ARG65788
anti-VASP antibody
anti-VASP antibody for ICC/IF,IHC-Formalin-fixed paraffin-embedded sections,Western blot and Human,Mouse,Rat
Overview
| Product Description | Rabbit Polyclonal antibody recognizes VASP |
|---|---|
| Tested Reactivity | Hu, Ms, Rat |
| Predict Reactivity | Bov, Dog |
| Tested Application | ICC/IF, IHC-P, WB |
| Specificity | Recognizes endogenous levels of VASP protein. |
| Host | Rabbit |
| Clonality | Polyclonal |
| Isotype | IgG |
| Target Name | VASP |
| Antigen Species | Human |
| Immunogen | KLH-conjugated synthetic peptide around the center region of Human VASP. |
| Conjugation | Un-conjugated |
| Alternate Names | VASP; Vasodilator-stimulated phosphoprotein |
Application Instructions
| Application Suggestion |
|
||||||||
|---|---|---|---|---|---|---|---|---|---|
| Application Note | IHC-P: Antigen Retrieval: Sodium citrate buffer (pH 6.0) * The dilutions indicate recommended starting dilutions and the optimal dilutions or concentrations should be determined by the scientist. |
Properties
| Form | Liquid |
|---|---|
| Purification | Affinity purification with immunogen. |
| Buffer | Aqueous liquid (pH 7.3), 0.42% Potassium phosphate, 0.87% Sodium chloride, 0.01% Sodium azide and 30% Glycerol. |
| Preservative | 0.01% Sodium azide |
| Stabilizer | 30% Glycerol |
| Storage Instruction | For continuous use, store undiluted antibody at 2-8°C for up to a week. For long-term storage, aliquot and store at -20°C. Storage in frost free freezers is not recommended. Avoid repeated freeze/thaw cycles. Suggest spin the vial prior to opening. The antibody solution should be gently mixed before use. |
| Note | For laboratory research only, not for drug, diagnostic or other use. |
Bioinformation
| Database Links |
Swiss-port # P50552 Human Vasodilator-stimulated phosphoprotein Swiss-port # P70460 Mouse Vasodilator-stimulated phosphoprotein |
|---|---|
| Gene Symbol | VASP |
| Gene Full Name | vasodilator-stimulated phosphoprotein |
| Background | Vasodilator-stimulated phosphoprotein (VASP) is a member of the Ena-VASP protein family. Ena-VASP family members contain an EHV1 N-terminal domain that binds proteins containing E/DFPPPPXD/E motifs and targets Ena-VASP proteins to focal adhesions. In the mid-region of the protein, family members have a proline-rich domain that binds SH3 and WW domain-containing proteins. Their C-terminal EVH2 domain mediates tetramerization and binds both G and F actin. VASP is associated with filamentous actin formation and likely plays a widespread role in cell adhesion and motility. VASP may also be involved in the intracellular signaling pathways that regulate integrin-extracellular matrix interactions. VASP is regulated by the cyclic nucleotide-dependent kinases PKA and PKG. [provided by RefSeq, Jul 2008] |
| Function | Ena/VASP proteins are actin-associated proteins involved in a range of processes dependent on cytoskeleton remodeling and cell polarity such as axon guidance, lamellipodial and filopodial dynamics, platelet activation and cell migration. VASP promotes actin filament elongation. It protects the barbed end of growing actin filaments against capping and increases the rate of actin polymerization in the presence of capping protein. VASP stimulates actin filament elongation by promoting the transfer of profilin-bound actin monomers onto the barbed end of growing actin filaments. Plays a role in actin-based mobility of Listeria monocytogenes in host cells. Regulates actin dynamics in platelets and plays an important role in regulating platelet aggregation. [UniProt] |
| Calculated MW | 40 kDa |
| PTM | Major substrate for cAMP-dependent (PKA) and cGMP-dependent protein kinase (PKG) in platelets. The preferred site for PKA is Ser-157, the preferred site for PKG/PRKG1, Ser-239. In ADP-activated platelets, phosphorylation by PKA or PKG on Ser-157 leads to fibrinogen receptor inhibition. Phosphorylation on Thr-278 requires prior phosphorylation on Ser-157 and Ser-239. In response to phorbol ester (PMA) stimulation, phosphorylated by PKC/PRKCA. In response to thrombin, phosphorylated by both PKC and ROCK1. Phosphorylation at Thr-278 by AMPK does not require prior phosphorylation at Ser-157 or Ser-239. Phosphorylation at Ser-157 by PKA is required for localization to the tight junctions in epithelial cells. Phosphorylation modulates F-actin binding, actin filament elongation and platelet activation. Phosphorylation at Ser-322 by AMPK also alters actin filament binding. Carbon monoxide (CO) promotes phosphorylation at Ser-157, while nitric oxide (NO) promotes phosphorylation at Ser-157, but also at Ser-239. Response to NO and CO is blunted in platelets from diabetic patients, and VASP is not phosphorylated efficiently at Ser-157 and Ser-239. |
Images (3) Click the Picture to Zoom In
-
ARG65788 anti-VASP antibody ICC/IF image
Immunocytochemistry: Formalin-fixed HepG2 cells were permeabilized with 0.1% Triton X-100 in TBS for 5-10 min and blocked with 3% BSA-PBS for 30 min at RT. Cells were stained with ARG65788 anti-VASP antibody in 3% BSA-PBS and incubated overnight at 4°C in a humidified chamber. Cells were washed with PBST and incubated with a DyLight 594-conjugated secondary antibody (red) in PBS at RT in the dark. DAPI was used to stain the cell nuclei (blue).
-
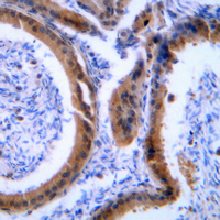
ARG65788 anti-VASP antibody IHC-P image
Immunohistochemistry: Formalin-fixed, paraffin-embedded Human tonsil tissue section. Antigen retrieval with Sodium citrate buffer (pH 6.0). The section was stained with ARG65788 anti-VASP antibody at RT and detected using an HRP conjugated compact polymer system. DAB was used as the chromogen. The section was then counterstained with haematoxylin and mounted with DPX.
-
ARG65788 anti-VASP antibody WB image
Western blot: HEK293T, HepG2, NIH3T3, and PC12 whole cell lysates stained with ARG65788 anti-VASP antibody.
