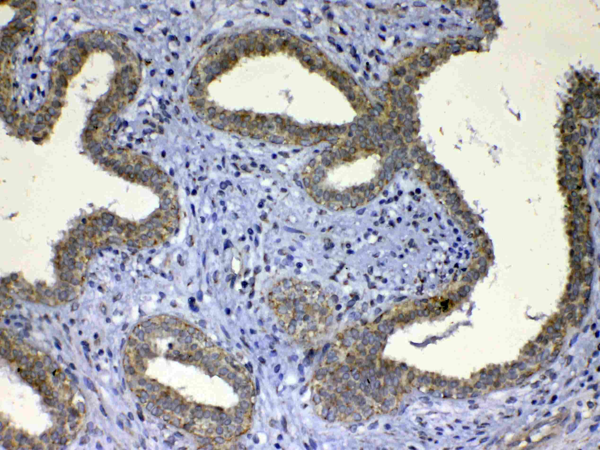
ARG59306 anti-UGT1A1 antibody IHC-P image
Immunohistochemistry: Paraffin-embedded Human mammary cancer tissue. Antigen Retrieval: Heat mediated was performed in Citrate buffer (pH 6.0, epitope retrieval solution) for 20 min. The tissue section was blocked with 10% goat serum. The tissue section was then stained with ARG59306 anti-UGT1A1 antibody at 1 ug/ml, overnight at 4°C.
