ARG54949
anti-ULK3 antibody
anti-ULK3 antibody for ELISA,ICC/IF,IHC-Formalin-fixed paraffin-embedded sections,Western blot and Human
Signaling Transduction antibody
Overview
| Product Description | Rabbit Polyclonal antibody recognizes ULK3 |
|---|---|
| Tested Reactivity | Hu |
| Tested Application | ELISA, ICC/IF, IHC-P, WB |
| Specificity | ULK3 antibody is human specific. Multiple isoforms of ULK3 are known to exist. |
| Host | Rabbit |
| Clonality | Polyclonal |
| Isotype | IgG |
| Target Name | ULK3 |
| Antigen Species | Human |
| Immunogen | Synthetic peptide (19 aa) within aa. 230-280 of Human ULK3. |
| Conjugation | Un-conjugated |
| Alternate Names | EC 2.7.11.1; Unc-51-like kinase 3; Serine/threonine-protein kinase ULK3 |
Application Instructions
| Application Suggestion |
|
||||||||||
|---|---|---|---|---|---|---|---|---|---|---|---|
| Application Note | * The dilutions indicate recommended starting dilutions and the optimal dilutions or concentrations should be determined by the scientist. | ||||||||||
| Positive Control | Human Brain Tissue Lysate |
Properties
| Form | Liquid |
|---|---|
| Purification | Affinity purification with immunogen. |
| Buffer | PBS and 0.02% Sodium azide |
| Preservative | 0.02% Sodium azide |
| Concentration | 1 mg/ml |
| Storage Instruction | For continuous use, store undiluted antibody at 2-8°C for up to a week. For long-term storage, aliquot and store at -20°C or below. Storage in frost free freezers is not recommended. Avoid repeated freeze/thaw cycles. Suggest spin the vial prior to opening. The antibody solution should be gently mixed before use. |
| Note | For laboratory research only, not for drug, diagnostic or other use. |
Bioinformation
| Database Links |
Swiss-port # Q6PHR2 Human Serine/threonine-protein kinase ULK3 |
|---|---|
| Gene Symbol | ULK3 |
| Gene Full Name | unc-51 like kinase 3 |
| Background | ULK3 belongs to the Ser/Thr protein kinase superfamily and plays a role in the ATP-dependent phosphorylation of target proteins. Knockout of ULK genes results in a severe defect in the autophagy pathway. ULK3, like the other Unc-51-like kinases such as ULK1, ULK2 and ULK4, is highly conserved among eukaryotes. ULK3 has been shown to be a positive regulator of the Hedgehog signaling pathway by enhancing GLI1 and GLI2 transcriptional activity. Furthermore, ULK3 can also interact with SUFU, a protein required for the negative regulation of GLI proteins; this interaction blocks the autophosphorylation of ULK3 and blocks its ability to regulate the GLI proteins. |
| Function | Serine/threonine protein kinase that acts as a regulator of Sonic hedgehog (SHH) signaling and autophagy. Acts as a negative regulator of SHH signaling in the absence of SHH ligand: interacts with SUFU, thereby inactivating the protein kinase activity and preventing phosphorylation of GLI proteins (GLI1, GLI2 and/or GLI3). Positively regulates SHH signaling in the presence of SHH: dissociates from SUFU, autophosphorylates and mediates phosphorylation of GLI2, activating it and promoting its nuclear translocation. Phosphorylates in vitro GLI2, as well as GLI1 and GLI3, although less efficiently. Also acts as a regulator of autophagy: following cellular senescence, able to induce autophagy. [UniProt] |
| Research Area | Signaling Transduction antibody |
| Calculated MW | 53 kDa |
| PTM | Autophosphorylated. Autophosphorylation is blocked by interaction with SUFU. |
Images (3) Click the Picture to Zoom In
-
ARG54949 anti-ULK3 antibody WB image
Western blot: human brain tissue lysate stained with ARG54949 anti-ULK3 antibody at (A) 0.5 and (B) 1 ug/ml dilution.
-
ARG54949 anti-ULK3 antibody IHC image
Immunohistochemistry: ULK3 in human brain tissue stained with ARG54949 anti-ULK3 antibody at 20 ug/ml dilution.
-
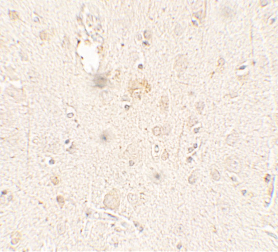
ARG54949 anti-ULK3 antibody IHC image
Immunohistochemistry: ULK3 in human brain tissue stained with ARG54949 anti-ULK3 antibody at 5 ug/ml dilution.
