ARG63630
anti-VAV3 antibody
anti-VAV3 antibody for IHC-Formalin-fixed paraffin-embedded sections,Western blot and Human
Cancer antibody; Signaling Transduction antibody
Overview
| Product Description | Goat Polyclonal antibody recognizes VAV3 |
|---|---|
| Tested Reactivity | Hu |
| Tested Application | IHC-P, WB |
| Specificity | This antibody is expected to recognize both reported isoforms (NP_006104.4; NP_001073343.1). |
| Host | Goat |
| Clonality | Polyclonal |
| Isotype | IgG |
| Target Name | VAV3 |
| Antigen Species | Human |
| Immunogen | CSGEQGTLKLPEK |
| Conjugation | Un-conjugated |
| Alternate Names | Guanine nucleotide exchange factor VAV3; VAV-3 |
Application Instructions
| Application Suggestion |
|
||||||
|---|---|---|---|---|---|---|---|
| Application Note | WB: Recommend incubate at RT for 1h. IHC-P: Antigen Retrieval: Heat mediation was performed in Citrate buffer (pH 6.0). * The dilutions indicate recommended starting dilutions and the optimal dilutions or concentrations should be determined by the scientist. |
Properties
| Form | Liquid |
|---|---|
| Purification | Purified from goat serum by antigen affinity chromatography. |
| Buffer | Tris saline (pH 7.3), 0.02% Sodium azide and 0.5% BSA. |
| Preservative | 0.02% Sodium azide |
| Stabilizer | 0.5% BSA |
| Concentration | 0.5 mg/ml |
| Storage Instruction | For continuous use, store undiluted antibody at 2-8°C for up to a week. For long-term storage, aliquot and store at -20°C or below. Storage in frost free freezers is not recommended. Avoid repeated freeze/thaw cycles. Suggest spin the vial prior to opening. The antibody solution should be gently mixed before use. |
| Note | For laboratory research only, not for drug, diagnostic or other use. |
Bioinformation
| Database Links |
Swiss-port # Q9UKW4 Human Guanine nucleotide exchange factor VAV3 |
|---|---|
| Background | This gene is a member of the VAV gene family. The VAV proteins are guanine nucleotide exchange factors (GEFs) for Rho family GTPases that activate pathways leading to actin cytoskeletal rearrangements and transcriptional alterations. This gene product acts as a GEF preferentially for RhoG, RhoA, and to a lesser extent, RAC1, and it associates maximally with the nucleotide-free states of these GTPases. Alternatively spliced transcript variants encoding different isoforms have been described for this gene. [provided by RefSeq, Jul 2008] |
| Research Area | Cancer antibody; Signaling Transduction antibody |
| Calculated MW | 98 kDa |
| PTM | Phosphorylated. Phosphorylation can be mediated by ROS1. In osteoclasts, undergoes tyrosine phosphorylation in response to CSF1 (By similarity). |
Images (2) Click the Picture to Zoom In
-
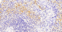
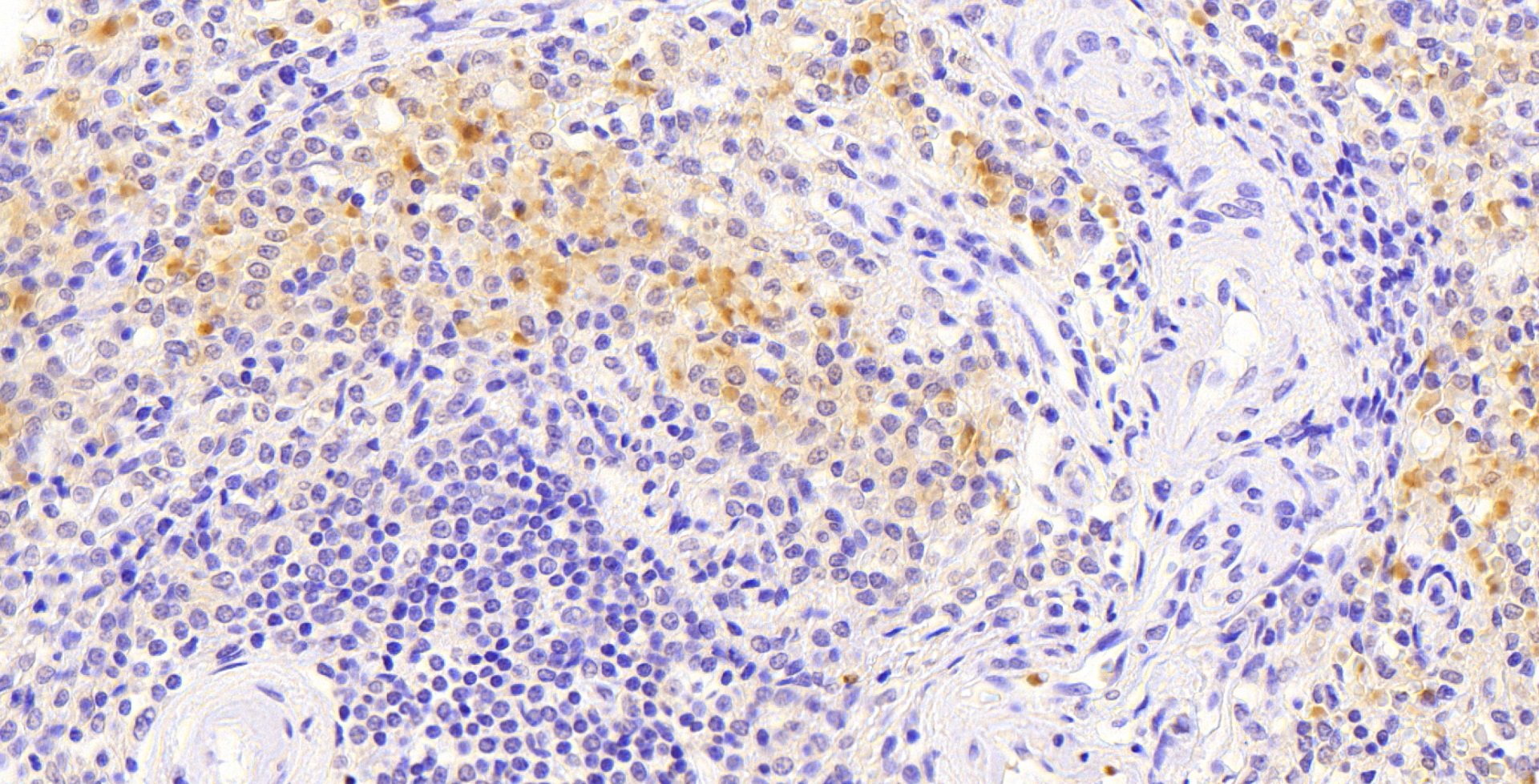
ARG63630 anti-VAV3 antibody IHC-P image
Immunohistochemistry: Paraffin-embedded Human spleen tissue. Antigen Retrieval: Heat mediation was performed in Citrate buffer (pH 6.0). The tissue section was stained with ARG63630 anti-VAV3 antibody at 7.5 µg/ml dilution followed by HRP-staining.
-
ARG63630 anti-VAV3 antibody WB image
Western blot: 35 µg of Human bone marrow lysate (in RIPA buffer) stained with ARG63630 anti-VAV3 antibody at 0.5 µg/ml dilution and incubated at RT for 1 hour.
