ARG55005
anti-VAMP8 antibody [1414CT354.12.23.93]
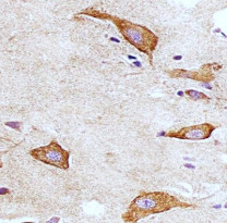
anti-VAMP8 antibody [1414CT354.12.23.93] for IHC-Formalin-fixed paraffin-embedded sections,Western blot and Human
Immune System antibody; Neuroscience antibody
Overview
| Product Description | Mouse Monoclonal antibody recognizes VAMP8 |
|---|---|
| Tested Reactivity | Hu |
| Tested Application | IHC-P, WB |
| Host | Mouse |
| Clonality | Monoclonal |
| Clone | 1414CT354.12.23.93 |
| Isotype | IgG1, kappa |
| Target Name | VAMP8 |
| Antigen Species | Human |
| Immunogen | KLH-conjugated synthetic peptide corresponding to aa. 2-24 of Human VAMP8. |
| Conjugation | Un-conjugated |
| Alternate Names | EDB; Vesicle-associated membrane protein 8; Endobrevin; VAMP-8 |
Application Instructions
| Application Suggestion |
|
||||||
|---|---|---|---|---|---|---|---|
| Application Note | * The dilutions indicate recommended starting dilutions and the optimal dilutions or concentrations should be determined by the scientist. | ||||||
| Positive Control | A431 |
Properties
| Form | Liquid |
|---|---|
| Purification | Purification with Protein G. |
| Buffer | PBS and 0.09% (W/V) Sodium azide |
| Preservative | 0.09% (W/V) Sodium azide |
| Storage Instruction | For continuous use, store undiluted antibody at 2-8°C for up to a week. For long-term storage, aliquot and store at -20°C or below. Storage in frost free freezers is not recommended. Avoid repeated freeze/thaw cycles. Suggest spin the vial prior to opening. The antibody solution should be gently mixed before use. |
| Note | For laboratory research only, not for drug, diagnostic or other use. |
Bioinformation
| Database Links |
Swiss-port # Q9BV40 Human Vesicle-associated membrane protein 8 |
|---|---|
| Gene Symbol | VAMP8 |
| Gene Full Name | vesicle-associated membrane protein 8 |
| Background | This gene encodes an integral membrane protein that belongs to the synaptobrevin/vesicle-associated membrane protein subfamily of soluble N-ethylmaleimide-sensitive factor attachment protein receptors (SNAREs). The encoded protein is involved in the fusion of synaptic vesicles with the presynaptic membrane.[provided by RefSeq, Jun 2010] |
| Function | SNAREs, soluble N-ethylmaleimide-sensitive factor-attachment protein receptors, are essential proteins for fusion of cellular membranes. SNAREs localized on opposing membranes assemble to form a trans-SNARE complex, an extended, parallel four alpha-helical bundle that drives membrane fusion. VAMP8 is a SNARE involved in autophagy through the direct control of autophagosome membrane fusion with the lysososome membrane via its interaction with the STX17-SNAP29 binary t-SNARE complex (PubMed:23217709, PubMed:25686604). Also required for dense-granule secretion in platelets (PubMed:12130530). Plays also a role in regulated enzyme secretion in pancreatic acinar cells (By similarity). Involved in the abscission of the midbody during cell division, which leads to completely separate daughter cells (By similarity). Involved in the homotypic fusion of early and late endosomes (By similarity). [UniProt] |
| Cellular Localization | Cell membrane, Cytoplasmic vesicle, Endosome, Lysosome, Membrane |
| Research Area | Immune System antibody; Neuroscience antibody |
| Calculated MW | 11 kDa |
Images (2) Click the Picture to Zoom In
