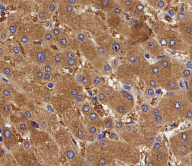
ARG44984
anti-UPB1 antibody
anti-UPB1 antibody for IHC-Formalin-fixed paraffin-embedded sections,Western blot and Human,Rat
Overview
| Product Description | Mouse Monoclonal antibody recognizes UPB1 |
|---|---|
| Tested Reactivity | Hu, Rat |
| Tested Application | IHC-P, WB |
| Host | Mouse |
| Clonality | Monoclonal |
| Isotype | IgG2a |
| Target Name | UPB1 |
| Antigen Species | Human |
| Epitope | MAGAEWKSLE ECLEKHLPLP DLQEVKRVLY GKELRKLDLP REAFEAASRE DFELQGYAFE AAEEQLRRPR IVHVGLVQNR IPLPANAPVA EQVSALHRRI KAIVEVAAMC GVNIICFQEA WTMPFAFCTR EKLPWTEFAE SAEDGPTTRF CQKLAKNHDM VVVSPILERD SEHGDVLWNT AVVISNSGAV LGKTRKNHIP RVGDFNESTY YMEGNLGHPV FQTQFGRIAV NICYGRHHPL NWLMYSINGA EIIFNPSATI GALSESLWPI EARNAAIANH CFTCAINRVG TEHFPNEFTS GDGKKAHQDF GYFYGSSYVA APDSSRTPGL SRSRDGLLVA KLDLNLCQQV NDVWNFKMTG RYEMYARELA EAVKSNYSPT IVKE |
| Conjugation | Un-conjugated |
| Alternate Names | UPB1; Beta-Ureidopropionase1; BUP1; N-Carbamoyl-Beta-Alanine Amidohydrolase; Ureidopropionase, Beta; Beta-Ureidopropionase; Beta-Alanine Synthase; EC3.5.1.6; BUP-1 |
Application Instructions
| Application Suggestion |
|
||||||
|---|---|---|---|---|---|---|---|
| Application Note | * The dilutions indicate recommended starting dilutions and the optimal dilutions or concentrations should be determined by the scientist. |
Properties
| Form | Liquid |
|---|---|
| Purification | Protein A purification |
| Buffer | PBS with0.09% sodium azide |
| Preservative | 0.09% sodium azide |
| Storage Instruction | For continuous use, store undiluted antibody at2-8°C for up to a week. For long-term storage, aliquot and store at -20°C or below. Storage in frost free freezers is not recommended. Avoid repeated freeze/thaw cycles. Suggest spin the vial prior to opening. The antibody solution should be gently mixed before use. |
| Note | For laboratory research only, not for drug, diagnostic or other use. |
Bioinformation
| Database Links | |
|---|---|
| Gene Symbol | UPB1 |
| Gene Full Name | Beta-Ureidopropionase1 |
| Background | This gene encodes a protein that belongs to the CN hydrolase family. Beta-ureidopropionase catalyzes the last step in the pyrimidine degradation pathway. The pyrimidine bases uracil and thymine are degraded via the consecutive action of dihydropyrimidine dehydrogenase (DHPDH), dihydropyrimidinase (DHP) and beta-ureidopropionase (UP) to beta-alanine and beta-aminoisobutyric acid, respectively. UP deficiencies are associated with N-carbamyl-beta-amino aciduria and may lead to abnormalities in neurological activity. [provided by RefSeq, Jul2008] |
| Function | Likewise, converts N-carbamoyl-beta-aminoisobutyrate (3-ureidoisobutyrate) into beta-aminoisobutyrate, ammonia and carbon dioxide. [Uniprot] |
| Cellular Localization | Cytoplasm. [Uniprot] |
| PTM | Phosphoprotein. [Uniprot] |
Images (2) Click the Picture to Zoom In
