ARG63329
anti-VAV2 antibody
anti-VAV2 antibody for IHC-Formalin-fixed paraffin-embedded sections,Western blot and Human
Cancer antibody; Gene Regulation antibody; Signaling Transduction antibody
Overview
| Product Description | Goat Polyclonal antibody recognizes VAV2 |
|---|---|
| Tested Reactivity | Hu |
| Predict Reactivity | Ms, Rat, Dog, Pig |
| Tested Application | IHC-P, WB |
| Specificity | This antobody is expected to recognise both reported isoforms (NP_001127870.1 and NP_003362.2). |
| Host | Goat |
| Clonality | Polyclonal |
| Isotype | IgG |
| Target Name | VAV2 |
| Antigen Species | Human |
| Immunogen | ETEAKYYRTLEDIEC |
| Conjugation | Un-conjugated |
| Alternate Names | Guanine nucleotide exchange factor VAV2; VAV-2 |
Application Instructions
| Application Suggestion |
|
||||||
|---|---|---|---|---|---|---|---|
| Application Note | WB: Recommend incubate at RT for 1h. IHC-P: Antigen Retrieval: Steam tissue section in Citrate buffer (pH 6.0). * The dilutions indicate recommended starting dilutions and the optimal dilutions or concentrations should be determined by the scientist. |
Properties
| Form | Liquid |
|---|---|
| Purification | Purified from goat serum by antigen affinity chromatography. |
| Buffer | Tris saline (pH 7.3), 0.02% Sodium azide and 0.5% BSA. |
| Preservative | 0.02% Sodium azide |
| Stabilizer | 0.5% BSA |
| Concentration | 0.5 mg/ml |
| Storage Instruction | For continuous use, store undiluted antibody at 2-8°C for up to a week. For long-term storage, aliquot and store at -20°C or below. Storage in frost free freezers is not recommended. Avoid repeated freeze/thaw cycles. Suggest spin the vial prior to opening. The antibody solution should be gently mixed before use. |
| Note | For laboratory research only, not for drug, diagnostic or other use. |
Bioinformation
| Database Links |
Swiss-port # P52735 Human Guanine nucleotide exchange factor VAV2 |
|---|---|
| Background | VAV2 is the second member of the VAV guanine nucleotide exchange factor family of oncogenes. Unlike VAV1, which is expressed exclusively in hematopoietic cells, VAV2 transcripts were found in most tissues. Alternatively spliced transcript variants encoding different isoforms have been found for this gene. [provided by RefSeq, Aug 2008] |
| Research Area | Cancer antibody; Gene Regulation antibody; Signaling Transduction antibody |
| Calculated MW | 101 kDa |
| PTM | Phosphorylated on tyrosine residues in response to FGR activation. |
Images (2) Click the Picture to Zoom In
-
ARG63329 anti-VAV2 antibody WB image
Western Blot: 293 lysate (RIPA buffer, 30µg total protein per lane) stained with ARG63329 anti-VAV2 antibody at 1.5 µg/ml dilution.
-
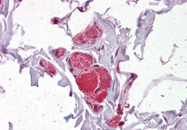
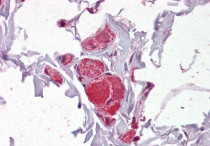
ARG63329 anti-VAV2 antibody IHC-P image
Immunohistochemistry: Paraffin-embedded Human colon tissue. Antigen Retrieval: Steam tissue section in Citrate buffer (pH 6.0). The tissue section was stained with ARG63329 anti-VAV2 antibody at 2.5 µg/ml dilution followed by AP-staining.
