ARG43426
anti-VASH1 antibody
anti-VASH1 antibody for IHC-Formalin-fixed paraffin-embedded sections,Western blot and Human,Mouse
Overview
| Product Description | Rabbit Polyclonal antibody recognizes VASH1 |
|---|---|
| Tested Reactivity | Hu, Ms |
| Predict Reactivity | Rat |
| Tested Application | IHC-P, WB |
| Host | Rabbit |
| Clonality | Polyclonal |
| Isotype | IgG |
| Target Name | VASH1 |
| Antigen Species | Human |
| Immunogen | A 19-amino acid synthetic peptide within aa. 290-340 of Human VASH1. |
| Conjugation | Un-conjugated |
| Alternate Names | KIAA1036; Vasohibin-1 |
Application Instructions
| Application Suggestion |
|
||||||
|---|---|---|---|---|---|---|---|
| Application Note | * The dilutions indicate recommended starting dilutions and the optimal dilutions or concentrations should be determined by the scientist. | ||||||
| Positive Control | Human brain | ||||||
| Observed Size | ~ 31 kDa |
Properties
| Form | Liquid |
|---|---|
| Purification | Affinity purification with immunogen. |
| Buffer | PBS and 0.02% Sodium azide. |
| Preservative | 0.02% Sodium azide |
| Concentration | 1 mg/ml |
| Storage Instruction | For continuous use, store undiluted antibody at 2-8°C for up to a week. For long-term storage, aliquot and store at -20°C or below. Storage in frost free freezers is not recommended. Avoid repeated freeze/thaw cycles. Suggest spin the vial prior to opening. The antibody solution should be gently mixed before use. |
| Note | For laboratory research only, not for drug, diagnostic or other use. |
Bioinformation
| Database Links | |
|---|---|
| Gene Symbol | VASH1 |
| Gene Full Name | vasohibin 1 |
| Function | Tyrosine carboxypeptidase that removes the C-terminal tyrosine residue of alpha-tubulin, thereby regulating microtubule dynamics and function (PubMed:29146869). Acts as an angiogenesis inhibitor: inhibits migration, proliferation and network formation by endothelial cells as well as angiogenesis (PubMed:15467828, PubMed:16488400, PubMed:16707096, PubMed:19204325). This inhibitory effect is selective to endothelial cells as it does not affect the migration of smooth muscle cells or fibroblasts (PubMed:15467828, PubMed:16488400, PubMed:16707096). [UniProt] |
| Cellular Localization | Secreted. [UniProt] |
| Calculated MW | 41 kDa |
| PTM | 2 major forms (42 and 36 kDa) and 2 minors (32 and 27 kDa) may be processed by proteolytic cleavage. The largest form (42 kDa) seems to be secreted and the other major form (63 kDa) seems to accumulate within the cells or pericellular milieu. Polypeptide consisting of Met-77 to Arg-318 may correspond to the 27 kDa form and that consisting of Met-77 to Val-365 may correspond to the 36 kDa form. Ubiquitinated in vitro. [UniProt] |
Images (2) Click the Picture to Zoom In
-
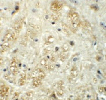
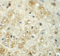
ARG43426 anti-VASH1 antibody IHC-P image
Immunohistochemistry: Paraffin-embedded Mouse brain tissue stained with ARG43426 anti-VASH1 antibody at 5 µg/ml dilution.
-
ARG43426 anti-VASH1 antibody WB image
Western blot: Human brain lysate stained with ARG43426 anti-VASH1 antibody at 1 µg/ml dilution, in the absence (left) and the presence of blocking peptide (right).
